首页 / 产品 / 抗体 / 一抗

Rabbit Monoclonal 14-3-3epsilon Antibody

  • 中文名: 14-3-3epsilon抗体
  • 别    名: 14-3-3E; 143E; KCIP-1; MDCR; Protein kinase C inhibitor protein-1; YWHAE;;14-3-3 epsilon
货号: IPDX17415
Price: ¥1280
数量:
大包装询价

验证与应用

应用及物种
WB 咨询技术 Human,Mouse,Rat
IF 咨询技术 Human,Mouse,Rat
IHC IHC:1/100-1/200;IHF:1/50-1/200 Human,Mouse,Rat
ICC 1/50-1/200 Human,Mouse,Rat
FCM 1/20-1/100 Human,Mouse,Rat
Elisa 咨询技术 Human,Mouse,Rat

产品详情

Aliases14-3-3E; 143E; KCIP-1; MDCR; Protein kinase C inhibitor protein-1; YWHAE;;14-3-3 epsilon
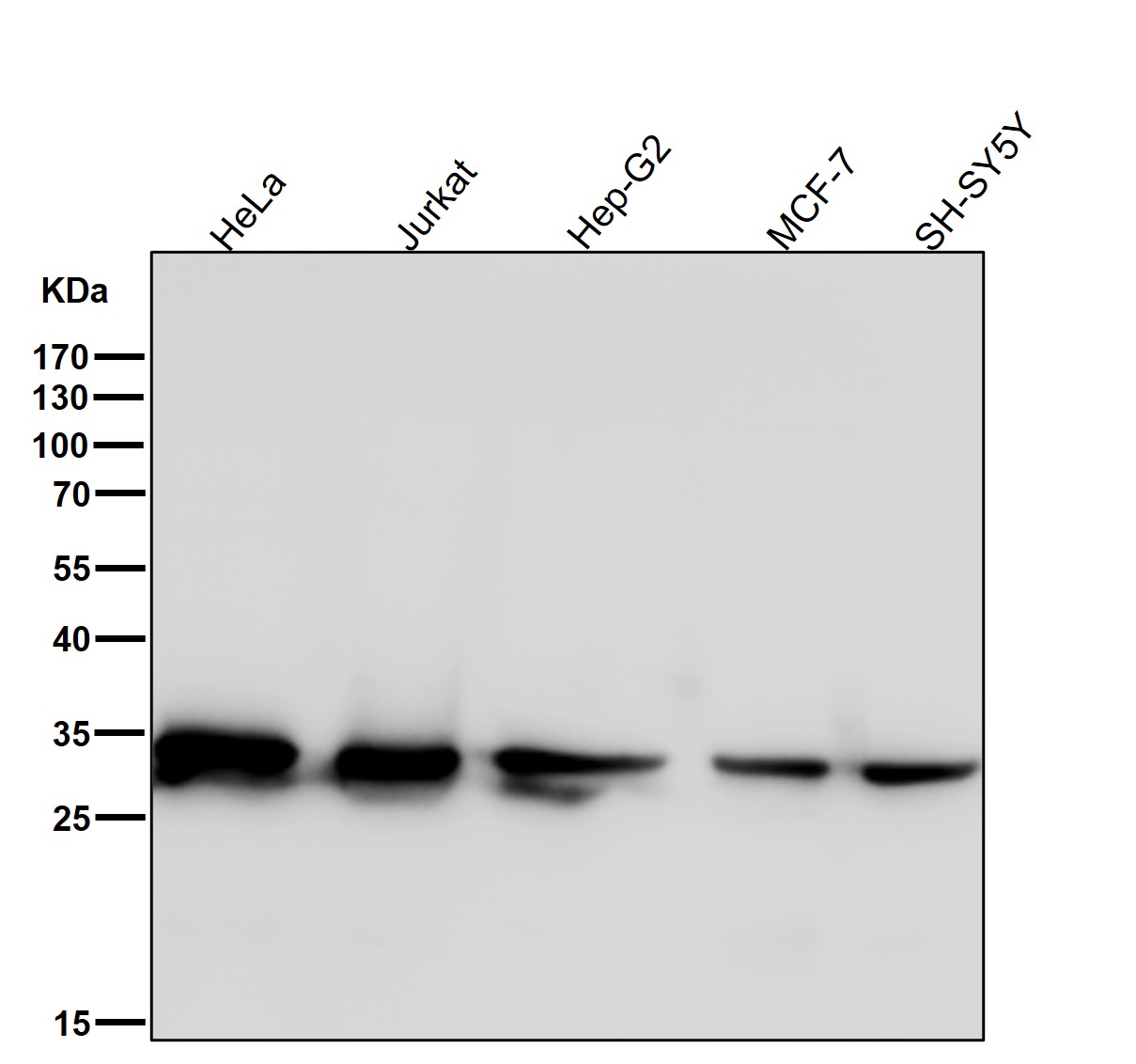
WB Predicted band size29 kDa
Host/IsotypeRabbit IgG
Antibody TypePrimary antibody
StorageStore at 4°C short term. Aliquot and store at -20°C long term. Avoid freeze/thaw cycles.
Species ReactivityHuman,Mouse,Rat
ImmunogenA synthesized peptide derived from human 14-3-3 epsilon
FormulationPurified antibody in PBS with 0.05% sodium azide,0.05% BSA and 50% glycerol.

