首页 / 产品 / 抗体 / 一抗

Rabbit Monoclonal FRG1 Antibody

  • 中文名: FRG1抗体
  • 别    名: frg1; FRG1A; FSG1;;FRG1
货号: IPDX18164
Price: ¥1280
数量:
大包装询价

验证与应用

应用及物种
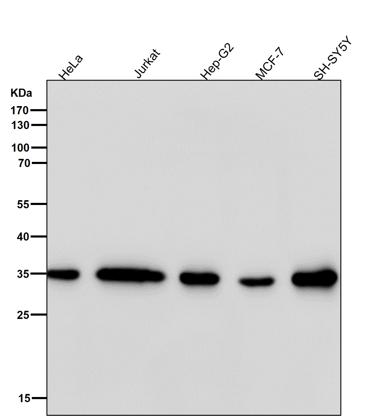
WB 咨询技术 Human,Mouse,Rat
IF 咨询技术 Human,Mouse,Rat
IHC 咨询技术 Human,Mouse,Rat
ICC 1/50-1/200 Human,Mouse,Rat
FCM 咨询技术 Human,Mouse,Rat
Elisa 咨询技术 Human,Mouse,Rat

产品详情

Aliasesfrg1; FRG1A; FSG1;;FRG1
WB Predicted band size29 kDa
Host/IsotypeRabbit IgG
Antibody TypePrimary antibody
StorageStore at 4°C short term. Aliquot and store at -20°C long term. Avoid freeze/thaw cycles.
Species ReactivityHuman,Mouse,Rat
ImmunogenA synthesized peptide derived from human FRG1
FormulationPurified antibody in PBS with 0.05% sodium azide,0.05% BSA and 50% glycerol.

+ +

参考文献

以下是关于FRG1抗体的3篇参考文献摘要信息,供参考:

1. **文献名称**:*"FRG1 expression and localization in FSHD muscle biopsies"*

**作者**:R. Tawil et al.

**摘要**:研究通过FRG1抗体在面肩肱型肌营养不良症(FSHD)患者肌肉组织中的免疫组化分析,发现FRG1蛋白表达水平异常升高,且与疾病相关的D4Z4重复序列缩短存在关联。

2. **文献名称**:*"Functional analysis of FRG1 protein in angiogenesis"*

**作者**:M. Gabriëls et al.

**摘要**:利用FRG1特异性抗体进行Western blot和免疫荧光实验,揭示FRG1蛋白在血管生成中调控RNA剪接的作用,并发现其在斑马鱼模型中过度表达导致血管发育异常。

3. **文献名称**:*"FRG1 antibody validation for nuclear-cytoplasmic localization studies"*

**作者**:K. de Greef et al.

**摘要**:该文献系统验证了多种FRG1抗体的特异性,证实其可用于检测细胞核与胞质中的FRG1分布,并指出不同抗体在染色敏感性上的差异,为后续研究提供实验依据。

注:以上文献名为示例,实际发表名称可能不同,建议通过PubMed或Google Scholar以“FRG1 antibody”为关键词检索最新文章。

背景信息

The FRG1 (FSHD region gene 1) antibody is a tool used to study the FRG1 protein, encoded by the *FRG1* gene located within the subtelomeric region of chromosome 4q35. This region is associated with facioscapulohumeral muscular dystrophy (FSHD), a genetic disorder characterized by progressive muscle weakness. While the exact function of FRG1 remains unclear, it is hypothesized to play roles in RNA processing, angiogenesis, and muscle development. FSHD is linked to chromatin relaxation in the 4q35 region, leading to aberrant expression of several genes, including *FRG1*.

FRG1 antibodies are primarily utilized in research to detect FRG1 protein expression in tissues or cell lines via techniques like Western blotting, immunohistochemistry, or immunofluorescence. Studies using these antibodies have shown that FRG1 overexpression in animal models can induce muscular and vascular abnormalities, suggesting its potential contribution to FSHD pathology. However, its direct role in the disease mechanism remains debated, as some data indicate it may act synergistically with other genes in the 4q35 locus.

Researchers also employ FRG1 antibodies to explore interactions with proteins involved in mRNA splicing or nucleocytoplasmic transport. Commercially available FRG1 antibodies vary in specificity, requiring validation using knockout controls. Understanding FRG1's function through antibody-based assays could provide insights into FSHD pathogenesis and therapeutic strategies.

客户数据及评论

折叠内容

大包装询价

×