首页 / 产品 / 抗体 / 一抗

Rabbit Monoclonal NOX2/CYBB/gp91phox Antibody

  • 中文名: NOX2/CYBB/gp91phox抗体
  • 别    名: CGD; CGD91-phox; Cytochrome b-245 heavy chain; CGD91-phox; Cytochrome b558 subunit beta; Heme-binding membrane glycoprotein; NADPH oxidase 2; Neutrophil cytochrome b 91 kDa polypeptide;;NOX2
货号: IPDX17330
Price: ¥1280
数量:
大包装询价

验证与应用

应用及物种
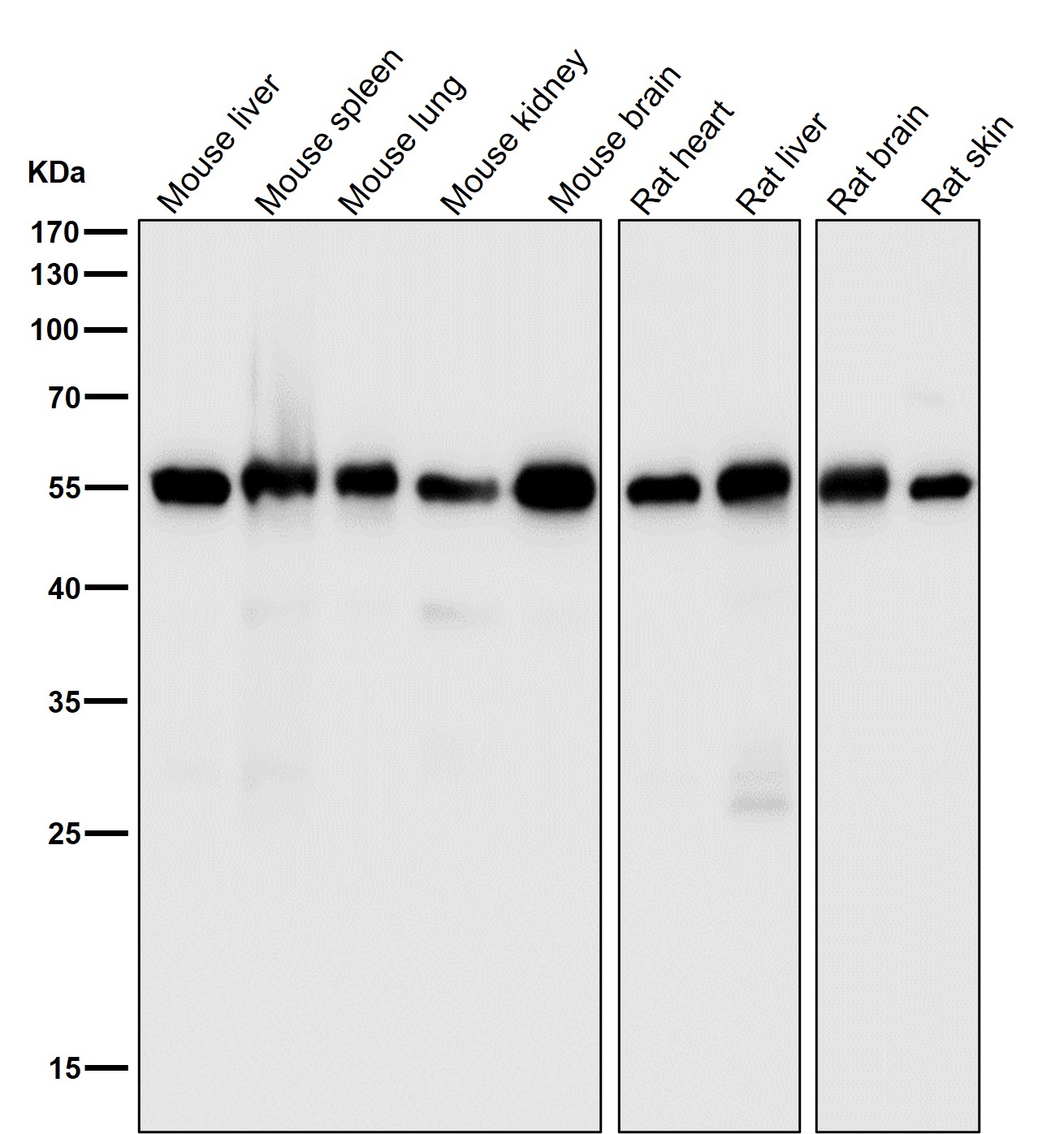
WB 1/1000-1/2000 Human,Mouse,Rat
IF 咨询技术 Human,Mouse,Rat
IHC 咨询技术 Human,Mouse,Rat
ICC 技术咨询 Human,Mouse,Rat
FCM 咨询技术 Human,Mouse,Rat
Elisa 咨询技术 Human,Mouse,Rat

