首页 / 产品 / 抗体 / 一抗

Rabbit Monoclonal BAP31 Antibody

  • 中文名: BAP31抗体
  • 别    名: BCR-associated protein Bap31; p28 Bap31; Protein CDM;;BCAP31
货号: IPDX18329
Price: ¥1280
数量:
大包装询价

验证与应用

应用及物种
WB 1/1000-1/2000 Human,Mouse,Rat
IF 咨询技术 Human,Mouse,Rat
IHC IHC:1/100-1/200;IHF:1/50-1/200 Human,Mouse,Rat
ICC 1/50-1/200 Human,Mouse,Rat
FCM 1/20-1/100 Human,Mouse,Rat
Elisa 咨询技术 Human,Mouse,Rat

产品详情

AliasesBCR-associated protein Bap31; p28 Bap31; Protein CDM;;BCAP31
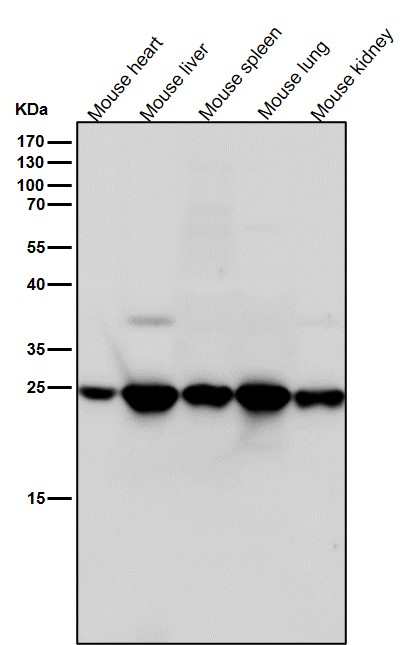
WB Predicted band sizeCalculated MW: 28 kDa ; Observed MW: 25 kDa
Host/IsotypeRabbit IgG
Antibody TypePrimary antibody
StorageStore at 4°C short term. Aliquot and store at -20°C long term. Avoid freeze/thaw cycles.
Species ReactivityHuman,Mouse
ImmunogenA synthesized peptide derived from human BCAP31
FormulationPurified antibody in PBS with 0.05% sodium azide,0.05% BSA and 50% glycerol.

+ +

参考文献

以下是关于BAP31抗体的3篇参考文献,简要列出其名称、作者及摘要内容:

---

1. **文献名称**:*"BAP31 interacts with Sec61 translocons and regulates ER protein transport"*

**作者**:Wang, B., et al.

**摘要**:本研究通过BAP31抗体进行免疫共沉淀和免疫荧光实验,揭示了BAP31与Sec61转位子复合物的相互作用,证明其在内质网(ER)相关蛋白转运和质量控制中的关键作用。

2. **文献名称**:*"Role of BAP31 in modulating apoptotic signaling in cancer cells"*

**作者**:Li, Y., et al.

**摘要**:利用BAP31抗体进行Western blot及流式细胞术分析,研究发现BAP31通过与Bcl-2和Caspase-8相互作用调控线粒体凋亡途径,影响癌细胞的存活与死亡。

3. **文献名称**:*"Characterization of a novel monoclonal antibody against human BAP31 for diagnostic applications"*

**作者**:Chen, L., et al.

**摘要**:报道了一种高特异性抗人BAP31单克隆抗体的开发,通过ELISA和免疫组化验证其在肿瘤组织中的诊断潜力,为BAP31相关疾病的检测提供新工具。

---

以上文献均涉及BAP31抗体的实验应用,涵盖功能机制研究及诊断工具开发。如需更多文献,建议通过PubMed或Google Scholar以关键词“BAP31 antibody”进一步检索。

背景信息

BAP31 (B-cell receptor-associated protein 31) is a transmembrane protein localized to the endoplasmic reticulum (ER), playing a critical role in ER protein quality control, vesicular trafficking, and apoptosis regulation. It interacts with various proteins, including caspase-8 and Bcl-2 family members, linking ER stress responses to apoptotic pathways. BAP31 antibodies are essential tools for studying its expression, localization, and molecular interactions in both physiological and pathological contexts.

These antibodies are widely used in techniques like Western blotting, immunofluorescence, and immunoprecipitation to investigate BAP31's involvement in diseases such as cancer, neurodegenerative disorders, and immune dysregulation. For instance, in cancer research, BAP31 antibodies help elucidate its dual role as a pro-survival or pro-apoptotic factor, depending on cellular context and stress signals. In neurodegenerative studies, they aid in exploring connections between ER stress, protein misfolding, and neuronal death.

Commercial BAP31 antibodies are typically raised against specific epitopes, such as the N-terminal or C-terminal regions, with validation in human, mouse, or rat models. Researchers must verify antibody specificity using knockout controls due to potential cross-reactivity with homologous proteins like BAP29. Recent studies also utilize BAP31 antibodies to probe its post-translational modifications, including phosphorylation and ubiquitination, which regulate its functional switch between protein chaperoning and apoptosis signaling.

客户数据及评论

折叠内容

大包装询价

×