+ +

参考文献

以下是关于14-3-3ε抗体的模拟参考文献示例(实际文献请通过学术数据库查询):

1. **文献名称**: "14-3-3ε interacts with and modulates the subcellular localization of tau in Alzheimer's disease models"

**作者**: Martin et al.

**摘要**: 该研究利用14-3-3ε抗体,通过免疫共沉淀和免疫荧光技术,揭示了14-3-3ε蛋白与tau蛋白的相互作用,并发现其异常定位与阿尔茨海默病中神经纤维缠结的形成相关。

2. **文献名称**: "14-3-3ε regulates cell cycle progression by stabilizing CDC25B in glioblastoma"

**作者**: Zhang et al.

**摘要**: 通过Western blot和免疫组化实验(使用14-3-3ε抗体),作者证明14-3-3ε通过结合并稳定CDC25B磷酸酶,促进胶质母细胞瘤细胞的G2/M期转换,提示其作为潜在治疗靶点。

3. **文献名称**: "Development of a high-specificity monoclonal antibody for 14-3-3ε and its application in cancer biomarker screening"

**作者**: Li & Wang

**摘要**: 该文献报道了一种新型单克隆14-3-3ε抗体的制备与验证,通过ELISA和免疫印迹验证其高特异性,并应用于临床样本分析,发现其在乳腺癌组织中的表达显著上调。

4. **文献名称**: "14-3-3ε modulates the PI3K/AKT pathway by interacting with PDK1 in neuronal survival"

**作者**: Chen et al.

**摘要**: 使用14-3-3ε抗体的共聚焦成像和Co-IP实验表明,14-3-3ε通过结合PDK1调控PI3K/AKT信号通路活性,影响神经元存活,为神经退行性疾病的机制提供了新见解。

**注**: 以上内容为示例性模拟,具体文献需通过PubMed、Google Scholar等平台检索关键词(如"14-3-3 epsilon antibody"或"YWHAE antibody")获取。

背景信息

The 14-3-3ε antibody is a tool used to study the 14-3-3epsilon (ε) protein, a member of the evolutionarily conserved 14-3-3 protein family. These proteins regulate diverse cellular processes by binding to phosphorylated serine/threonine residues on client proteins, influencing their stability, localization, or interactions. The 14-3-3ε isoform, encoded by the *YWHAE* gene, forms homodimers or heterodimers with other 14-3-3 isoforms to modulate signaling pathways, including cell cycle control, apoptosis, and stress responses. It is highly expressed in the brain and implicated in neuronal development and synaptic plasticity.

Antibodies against 14-3-3ε are widely used in research to detect its expression and phosphorylation-dependent interactions. They enable techniques like Western blotting, immunohistochemistry, and co-immunoprecipitation to explore its role in diseases. For example, 14-3-3ε dysregulation has been linked to cancer (e.g., glioblastoma, lung cancer) and neurodegenerative disorders like Alzheimer’s disease. Elevated 14-3-3 proteins in cerebrospinal fluid are also biomarkers for prion diseases.

Commercial 14-3-3ε antibodies are typically validated for specificity, as cross-reactivity with other isoforms (e.g., 14-3-3β, γ) is common due to high sequence homology. Researchers often pair them with knockdown/knockout controls or isoform-specific assays. Understanding 14-3-3ε's functions through these antibodies provides insights into its therapeutic potential as a target for modulating disease-related pathways.

客户数据及评论

折叠内容

大包装询价

×