产品详情

AliasesCGD; CGD91-phox; Cytochrome b-245 heavy chain; CGD91-phox; Cytochrome b558 subunit beta; Heme-binding membrane glycoprotein; NADPH oxidase 2; Neutrophil cytochrome b 91 kDa polypeptide;;NOX2
WB Predicted band size65 kDa
Host/IsotypeRabbit IgG
Antibody TypePrimary antibody
StorageStore at 4°C short term. Aliquot and store at -20°C long term. Avoid freeze/thaw cycles.
Species ReactivityHuman,Mouse,Rat
ImmunogenA synthesized peptide derived from human NOX2
FormulationPurified antibody in PBS with 0.05% sodium azide,0.05% BSA and 50% glycerol.

+ +

参考文献

以下是3篇关于NOX2/CYBB/gp91phox抗体的代表性文献及其摘要概括:

---

1. **文献名称**: *"Defective NADPH oxidase activity in chronic granulomatous disease"*

**作者**: R. A. Clark et al.

**摘要**: 该研究首次揭示了CYBB基因编码的gp91phox蛋白在NADPH氧化酶复合体中的核心作用。通过使用特异性抗体检测患者中性粒细胞,证实gp91phox表达缺失导致活性氧(ROS)生成缺陷,从而阐明慢性肉芽肿病(CGD)的分子机制。

2. **文献名称**: *"Localization of the Nox2 subunit of NADPH oxidase in phagocytic cells"*

**作者**: M. T. Quinn et al.

**摘要**: 利用抗gp91phox抗体进行免疫荧光和电镜分析,发现NOX2主要定位于中性粒细胞和巨噬细胞的胞膜及吞噬小体膜上,揭示了其在病原体杀伤过程中通过空间特异性产生活性氧的分子机制。

3. **文献名称**: *"Role of Nox2 in endothelial dysfunction during hypertension"*

**作者**: D. Sorescu et al.

**摘要**: 通过Western blot和免疫组化检测高血压模型中血管内皮细胞的NOX2表达,发现其上调与氧化应激密切相关。使用抗体特异性敲除实验证实,NOX2衍生的ROS参与血管内皮功能失调的病理过程。

---

这些文献均通过特异性抗体研究NOX2/CYBB/gp91phox的蛋白表达、定位或功能,涵盖免疫缺陷疾病、炎症反应及心血管病理机制等领域。

背景信息

The NOX2/CYBB/gp91phox antibody targets a critical subunit of the NADPH oxidase complex, essential for reactive oxygen species (ROS) generation in phagocytes. Encoded by the CYBB gene (located on the X chromosome), gp91phox (also termed NOX2) is a transmembrane protein that forms the catalytic core of the phagocyte NADPH oxidase. This multi-subunit enzyme complex assembles during phagocyte activation, producing superoxide anions (O₂⁻) to eliminate pathogens—a process termed the "respiratory burst." Defects in CYBB result in X-linked chronic granulomatous disease (CGD), a primary immunodeficiency characterized by recurrent infections due to impaired microbial killing.

The gp91phox antibody is widely used in research and diagnostics to study protein expression, localization, and function. It helps identify CGD patients with CYBB mutations, assess NADPH oxidase activity in immune cells, and investigate ROS-related mechanisms in inflammatory, cardiovascular, or neurodegenerative disorders. Antibody-based techniques (e.g., Western blot, immunofluorescence, flow cytometry) enable detection of gp91phox in neutrophils, macrophages, and other cell types. Additionally, it aids in exploring NOX2's role beyond immunity, including redox signaling in cancer, angiogenesis, and tissue remodeling. Its specificity and reliability make it a key tool for dissecting oxidative stress pathways and developing therapeutic strategies targeting NADPH oxidases.

客户数据及评论

折叠内容

大包装询价

×