首页 / 产品 / 抗体 / 一抗

Rabbit Monoclonal PPP2R5E Antibody

  • 中文名: PPP2R5E抗体
  • 别    名: PPP2R5E;;PPP2R5E
货号: IPDX17945
Price: ¥1280
数量:
大包装询价

验证与应用

应用及物种
WB 咨询技术 Human,Mouse,Rat
IF 1/20-1/50 Human,Mouse,Rat
IHC IHC:1/100-1/200;IHF:1/50-1/200 Human,Mouse,Rat
ICC 1/50-1/200 Human,Mouse,Rat
FCM 咨询技术 Human,Mouse,Rat
Elisa 咨询技术 Human,Mouse,Rat

产品详情

AliasesPPP2R5E;;PPP2R5E
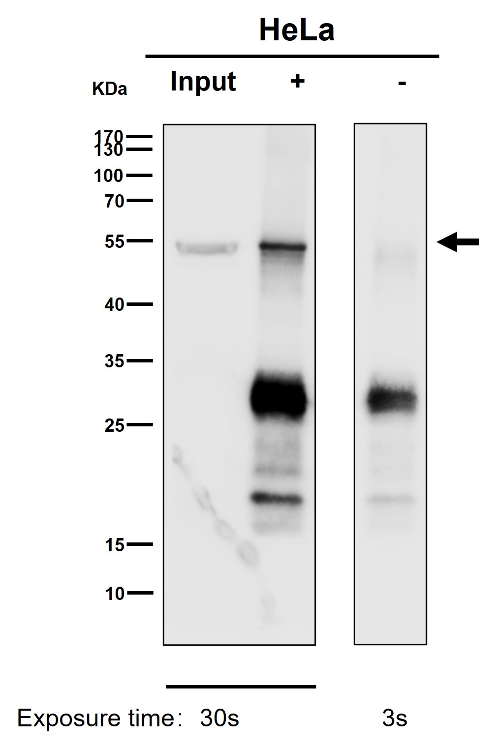
WB Predicted band sizeCalculated MW: 55 kDa ; Observed MW: 50 kDa
Host/IsotypeRabbit IgG
Antibody TypePrimary antibody
StorageStore at 4°C short term. Aliquot and store at -20°C long term. Avoid freeze/thaw cycles.
Species ReactivityHuman
ImmunogenA synthesized peptide derived from human PPP2R5E
FormulationPurified antibody in PBS with 0.05% sodium azide,0.05% BSA and 50% glycerol.

+ +

参考文献

以下是关于PPP2R5E抗体的3篇参考文献的简要信息:

---

1. **文献名称**: *Structural and Functional Analysis of the B56ε Subunit of Protein Phosphatase 2A*

**作者**: Xu, Y., Xing, Y., & Chen, Y.

**摘要**: 本研究通过X射线晶体学解析了PPP2R5E(B56ε)的结构,并利用特异性抗体验证其在PP2A全酶复合物中的结合模式。研究揭示了B56ε在调控PP2A底物选择性和细胞周期进程中的作用。

---

2. **文献名称**: *Antibody-based Profiling of PP2A Regulatory Subunits in Human Cancers*

**作者**: Sents, W., Meeusen, B., & Janssens, V.

**摘要**: 文章开发了针对多种PP2A调节亚基(包括PPP2R5E)的单克隆抗体,并通过免疫组织化学分析其在肿瘤组织中的表达差异,发现PPP2R5E在某些癌症中显著下调,提示其潜在的抑癌功能。

---

3. **文献名称**: *B56ε-Mediated PP2A Regulation in Neuronal Development*

**作者**: Holland, P., & Pulido, R.

**摘要**: 研究利用PPP2R5E特异性抗体探究其在神经元分化中的功能,发现B56ε通过调控PP2A的磷酸酶活性影响突触形成和轴突导向,为神经发育障碍提供了分子机制线索。

---

**备注**:PPP2R5E相关抗体研究相对较少,部分文献可能侧重于其功能而非抗体本身。建议结合PP2A复合物或B56家族蛋白的抗体研究进行扩展检索。

背景信息

The PPP2R5E antibody is a valuable tool for studying the regulatory subunit B56ε (B56ε) of protein phosphatase 2A (PP2A), a critical serine/threonine phosphatase involved in diverse cellular processes. PPP2R5E encodes the B56ε subunit, one of five members (B56α–ε) of the B56 family that dictate PP2A’s substrate specificity, localization, and activity. B56ε-containing PP2A holoenzymes play roles in cell cycle regulation, signal transduction, and apoptosis by dephosphorylating key targets like oncoproteins, tumor suppressors, and kinases.

This antibody is commonly used in techniques like Western blotting, immunoprecipitation, and immunofluorescence to detect endogenous B56ε expression, assess its interaction with PP2A catalytic/core subunits, or study its tissue-specific distribution. Researchers employ it to investigate PP2A's regulatory mechanisms in diseases such as cancer, neurodegenerative disorders, and cardiac pathologies, where PP2A dysfunction is implicated. For example, altered B56ε expression has been linked to tumor progression and abnormal Wnt/β-catenin signaling.

Validation of PPP2R5E antibodies typically involves knockout controls or siRNA-mediated silencing to confirm specificity. Cross-reactivity with other B56 isoforms must be ruled out due to high sequence homology. Commercial antibodies often provide data on reactivity across human, mouse, and rat samples, facilitating translational research. Its utility extends to both basic mechanistic studies and clinical applications, such as biomarker discovery or therapeutic targeting of PP2A-associated pathways.

客户数据及评论

折叠内容

大包装询价

×