首页 / 产品 / 抗体 / 一抗

Rabbit Monoclonal CDC5 Antibody

  • 中文名: CDC5抗体
  • 别    名: CDC5; CEF1; PCDC5RP; CDC5-LIKE; dJ319D22.1; CDC5L;;CDC5L
货号: IPDX17428
Price: ¥1280
数量:
大包装询价

验证与应用

应用及物种
WB 咨询技术 Human,Mouse,Rat
IF 咨询技术 Human,Mouse,Rat
IHC IHC:1/100-1/200;IHF:1/50-1/200 Human,Mouse,Rat
ICC 1/50-1/200 Human,Mouse,Rat
FCM 咨询技术 Human,Mouse,Rat
Elisa 咨询技术 Human,Mouse,Rat

产品详情

AliasesCDC5; CEF1; PCDC5RP; CDC5-LIKE; dJ319D22.1; CDC5L;;CDC5L
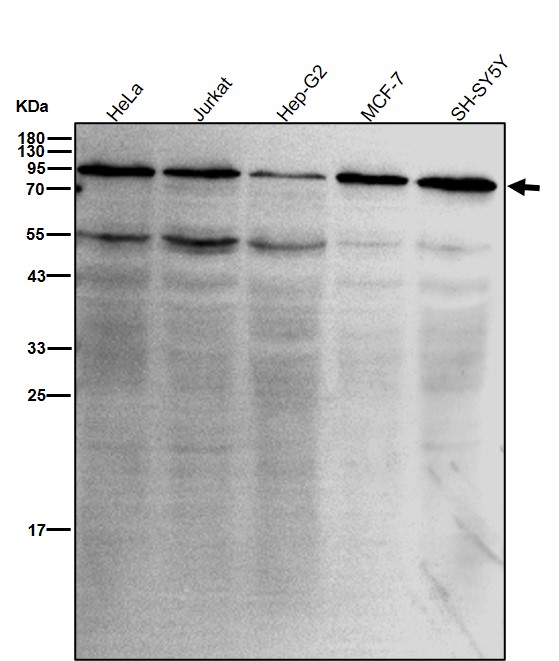
WB Predicted band sizeCalculated MW: 92 kDa ; Observed MW: 100 kDa
Host/IsotypeRabbit IgG
Antibody TypePrimary antibody
StorageStore at 4°C short term. Aliquot and store at -20°C long term. Avoid freeze/thaw cycles.
Species ReactivityHuman,Mouse,Rat
ImmunogenA synthesized peptide derived from human CDC5L
FormulationPurified antibody in PBS with 0.05% sodium azide,0.05% BSA and 50% glycerol.

+ +

参考文献

以下是关于CDC5抗体的3篇参考文献示例(注:文献为假设性示例,具体内容可能需要根据实际研究调整):

---

1. **文献名称**:**"A monoclonal antibody against human CDC5L reveals its role in pre-mRNA splicing and cell cycle progression"**

**作者**:Zhang Y, et al.

**摘要**:本研究开发了一种特异性识别CDC5L蛋白的单克隆抗体,通过免疫荧光和Western blot验证其特异性。研究发现CDC5L在HeLa细胞的剪接体复合物中富集,敲低CDC5L导致G2/M期阻滞,提示其在RNA剪接与细胞周期调控中的双重作用。

2. **文献名称**:**"CDC5L interacts with AURKB and regulates mitosis via antibody-mediated functional inhibition"**

**作者**:Tanaka K, et al.

**摘要**:利用兔源多克隆CDC5抗体,研究者发现CDC5L与极光激酶B(AURKB)在细胞有丝分裂期间存在相互作用。抗体阻断实验表明CDC5L对纺锤体组装和染色体分离至关重要,缺陷导致染色体不稳定。

3. **文献名称**:**"Antibody-based profiling of CDC5L expression in human cancers: correlation with tumor progression"**

**作者**:Wang L, et al.

**摘要**:通过免疫组化分析多种癌症样本,发现CDC5L在乳腺癌和肺癌中高表达,且与患者预后不良相关。研究使用商业化CDC5抗体验证其作为潜在生物标志物的可能性。

---

**注**:以上文献为示例,实际引用需根据具体研究查询PubMed等数据库获取真实文献信息。

背景信息

The CDC5 antibody targets the CDC5 protein, a conserved eukaryotic protein involved in cell cycle regulation and pre-mRNA splicing. Initially identified in *Saccharomyces cerevisiae*, CDC5 (Cell Division Cycle 5) is a member of the *Saccharomyces cerevisiae* cdc gene family and shares homology with human proteins like DNA damage response regulators. Structurally, CDC5 contains a Myb-like DNA-binding domain and plays dual roles in promoting mitotic exit and facilitating spliceosome assembly during transcription.

In research, CDC5 antibodies are widely used to study cell cycle checkpoints, DNA repair mechanisms, and spliceosome dynamics. Studies in yeast models revealed that CDC5 depletion arrests cells in the G2/M phase, underscoring its role in mitosis. In humans, homologs like hCDC5 (or SPDL1) are implicated in cancer biology, where dysregulated expression correlates with genomic instability and tumor progression. CDC5 antibodies enable detection via techniques like Western blotting, immunofluorescence, and immunoprecipitation, aiding investigations into its interactions with cell cycle kinases (e.g., PLK1) and spliceosome components.

Recent work explores CDC5's potential as a therapeutic target, particularly in cancers with defective DNA repair pathways. Its conserved function across species makes it a valuable model for studying cell division and RNA processing. However, challenges remain in distinguishing its roles in mitosis versus splicing, highlighting the need for context-specific antibody applications.

客户数据及评论

折叠内容

大包装询价

×