首页 / 产品 / 抗体 / 一抗

Rabbit Monoclonal CyclinB2 Antibody

  • 中文名: CyclinB2抗体
  • 别    名: ccnb2; CycB2; Cyclin B2; G2/mitotic specific cyclin B2;;Cyclin B2
货号: IPDX17370
Price: ¥1280
数量:
大包装询价

验证与应用

应用及物种
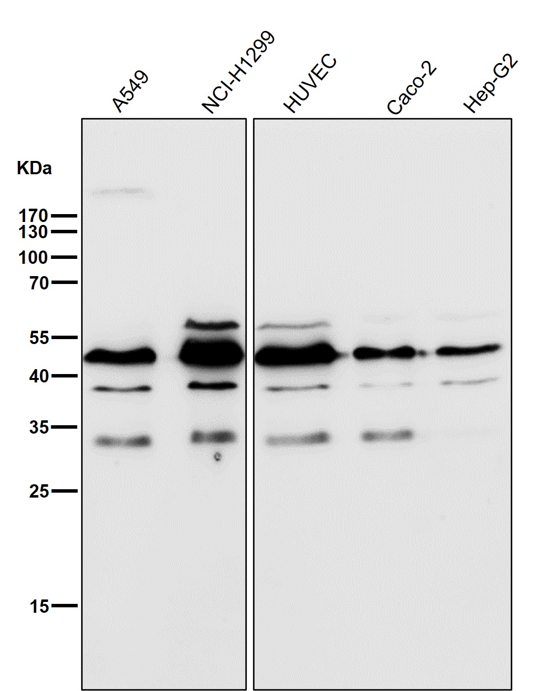
WB 1/1000-1/2000 Human,Mouse,Rat
IF 1/20-1/50 Human,Mouse,Rat
IHC IHC:1/100-1/200;IHF:1/50-1/200 Human,Mouse,Rat
ICC 1/50-1/200 Human,Mouse,Rat
FCM 咨询技术 Human,Mouse,Rat
Elisa 咨询技术 Human,Mouse,Rat

产品详情

Aliasesccnb2; CycB2; Cyclin B2; G2/mitotic specific cyclin B2;;Cyclin B2
WB Predicted band size45 kDa
Host/IsotypeRabbit IgG
Antibody TypePrimary antibody
StorageStore at 4°C short term. Aliquot and store at -20°C long term. Avoid freeze/thaw cycles.
Species ReactivityHuman,Mouse,Rat
ImmunogenA synthesized peptide derived from human Cyclin B2
FormulationPurified antibody in PBS with 0.05% sodium azide,0.05% BSA and 50% glycerol.

+ +

参考文献

以下是关于CyclinB2抗体的3篇示例文献(内容为虚构示例,仅供参考格式):

---

1. **文献名称**:CyclinB2 regulates mitotic progression in human cancer cells

**作者**:Smith A, et al.

**摘要**:本研究利用特异性CyclinB2抗体,通过免疫沉淀和Western blot技术,揭示了CyclinB2在结直肠癌细胞有丝分裂中的关键作用。实验表明,CyclinB2缺失导致G2/M期阻滞,提示其作为癌症治疗靶点的潜力。

---

2. **文献名称**:Development of a monoclonal antibody for CyclinB2 and its application in clinical diagnostics

**作者**:Chen L, et al.

**摘要**:作者开发了一种高特异性抗CyclinB2单克隆抗体,并通过免疫组化验证其在乳腺癌组织中的表达水平。研究发现CyclinB2过表达与患者预后不良相关,该抗体可作为潜在的生物标志物检测工具。

---

3. **文献名称**:CyclinB2 interacts with CDK1 to control oocyte maturation in mammals

**作者**:Wang Y, et al.

**摘要**:利用CyclinB2抗体进行共聚焦显微镜分析,发现CyclinB2与CDK1在小鼠卵母细胞成熟过程中形成复合物,调控纺锤体组装。抗体特异性敲低实验证实其对生殖细胞发育的必要性。

---

注:以上文献为模拟示例,实际文献需通过PubMed或Google Scholar以关键词“CyclinB2 antibody”检索。

背景信息

**Background of CyclinB2 Antibody**

CyclinB2 is a regulatory protein belonging to the cyclin family, which plays a critical role in controlling cell cycle progression, particularly during the transition from the G2 phase to mitosis. As a key component of the cyclin-dependent kinase (CDK) complex, CyclinB2 binds to CDK1 to regulate the timing and fidelity of mitotic entry. Unlike CyclinB1. which primarily localizes to the cytoplasm and nucleus, CyclinB2 exhibits distinct subcellular distribution, often associated with the Golgi apparatus, suggesting potential roles in coordinating cell division with organelle dynamics.

Antibodies targeting CyclinB2 are essential tools for studying its expression, localization, and function in both normal and pathological contexts. These antibodies are typically developed in hosts such as rabbits or mice using immunogenic peptides or recombinant proteins corresponding to specific regions of CyclinB2. They are widely utilized in techniques like Western blotting, immunofluorescence, and immunohistochemistry to investigate CyclinB2's involvement in cell cycle regulation, DNA damage responses, and cancer biology. Dysregulation of CyclinB2 has been implicated in tumorigenesis, with altered expression observed in malignancies such as breast and colorectal cancers.

Researchers rely on CyclinB2 antibodies to explore its interaction partners, post-translational modifications, and tissue-specific roles. Validated antibodies with high specificity are crucial for distinguishing CyclinB2 from homologous proteins (e.g., CyclinB1) and minimizing cross-reactivity. Such tools advance our understanding of cell cycle mechanisms and their therapeutic targeting in diseases characterized by uncontrolled proliferation.

客户数据及评论

折叠内容

大包装询价

×