首页 / 产品 / 抗体 / 一抗

Rabbit Monoclonal HRPT2/CDC73 Antibody

  • 中文名: HRPT2/CDC73抗体
  • 别    名: Cdc73; FIHP; HPTJT; HRPT1; HRPT2; Hyperparathyroidism 2; HYX;;Parafibromin
货号: IPDX17978
Price: ¥1280
数量:
大包装询价

验证与应用

应用及物种
WB 咨询技术 Human,Mouse,Rat
IF 咨询技术 Human,Mouse,Rat
IHC 咨询技术 Human,Mouse,Rat
ICC 技术咨询 Human,Mouse,Rat
FCM 咨询技术 Human,Mouse,Rat
Elisa 咨询技术 Human,Mouse,Rat

产品详情

AliasesCdc73; FIHP; HPTJT; HRPT1; HRPT2; Hyperparathyroidism 2; HYX;;Parafibromin
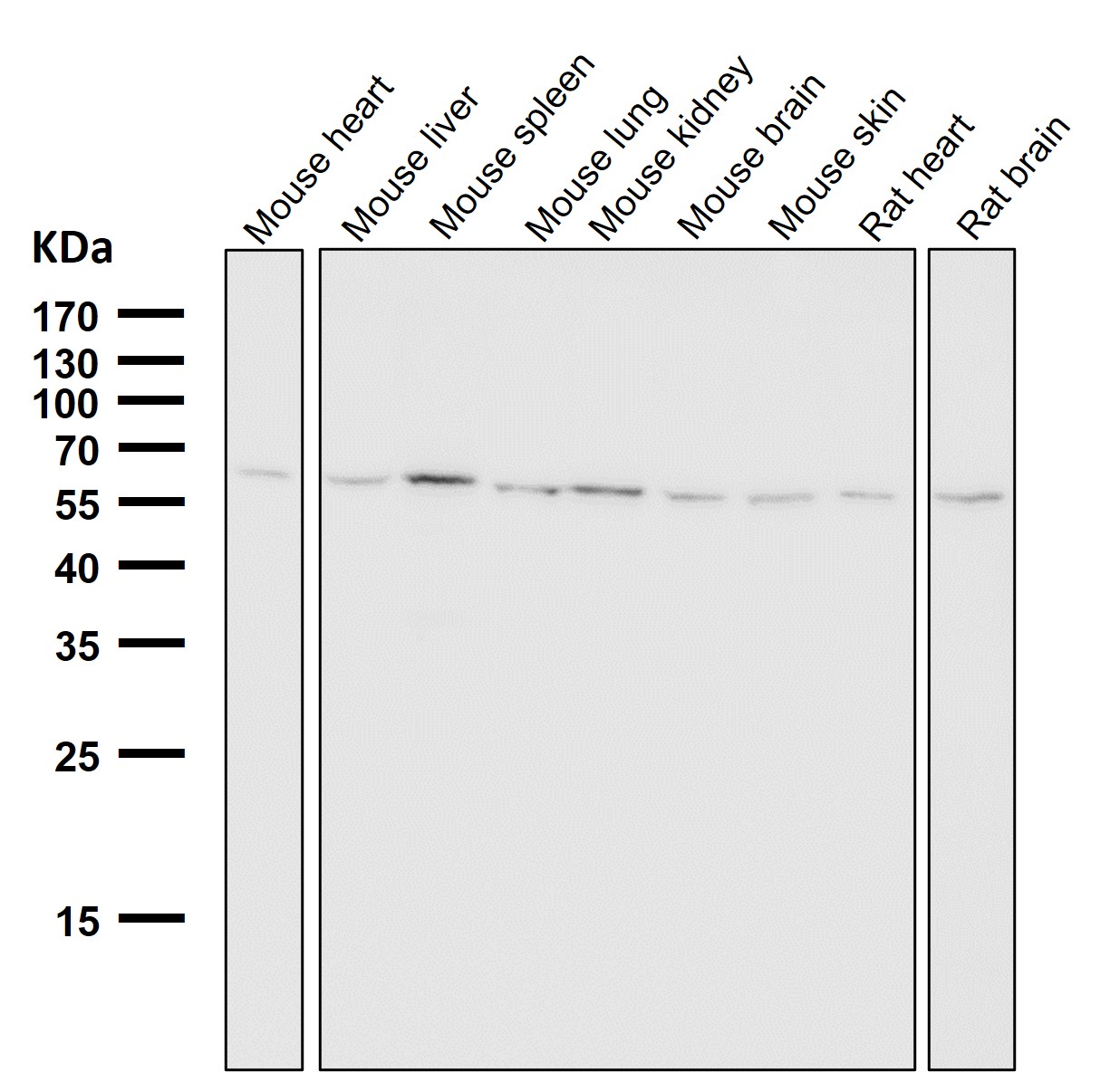
WB Predicted band size61 kDa
Host/IsotypeRabbit IgG
Antibody TypePrimary antibody
StorageStore at 4°C short term. Aliquot and store at -20°C long term. Avoid freeze/thaw cycles.
Species ReactivityHuman,Mouse,Rat
ImmunogenA synthesized peptide derived from human Parafibromin
FormulationPurified antibody in PBS with 0.05% sodium azide,0.05% BSA and 50% glycerol.

