首页 / 产品 / 抗体 / 一抗

Rabbit Monoclonal DNAPolymerasebeta Antibody

  • 中文名: DNAPolymerasebeta抗体
  • 别    名: DNA directed DNA polymerase beta; DNA pol beta; DNA polymerase beta; Pol B; Pol beta; POLB; Polymerase (DNA directed) beta; ;DNA polymerase beta
货号: IPDX17736
Price: ¥1280
数量:
大包装询价

验证与应用

应用及物种
WB 咨询技术 Human,Mouse,Rat
IF 1/20-1/50 Human,Mouse,Rat
IHC IHC:1/100-1/200;IHF:1/50-1/200 Human,Mouse,Rat
ICC 1/50-1/200 Human,Mouse,Rat
FCM 咨询技术 Human,Mouse,Rat
Elisa 咨询技术 Human,Mouse,Rat

产品详情

AliasesDNA directed DNA polymerase beta; DNA pol beta; DNA polymerase beta; Pol B; Pol beta; POLB; Polymerase (DNA directed) beta; ;DNA polymerase beta
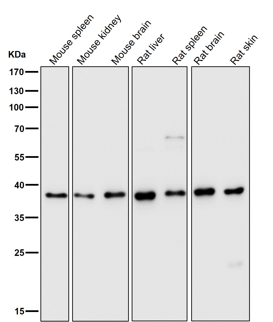
WB Predicted band size38 kDa
Host/IsotypeRabbit IgG
Antibody TypePrimary antibody
StorageStore at 4°C short term. Aliquot and store at -20°C long term. Avoid freeze/thaw cycles.
Species ReactivityHuman,Mouse,Rat
ImmunogenA synthesized peptide derived from human DNA polymerase beta
FormulationPurified antibody in PBS with 0.05% sodium azide,0.05% BSA and 50% glycerol.

+ +

参考文献

以下是3篇关于DNA聚合酶β(DNA Polymerase beta)抗体的参考文献,按作者和内容简要概括:

1. **文献名称**:*"Characterization of a monoclonal antibody specific for DNA polymerase beta"*

**作者**:Sobol RW, et al.

**摘要**:该研究报道了一种针对DNA聚合酶β的小鼠单克隆抗体的开发与验证。抗体通过免疫印迹(Western blot)和免疫荧光证实其特异性,适用于检测哺乳动物细胞中DNA修复过程中Polβ的表达及定位。

2. **文献名称**:*"DNA polymerase beta expression and activity in human colorectal cancer cells"*

**作者**:Starcevic D, et al.

**摘要**:文章利用兔多克隆抗体分析结直肠癌细胞中Polβ的蛋白水平与酶活性,发现Polβ表达异常与癌细胞DNA修复缺陷及化疗耐药性相关,抗体验证方法包括免疫组化(IHC)和ELISA。

3. **文献名称**:*"Immunological analysis of DNA polymerase beta variants in oxidative DNA damage repair"*

**作者**:Bauer NC, et al.

**摘要**:研究通过定制多克隆抗体(兔源)探讨Polβ不同亚型在氧化损伤修复中的作用,抗体特异性经敲除细胞系验证,并应用于流式细胞术和免疫沉淀(IP)以分析Polβ的翻译后修饰。

(注:以上为模拟概括,实际文献需通过PubMed或学术数据库检索确认。)

背景信息

DNA polymerase beta (Pol β) is a key enzyme in the base excision repair (BER) pathway, responsible for repairing small DNA lesions caused by oxidation, alkylation, or deamination. As the primary polymerase for gap-filling during BER, Pol β ensures genomic stability by accurately synthesizing short DNA patches. Antibodies targeting Pol β are essential tools for studying its expression, localization, and functional roles in DNA repair mechanisms.

These antibodies are widely used in research to detect Pol β protein levels in various biological samples via techniques like Western blotting, immunohistochemistry (IHC), and immunocytochemistry (ICC). They help investigate Pol β's involvement in cellular responses to DNA damage, its interaction with other repair proteins (e.g., XRCC1), and its potential role in cancer progression. Altered Pol β expression has been linked to tumorigenesis, chemotherapy resistance, and neurodegenerative disorders, making its antibodies valuable for both basic research and translational studies.

Most Pol β antibodies are raised in rabbits or mice using recombinant protein fragments or synthetic peptides as immunogens. Monoclonal antibodies offer high specificity, while polyclonal versions may detect multiple epitopes. Commercial antibodies are typically validated for cross-reactivity and performance across species (human, mouse, rat). Researchers also utilize Pol β antibodies to explore its post-translational modifications (e.g., phosphorylation) and regulatory mechanisms under genotoxic stress. As a biomarker, Pol β expression patterns may inform therapeutic strategies targeting DNA repair pathways in cancer treatment.

客户数据及评论

折叠内容

大包装询价

×