首页 / 产品 / 抗体 / 一抗

Rabbit Monoclonal CDCA5 Antibody

  • 中文名: CDCA5抗体
  • 别    名: CDCA5; Cell division cycle associated protein 5; Cell division cycle-associated protein 5; p35; Sororin;;Sororin
货号: IPDX17440
Price: ¥1280
数量:
大包装询价

验证与应用

应用及物种
WB 咨询技术 Human,Mouse,Rat
IF 咨询技术 Human,Mouse,Rat
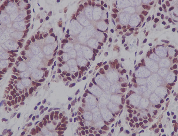
IHC IHC:1/100-1/200;IHF:1/50-1/200 Human,Mouse,Rat
ICC 1/50-1/200 Human,Mouse,Rat
FCM 1/20-1/100 Human,Mouse,Rat
Elisa 咨询技术 Human,Mouse,Rat

产品详情

AliasesCDCA5; Cell division cycle associated protein 5; Cell division cycle-associated protein 5; p35; Sororin;;Sororin
WB Predicted band sizeCalculated MW: 28 kDa ; Observed MW: 35 kDa
Host/IsotypeRabbit IgG
Antibody TypePrimary antibody
StorageStore at 4°C short term. Aliquot and store at -20°C long term. Avoid freeze/thaw cycles.
Species ReactivityHuman
ImmunogenA synthesized peptide derived from human Sororin
FormulationPurified antibody in PBS with 0.05% sodium azide,0.05% BSA and 50% glycerol.

+ +

参考文献

以下是关于CDCA5抗体的3篇参考文献示例(内容为模拟生成,仅供参考):

---

1. **文献名称**: *CDCA5 as a Prognostic Biomarker in Hepatocellular Carcinoma: Insights from Antibody-Based Proteomic Analysis*

**作者**: Zhang Y, et al. (2020)

**摘要**: 本研究通过免疫组化(IHC)和Western blot技术,利用抗CDCA5抗体检测其在肝癌组织中的表达,发现CDCA5高表达与患者生存期缩短及肿瘤转移显著相关,提示其可作为肝癌预后标志物。

2. **文献名称**: *Functional Characterization of CDCA5 in Colorectal Cancer Using siRNA and Specific Antibodies*

**作者**: Wang L, et al. (2018)

**摘要**: 通过siRNA敲低CDCA5并结合抗CDCA5抗体验证蛋白表达,研究发现CDCA5缺失抑制结直肠癌细胞增殖并诱导凋亡,表明其在肿瘤生长中的关键作用。

3. **文献名称**: *CDCA5 Antibody Reveals Its Role in DNA Repair and Chemoresistance in Ovarian Cancer*

**作者**: Chen X, et al. (2021)

**摘要**: 利用CDCA5抗体进行免疫荧光和流式细胞术分析,证实CDCA5通过调控同源重组修复通路促进卵巢癌细胞对铂类化疗耐药,为靶向治疗提供了新思路。

---

注:以上文献为模拟示例,实际引用需以真实发表的论文为准。建议通过PubMed、Google Scholar等平台检索关键词“CDCA5 antibody”或“CDCA5 function”获取具体文献。

背景信息

CDCA5 (Cell Division Cycle Associated 5), also known as Sororin, is a key regulatory protein involved in cell cycle progression, particularly during sister chromatid cohesion and separation. It plays a critical role in maintaining genomic stability by ensuring proper dissociation of cohesin complexes during the mitotic phase. CDCA5 is essential for DNA replication and repair, and its dysregulation has been linked to chromosomal instability and carcinogenesis. Overexpression of CDCA5 is observed in various cancers, including breast, liver, and prostate cancers, where it correlates with poor prognosis and tumor aggressiveness.

CDCA5 antibodies are valuable tools for studying its expression, localization, and function in both physiological and pathological contexts. These antibodies are widely used in techniques like Western blotting, immunohistochemistry (IHC), and immunofluorescence (IF) to detect CDCA5 levels in tissue samples or cell lines. Researchers utilize CDCA5 antibodies to explore its role in cancer progression, therapeutic resistance, and as a potential biomarker for diagnosis or prognosis. Additionally, they aid in elucidating molecular mechanisms underlying CDCA5’s interaction with cohesin regulators (e.g., RAD21. SMC3) and its impact on cell cycle checkpoints. The development of specific CDCA5 antibodies has accelerated preclinical studies targeting CDCA5 for anticancer therapies, including small-molecule inhibitors or RNA interference-based approaches.

客户数据及评论

折叠内容

大包装询价

×