+ +

参考文献

以下是3-4篇关于 **HRPT2/CDC73抗体** 的参考文献及其简要摘要:

---

1. **文献名称**: *Parafibromin Immunohistochemistry in the Diagnosis of Parathyroid Cancer*

**作者**: Gill AJ, et al.

**摘要**: 研究探讨了parafibromin(由HRPT2/CDC73编码的蛋白)抗体在甲状旁腺癌诊断中的应用,发现其在恶性肿瘤中普遍表达缺失,可作为区分良恶性病变的标志物。

2. **文献名称**: *HRPT2 Mutations and CDC73 Antibody Staining in Parathyroid Tumors*

**作者**: Howell VM, et al.

**摘要**: 通过分析HRPT2突变与parafibromin表达的关系,发现CDC73抗体检测能有效识别突变相关肿瘤,支持其在遗传性和散发性甲状旁腺癌中的诊断价值。

3. **文献名称**: *Loss of Nuclear Expression of Parafibromin in Carcinomas of Head and Neck*

**作者**: Bradley KJ, et al.

**摘要**: 研究利用CDC73抗体检测头颈部肿瘤中parafibromin的表达,发现部分肿瘤(如甲状旁腺癌)存在核表达缺失,提示其作为分子标记的潜在用途。

4. **文献名称**: *CDC73/HRPT2 Mutation Analysis and Parafibromin Antibody Specificity*

**作者**: Juhlin CC, et al.

**摘要**: 评估了多种商业CDC73抗体的敏感性和特异性,确认其在检测HRPT2突变相关肿瘤中的可靠性,并优化了免疫组化实验条件。

---

以上文献聚焦于HRPT2/CDC73抗体在肿瘤(尤其是甲状旁腺癌)中的诊断应用、突变关联分析及抗体技术验证。如需具体期刊或年份信息,可进一步补充说明。

背景信息

The HRPT2 gene, also known as CDC73. encodes the protein parafibromin, a tumor suppressor implicated in cell cycle regulation and transcriptional modulation through its interaction with the PAF1 complex. Germline mutations in HRPT2 are linked to hyperparathyroidism-jaw tumor (HPT-JT) syndrome, an autosomal dominant disorder characterized by parathyroid adenomas/carcinomas, ossifying jaw tumors, and renal lesions. Somatic HRPT2 mutations are also observed in sporadic parathyroid carcinomas and a subset of renal and thyroid tumors.

Antibodies targeting the HRPT2/CDC73 gene product (parafibromin) are primarily utilized in research and diagnostics to assess protein expression levels. Loss of nuclear parafibromin expression, detected via immunohistochemistry (IHC), serves as a biomarker for HRPT2 inactivation, aiding in the distinction of parathyroid carcinoma from benign adenomas. These antibodies have also facilitated studies exploring parafibromin's role in Wnt/β-catenin signaling, histone modification, and cell proliferation.

Clinically, HRPT2/CDC73 antibody testing supports the diagnosis of HPT-JT syndrome and guides surveillance in high-risk individuals. However, interpretation requires caution, as aberrant staining patterns may arise from technical variability or non-inactivating mutations. Ongoing research aims to refine its utility in prognostication and targeted therapies for HRPT2-deficient tumors.

客户数据及评论

折叠内容

大包装询价

×