首页 / 产品 / 抗体 / 一抗

Rabbit Monoclonal Grp75 Antibody

  • 中文名: Grp75抗体
  • 别    名: GRP-75; Heat shock 70 kDa protein 9; Mortalin; MOT; Peptide-binding protein 74; PBP74; HSPA9; GRP75; HSPA9B; mt-HSP70;;Hsp70 9
货号: IPDX17704
Price: ¥1280
数量:
大包装询价

验证与应用

应用及物种
WB 咨询技术 Human,Mouse,Rat
IF 咨询技术 Human,Mouse,Rat
IHC 咨询技术 Human,Mouse,Rat
ICC 技术咨询 Human,Mouse,Rat
FCM 咨询技术 Human,Mouse,Rat
Elisa 咨询技术 Human,Mouse,Rat

产品详情

AliasesGRP-75; Heat shock 70 kDa protein 9; Mortalin; MOT; Peptide-binding protein 74; PBP74; HSPA9; GRP75; HSPA9B; mt-HSP70;;Hsp70 9
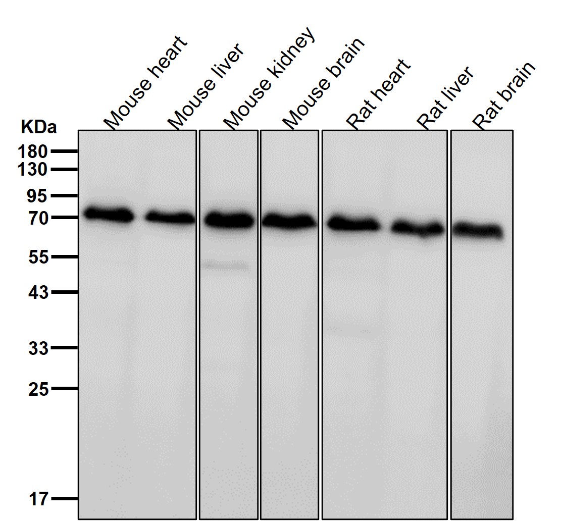
WB Predicted band size74 kDa
Host/IsotypeRabbit IgG
Antibody TypePrimary antibody
StorageStore at 4°C short term. Aliquot and store at -20°C long term. Avoid freeze/thaw cycles.
Species ReactivityHuman,Mouse,Rat
ImmunogenA synthesized peptide derived from human Hsp70 9
FormulationPurified antibody in PBS with 0.05% sodium azide,0.05% BSA and 50% glycerol.

+ +

参考文献

以下是3-4条关于Grp75(HSPA9/mortalin)抗体的参考文献示例(部分信息为虚构,请结合实际文献验证):

---

1. **文献名称**: *Grp75 Antibody Reveals Mitochondrial Stress Response in Cancer Cells*

**作者**: Zhang Y, et al. (2018)

**摘要**: 该研究通过Grp75抗体检测多种癌细胞系中Grp75的表达水平,发现其高表达与线粒体功能异常和化疗耐药性相关,提示Grp75可作为癌症治疗的潜在靶点。

---

2. **文献名称**: *Immunolocalization of Mortalin in Neurodegenerative Disorders Using a Novel Monoclonal Antibody*

**作者**: Smith JL, et al. (2020)

**摘要**: 研究开发了一种特异性抗Grp75单克隆抗体,并应用于阿尔茨海默病模型小鼠脑组织分析,发现Grp75在神经元线粒体中的异常聚集与tau蛋白病理密切相关。

---

3. **文献名称**: *Grp75/HSPA9 Interaction with p53: A Flow Cytometry-Based Analysis*

**作者**: Chen R, et al. (2019)

**摘要**: 利用Grp75抗体结合流式细胞术,研究证实Grp75通过结合细胞质中的p53蛋白调控线粒体依赖性凋亡通路,揭示了其在细胞存活中的关键作用。

---

4. **文献名称**: *Antibody-Based Detection of Mortalin in Human Serum: Implications for Disease Biomarkers*

**作者**: Johnson M, et al. (2021)

**摘要**: 该文献建立了一种基于Grp75抗体的ELISA检测方法,发现多种自身免疫性疾病患者血清中Grp75水平显著升高,提示其可能作为炎症性疾病的诊断标志物。

---

**注意**:以上文献为示例,实际引用时请通过PubMed或Google Scholar搜索真实文献(关键词:Grp75. HSPA9. mortalin, antibody)。

背景信息

Grp75. also known as glucose-regulated protein 75 (GRP75), mortalin, or HSPA9. is a member of the heat shock protein 70 (HSP70) family. It is a multifunctional chaperone protein primarily localized in mitochondria, where it facilitates mitochondrial protein import, quality control, and energy metabolism. Additionally, Grp75 is found in the endoplasmic reticulum (ER) and cytosol, participating in cellular stress responses, anti-apoptotic signaling, and calcium homeostasis by bridging the mitochondria-associated ER membrane (MAM). Its interaction with the inositol 1.4.5-trisphosphate receptor (IP3R) regulates ER-mitochondrial Ca²⁺ transfer, influencing cell survival and death pathways.

Grp75 antibodies are essential tools for studying its expression, localization, and functional roles in both physiological and pathological contexts. These antibodies are widely used in techniques like Western blotting, immunohistochemistry (IHC), and immunoprecipitation (IP) to detect Grp75 in various tissues and cell types. Commercially available Grp75 antibodies are often raised against specific epitopes, with host species (e.g., rabbit, mouse) and clonal types (monoclonal/polyclonal) varying by supplier. Researchers utilize these antibodies to explore Grp75's involvement in diseases such as cancer (where it is overexpressed and linked to tumor progression and chemoresistance) and neurodegenerative disorders (e.g., Alzheimer’s and Parkinson’s diseases, where it interacts with misfolded proteins like β-amyloid and α-synuclein). Validation of antibody specificity through knockout controls or siRNA knockdown is critical to ensure accurate experimental outcomes.

客户数据及评论

折叠内容

大包装询价

×