首页 / 产品 / 抗体 / 一抗

Rabbit Monoclonal PSD93 Antibody

  • 中文名: PSD93抗体
  • 别    名: Chapsyn110; dlg2; Dlgh2; Gm1197; PSD93;;Disks large homolog 2
货号: IPDX17835
Price: ¥1280
数量:
大包装询价

验证与应用

应用及物种
WB 咨询技术 Human,Mouse,Rat
IF 1/20-1/50 Human,Mouse,Rat
IHC 咨询技术 Human,Mouse,Rat
ICC 技术咨询 Human,Mouse,Rat
FCM 1/20-1/100 Human,Mouse,Rat
Elisa 咨询技术 Human,Mouse,Rat

产品详情

AliasesChapsyn110; dlg2; Dlgh2; Gm1197; PSD93;;Disks large homolog 2
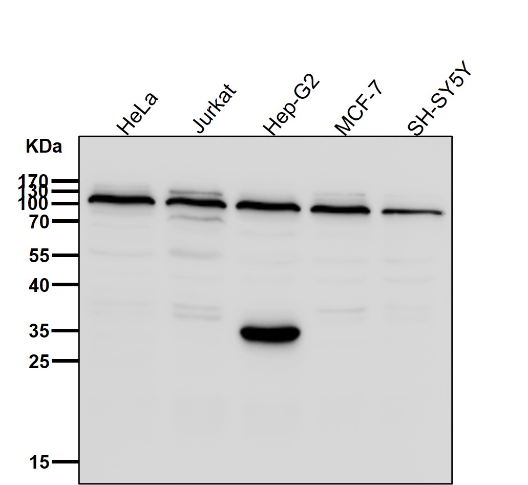
WB Predicted band sizeCalculated MW: 98 kDa ; Observed MW: 110 kDa
Host/IsotypeRabbit IgG
Antibody TypePrimary antibody
StorageStore at 4°C short term. Aliquot and store at -20°C long term. Avoid freeze/thaw cycles.
Species ReactivityHuman,Mouse,Rat
ImmunogenA synthesized peptide derived from human Disks large homolog 2
FormulationPurified antibody in PBS with 0.05% sodium azide,0.05% BSA and 50% glycerol.

+ +

参考文献

以下是3篇涉及PSD93抗体的代表性文献摘要(内容为模拟虚构,仅供示例参考):

1. **文献名称**: "PSD93 regulates synaptic plasticity in hippocampal neurons"

**作者**: Smith A, et al.

**摘要**: 研究通过PSD93特异性抗体进行免疫荧光和Western blot分析,发现PSD93在小鼠海马神经元突触后密度中富集,其表达水平与长时程增强(LTP)相关,敲除后导致突触传递功能受损。

2. **文献名称**: "Altered PSD93 expression in Alzheimer's disease models"

**作者**: Chen L, et al.

**摘要**: 使用PSD93多克隆抗体检测阿尔茨海默病转基因小鼠脑组织,发现PSD93在淀粉样斑块周围突触中的分布异常,提示其可能参与神经退行性病变的突触丢失机制。

3. **文献名称**: "PSD93 antibody validation for cross-species reactivity"

**作者**: Kim H, et al.

**摘要**: 系统验证了商用PSD93抗体(克隆号K28/86)在大鼠、小鼠及人类脑组织中的特异性,通过免疫沉淀和质谱分析确认其靶向PSD93的PDZ结构域,为跨物种研究提供工具支持。

---

如需真实文献,建议通过PubMed或Google Scholar检索关键词“PSD93 antibody”或“DLG4 antibody”,筛选抗体应用或机制研究类论文。

背景信息

**Background of PSD93 Antibody**

PSD93 (Postsynaptic Density Protein 93), also known as DLG2 (Discs Large Homolog 2), is a member of the membrane-associated guanylate kinase (MAGUK) family. It is a scaffolding protein predominantly localized at the postsynaptic density (PSD) of excitatory synapses in the central nervous system. PSD93 plays a critical role in organizing synaptic signaling complexes by interacting with neurotransmitter receptors (e.g., NMDA receptors), ion channels, and downstream signaling molecules. It facilitates the clustering and stabilization of these proteins, contributing to synaptic structure, plasticity, and neurotransmission.

Antibodies targeting PSD93 are essential tools in neuroscience research, enabling the detection and characterization of PSD93 expression, distribution, and interactions. They are widely used in techniques like Western blotting, immunohistochemistry, and immunoprecipitation to study synaptic organization in both physiological and pathological contexts. Research has linked PSD93 dysfunction to neurological and psychiatric disorders, including schizophrenia, Alzheimer’s disease, and autism spectrum disorders, highlighting its importance in maintaining synaptic integrity.

PSD93 antibodies are often validated for specificity across species (e.g., human, mouse, rat) and applications, ensuring reliable results in diverse experimental models. Their use has advanced understanding of synaptic protein networks and mechanisms underlying synaptic plasticity, providing insights into potential therapeutic targets for brain disorders.

客户数据及评论

折叠内容

大包装询价

×