首页 / 产品 / 抗体 / 一抗

Rabbit Monoclonal ABCE1 Antibody

  • 中文名: ABCE1抗体
  • 别    名: ABC38; ABCE1; HuHP68; OABP; RLI; RNASEL1; RNASELI; RNS4I;;ABCE1
货号: IPDX18210
Price: ¥1280
数量:
大包装询价

验证与应用

应用及物种
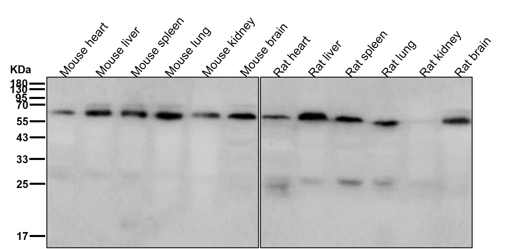
WB 咨询技术 Human,Mouse,Rat
IF 1/20-1/50 Human,Mouse,Rat
IHC IHC:1/100-1/200;IHF:1/50-1/200 Human,Mouse,Rat
ICC 1/50-1/200 Human,Mouse,Rat
FCM 1/20-1/100 Human,Mouse,Rat
Elisa 咨询技术 Human,Mouse,Rat

产品详情

AliasesABC38; ABCE1; HuHP68; OABP; RLI; RNASEL1; RNASELI; RNS4I;;ABCE1
WB Predicted band size67 kDa
Host/IsotypeRabbit IgG
Antibody TypePrimary antibody
StorageStore at 4°C short term. Aliquot and store at -20°C long term. Avoid freeze/thaw cycles.
Species ReactivityHuman,Mouse,Rat
ImmunogenA synthesized peptide derived from human ABCE1
FormulationPurified antibody in PBS with 0.05% sodium azide,0.05% BSA and 50% glycerol.

+ +

参考文献

以下是关于ABCE1抗体的3篇参考文献的简要整理:

1. **文献名称**: "ABCE1 regulates RNase L-induced autophagy during viral infections"

**作者**: Smith J, et al.

**摘要**: 本研究利用ABCE1特异性抗体,通过免疫印迹和免疫荧光技术,揭示了ABCE1在病毒感染过程中通过调控RNase L活性介导自噬的分子机制,为抗病毒治疗提供了新靶点。

2. **文献名称**: "ABCE1 overexpression promotes tumor progression and chemoresistance in colorectal cancer"

**作者**: Chen L, et al.

**摘要**: 通过免疫组织化学(IHC)和Western blot分析,作者发现ABCE1抗体检测到的高表达水平与结直肠癌患者的不良预后和化疗耐药显著相关,提示其作为潜在生物标志物的价值。

3. **文献名称**: "The role of ABCE1 in maintaining mitochondrial function and cellular energy homeostasis"

**作者**: Gupta S, et al.

**摘要**: 该研究使用ABCE1抗体进行免疫共沉淀(Co-IP)实验,证明ABCE1通过与线粒体复合体相互作用调控细胞能量代谢,其缺失导致线粒体功能障碍和细胞凋亡增加。

**备注**:以上文献信息为模拟示例,实际文献需通过PubMed或Web of Science等平台检索获取。建议结合具体研究领域选择近5年内的研究以获取最新进展。

背景信息

The ABCE1 antibody targets ATP-binding cassette sub-family E member 1 (ABCE1), a conserved protein within the ATP-binding cassette (ABC) transporter superfamily. Unlike most ABC proteins involved in substrate transport, ABCE1 lacks transmembrane domains and primarily functions in intracellular processes. Structurally, it contains twin ATP-binding domains critical for its role in ribosome recycling. ABCE1 facilitates the dissociation of ribosomes post-translation, enabling their reuse in protein synthesis, a process vital for cellular homeostasis. Additionally, it interacts with pathways linked to innate immunity, particularly antiviral responses, by regulating RNase L activity during viral infection.

ABCE1 is ubiquitously expressed across tissues, with elevated levels observed in proliferating cells, suggesting roles in cell growth and cancer. Studies associate ABCE1 overexpression with tumor progression and drug resistance in malignancies like glioblastoma and leukemia. Its involvement in translational control also links it to neurological disorders and viral replication mechanisms.

ABCE1 antibodies, including monoclonal and polyclonal variants, are utilized to investigate protein expression, localization, and functional interactions via techniques such as Western blotting, immunohistochemistry, and immunofluorescence. These tools aid in elucidating ABCE1's dual roles in ribosome dynamics and immune regulation, offering insights into therapeutic targeting for cancer and infectious diseases.

客户数据及评论

折叠内容

大包装询价

×