| WB | 咨询技术 | Human,Mouse,Rat |
| IF | 咨询技术 | Human,Mouse,Rat |
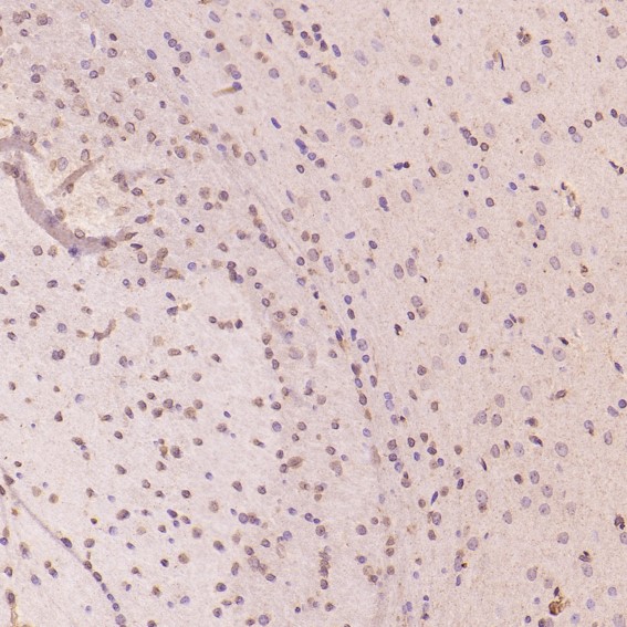
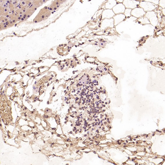
| IHC | IHC:1/100-1/200;IHF:1/50-1/200 | Human,Mouse,Rat |
| ICC | 1/50-1/200 | Human,Mouse,Rat |
| FCM | 1/20-1/100 | Human,Mouse,Rat |
| Elisa | 咨询技术 | Human,Mouse,Rat |
| Aliases | Histone H3.1, Histone H3, HIST1H3A;;Histone H3 |
| WB Predicted band size | 15 kDa |
| Host/Isotype | Rabbit IgG |
| Antibody Type | Primary antibody |
| Storage | Store at 4°C short term. Aliquot and store at -20°C long term. Avoid freeze/thaw cycles. |
| Species Reactivity | Human,Mouse,Rat |
| Immunogen | A synthesized peptide derived from human Histone H3.1 |
| Formulation | Purified antibody in PBS with 0.05% sodium azide,0.05% BSA and 50% glycerol. |
+ +
1. **"Selective recognition of methylated lysine 4 on histone H3 by the TUDOR domain of JMJD2A"**
- **作者**: Huang, Y., et al.
- **摘要**: 该研究通过结构生物学方法解析了JMJD2A蛋白TUDOR结构域特异性识别组蛋白H3第4位三甲基化赖氨酸(H3K4me3)的分子机制,验证了H3K4me3抗体的特异性在染色质修饰功能研究中的应用。
2. **"Histone H3K27me3 demethylases regulate neuronal differentiation and embryonic development"**
- **作者**: Mansour, A.A., et al.
- **摘要**: 研究利用H3K27me3特异性抗体进行ChIP-seq分析,揭示了组蛋白H3第27位三甲基化修饰在小鼠胚胎干细胞神经分化中的动态调控作用,证实该抗体在表观遗传发育研究中的可靠性。
3. **"Antibody validation for histone post-translational modifications using peptide microarray"**
- **作者**: Rothbart, S.B., et al.
- **摘要**: 通过高通量肽段微阵列技术系统评估了包括Histone H3K9ac、H3S10ph等在内的多种组蛋白修饰抗体的特异性,为H3抗体在表观遗传学实验中的选择提供了标准化参考。
4. **"Global changes in H3K27me3 occupancy during oncogenic RAS-driven senescence"**
- **作者**: Chandra, T., et al.
- **摘要**: 结合H3K27me3抗体与RNA-seq技术,揭示了致癌RAS诱导细胞衰老过程中组蛋白H3修饰的全局性变化,验证了该抗体在癌症表观遗传机制研究中的应用价值。
Histone H3 antibodies are essential tools in epigenetics and chromatin biology research, targeting histone H3—a core component of nucleosomes. Histones, including H3. play a critical role in DNA packaging and regulating gene expression through post-translational modifications (PTMs) such as acetylation, methylation, and phosphorylation. Histone H3 exists in multiple variants (e.g., H3.1. H3.3. CENP-A), each contributing to chromatin dynamics in distinct cellular processes. Antibodies against Histone H3 are widely used to investigate chromatin structure, epigenetic regulation, and cellular processes like DNA repair, replication, and mitosis.
These antibodies often target specific PTM sites or variants. For example, anti-H3K4me3 identifies trimethylation at lysine 4 (associated with active transcription), while anti-H3K27me3 detects repressive chromatin marks. Others recognize pan-H3 epitopes, serving as loading controls in Western blotting. Their applications span chromatin immunoprecipitation (ChIP), immunofluorescence, and flow cytometry.
Quality and specificity are critical, as cross-reactivity with other histones or non-histone proteins can lead to misinterpretation. Validated antibodies are vital for studying diseases linked to histone dysregulation, such as cancer, neurodegeneration, and developmental disorders. Recent advances in genome-wide profiling (e.g., ChIP-seq) further underscore their importance in mapping epigenetic landscapes and therapeutic target discovery.
×