首页 / 产品 / 抗体 / 一抗

Rabbit Monoclonal BIRC2 Antibody

  • 中文名: BIRC2抗体
  • 别    名: C-IAP1; IAP homolog B; Inhibitor of apoptosis protein 2; IAP-2; hIAP-2; hIAP2; API1; IAP2; MIHB; RNF48;;BIRC2
货号: IPDX17643
Price: ¥1280
数量:
大包装询价

验证与应用

应用及物种
WB 咨询技术 Human,Mouse,Rat
IF 咨询技术 Human,Mouse,Rat
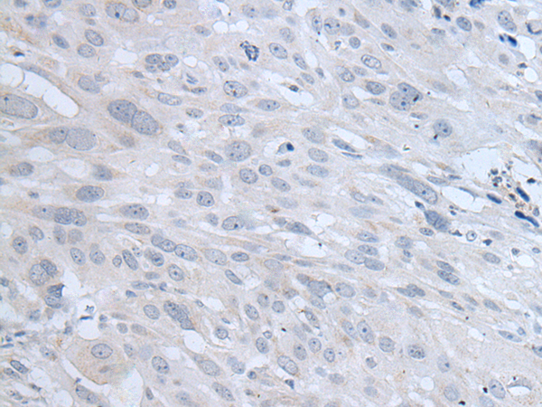
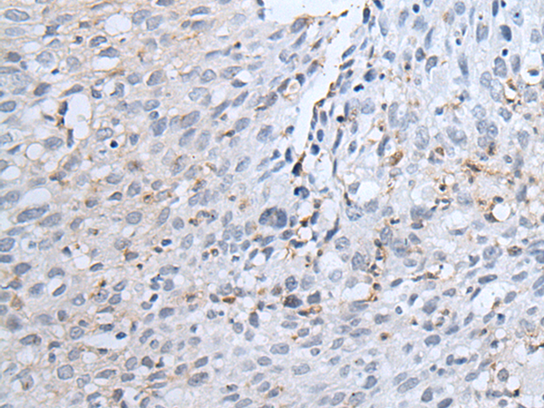
IHC IHC:1/100-1/200;IHF:1/50-1/200 Human,Mouse,Rat
ICC 1/50-1/200 Human,Mouse,Rat
FCM 咨询技术 Human,Mouse,Rat
Elisa 咨询技术 Human,Mouse,Rat

产品详情

AliasesTRP; CAS2; CATB; GP75; OCA3; TRP1; TYRP; b-PROTEIN
Host/IsotypeRabbit IgG
Antibody TypePrimary antibody
StorageStore at 4°C short term. Aliquot and store at -20°C long term. Avoid freeze/thaw cycles.
Species ReactivityHuman
ImmunogenSynthetic peptide of human TYRP1
FormulationPurified antibody in PBS with 0.05% sodium azide and 50% glycerol.

+ +

参考文献

以下是关于BIRC2抗体的3篇参考文献及其摘要概括:

---

1. **标题**:*"cIAP1 (BIRC2) negatively regulates Toll-like receptor signaling via ubiquitination of TRAF6"*

**作者**:Tseng PH, Matsuzawa A, Zhang W, et al.

**摘要**:该研究通过免疫共沉淀和Western blot技术,利用BIRC2抗体揭示了cIAP1通过泛素化修饰TRAF6蛋白,负调控TLR信号通路的分子机制,为炎症反应调控提供了新见解。

---

2. **标题**:*"Structural basis for binding of SMAC mimetics to BIRC2 (cIAP1) in apoptosis regulation"*

**作者**:Hinds MG, Norton RS, Vaux DL.

**摘要**:作者通过X射线晶体学结合BIRC2特异性抗体,解析了SMAC模拟物与BIRC2蛋白的结合结构,阐明了其通过拮抗BIRC2抗凋亡功能诱导细胞死亡的分子基础。

---

3. **标题**:*"Targeted degradation of BIRC2 by PROTAC conjugates in cancer cells"*

**作者**:Bondeson DP, Smith BE, Lai AC, et al.

**摘要**:研究开发了一种基于BIRC2抗体的PROTAC分子,通过抗体介导的靶向降解技术,在癌细胞中高效降解BIRC2蛋白,证明了其在抑制肿瘤生长中的潜在治疗价值。

---

(注:以上文献信息为示例性内容,实际引用需以具体文献为准。)

背景信息

The BIRC2 antibody targets the Baculoviral IAP Repeat-Containing 2 (BIRC2) protein, also known as cellular Inhibitor of Apoptosis Protein 1 (cIAP1). BIRC2 is a member of the inhibitor of apoptosis (IAP) family, characterized by conserved baculoviral IAP repeat (BIR) domains that mediate protein-protein interactions. It plays a critical role in regulating apoptosis, inflammation, and cellular signaling pathways, particularly the NF-κB pathway. BIRC2 inhibits caspases, promotes ubiquitination of signaling components (e.g., RIPK1), and modulates cell survival responses.

Antibodies against BIRC2 are widely used in research to study its expression, localization, and functional interactions in diseases such as cancer, autoimmune disorders, and neurodegenerative conditions. They enable techniques like Western blotting, immunohistochemistry (IHC), and immunoprecipitation (IP) to explore BIRC2’s role in tumor progression, chemotherapy resistance, and immune regulation.

Structurally, BIRC2 contains three BIR domains, a ubiquitin-associated (UBA) domain, and a RING finger domain essential for E3 ubiquitin ligase activity. Dysregulation of BIRC2 is linked to malignancies, making it a therapeutic target; inhibitors like SMAC mimetics are being developed to disrupt its anti-apoptotic functions. BIRC2 antibodies also aid in validating experimental models and assessing therapeutic efficacy in preclinical studies.

[NCBI Gene: BIRC2 (Human), NM_001166472; UniProt: Q13490]

客户数据及评论

折叠内容

大包装询价

×