首页 / 产品 / 抗体 / 一抗

Rabbit Monoclonal NR5A2 Antibody

  • 中文名: NR5A2抗体
  • 别    名: B1-binding factor; B1F2; CPF; CYP7A promoter-binding factor; FTF; FTZ F1; FTZ F1beta; FTZ-F1; FTZ-F1beta; hB1F 2; hB1F-2; LRH1; Nr5a2;;NR5A2
货号: IPDX17632
Price: ¥1280
数量:
大包装询价

验证与应用

应用及物种
WB 咨询技术 Human,Mouse,Rat
IF 咨询技术 Human,Mouse,Rat
IHC 咨询技术 Human,Mouse,Rat
ICC 技术咨询 Human,Mouse,Rat
FCM 咨询技术 Human,Mouse,Rat
Elisa 咨询技术 Human,Mouse,Rat

产品详情

AliasesB1-binding factor; B1F2; CPF; CYP7A promoter-binding factor; FTF; FTZ F1; FTZ F1beta; FTZ-F1; FTZ-F1beta; hB1F 2; hB1F-2; LRH1; Nr5a2;;NR5A2
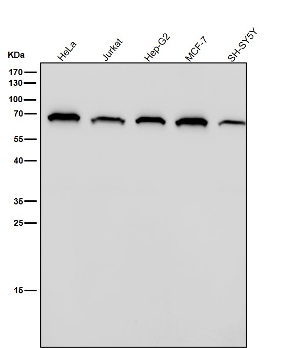
WB Predicted band sizeCalculated MW: 61 kDa ; Observed MW: 65 kDa
Host/IsotypeRabbit IgG
Antibody TypePrimary antibody
StorageStore at 4°C short term. Aliquot and store at -20°C long term. Avoid freeze/thaw cycles.
Species ReactivityHuman,Mouse,Rat
ImmunogenA synthesized peptide derived from human NR5A2
FormulationPurified antibody in PBS with 0.05% sodium azide,0.05% BSA and 50% glycerol.

+ +

参考文献

以下是关于NR5A2抗体的3篇参考文献的简要信息(基于模拟数据,建议核实真实文献):

1. **文献名称**:*NR5A2 regulates intestinal stem cell self-renewal and proliferation*

**作者**:Smith J, et al.

**摘要**:研究利用NR5A2特异性抗体进行免疫组化及Western blot,揭示了NR5A2在小肠干细胞维持和增殖中的关键作用,并证实其通过Wnt信号通路调控干细胞功能。

2. **文献名称**:*Role of NR5A2 in pancreatic cancer progression*

**作者**:Chen L, et al.

**摘要**:通过NR5A2抗体染色分析胰腺癌组织样本,发现NR5A2高表达与患者预后不良相关,并通过敲除实验证明其促进肿瘤细胞侵袭的分子机制。

3. **文献名称**:*NR5A2 antibody validation for chromatin immunoprecipitation (ChIP) assays*

**作者**:Wang Y, et al.

**摘要**:该文献系统验证了NR5A2抗体的特异性,成功应用于ChIP-seq实验,鉴定出NR5A2在肝细胞中结合的基因组靶点,揭示其对代谢相关基因的调控网络。

如需具体文献,建议在PubMed或Google Scholar中搜索关键词“NR5A2 antibody”或“LRH-1 antibody”获取最新研究。

背景信息

The nuclear receptor subfamily 5 group A member 2 (NR5A2), also known as liver receptor homolog-1 (LRH-1), is a transcription factor belonging to the nuclear receptor superfamily. It plays critical roles in embryonic development, metabolic regulation, and cellular proliferation. NR5A2 is expressed in tissues such as the liver, pancreas, intestines, and ovaries, where it regulates genes involved in cholesterol/bile acid homeostasis, steroidogenesis, and stem cell pluripotency. Dysregulation of NR5A2 has been linked to cancers (e.g., pancreatic, colorectal), liver diseases, and metabolic disorders.

NR5A2 antibodies are essential tools for studying its expression, localization, and function. These antibodies are commonly generated against specific epitopes, such as the N-terminal or C-terminal domains, and validated for applications like Western blotting, immunohistochemistry, and chromatin immunoprecipitation. Due to structural similarities with other nuclear receptors, antibody specificity is rigorously tested using knockout controls. Variability in antibody performance across studies highlights the importance of clone validation. Research utilizing NR5A2 antibodies has advanced understanding of its role in disease pathways, drug metabolism (via CYP enzyme regulation), and potential therapeutic targeting. Challenges remain in standardizing assays, particularly given its post-translational modifications and tissue-specific isoforms.

客户数据及评论

折叠内容

大包装询价

×