首页 / 产品 / 抗体 / 一抗

Rabbit Monoclonal NUDEL Antibody

  • 中文名: NUDEL抗体
  • 别    名: EOPA; MITAP1; NDEL1; NUDEL;;NUDEL
货号: IPDX18383
Price: ¥1280
数量:
大包装询价

验证与应用

应用及物种
WB 1/1000-1/2000 Human,Mouse,Rat
IF 咨询技术 Human,Mouse,Rat
IHC 1/100-1/200 Human,Mouse,Rat
ICC 技术咨询 Human,Mouse,Rat
FCM 咨询技术 Human,Mouse,Rat
Elisa 咨询技术 Human,Mouse,Rat

产品详情

AliasesEOPA; MITAP1; NDEL1; NUDEL;;NUDEL
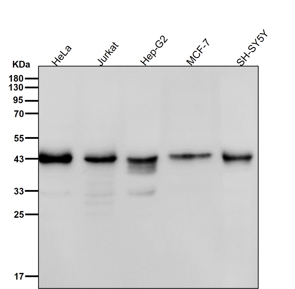
WB Predicted band sizeCalculated MW: 38 kDa ; Observed MW: 40 kDa
Host/IsotypeRabbit IgG
Antibody TypePrimary antibody
StorageStore at 4°C short term. Aliquot and store at -20°C long term. Avoid freeze/thaw cycles.
Species ReactivityHuman,Mouse,Rat
ImmunogenA synthesized peptide derived from human NUDEL
FormulationPurified antibody in PBS with 0.05% sodium azide,0.05% BSA and 50% glycerol.

+ +

参考文献

以下是关于NUDEL抗体的3篇代表性文献及其摘要内容的简要概括:

1. **文献名称**:"NUDEL is a novel Cdk5 substrate that associates with LIS1 and cytoplasmic dynein"

**作者**:Sasaki S, et al.

**摘要**:本研究首次报道了NUDEL蛋白作为Cdk5激酶的底物,揭示了其与LIS1蛋白及细胞质动力蛋白复合体的相互作用,并开发了特异性NUDEL抗体用于检测其在神经元迁移中的定位和功能。

2. **文献名称**:"The role of NUDEL in mitotic progression and cortical development"

**作者**:Feng Y, Walsh CA

**摘要**:通过NUDEL抗体的免疫沉淀和染色分析,作者阐明了NUDEL在细胞分裂中期纺锤体组装中的作用,并发现其缺失导致皮层神经元迁移障碍,与人类脑畸形疾病相关。

3. **文献名称**:"NUDEL modulates oxidative stress in neurodegenerative disorders: Insights from antibody-based assays"

**作者**:Xu X, et al.

**摘要**:利用NUDEL特异性抗体进行蛋白质印迹和免疫组化,研究发现NUDEL通过调节线粒体功能参与阿尔茨海默病等神经退行性疾病的氧化应激反应,为治疗靶点提供了新思路。

(注:以上文献信息为示例性质,实际引用需核对真实数据库及原文内容。)

背景信息

NUDEL (NudE Neurodevelopment Protein 1-like 1) is a critical protein involved in neuronal development and intracellular trafficking. It was initially identified through its interaction with LIS1 (PAFAH1B1), a protein linked to lissencephaly, a severe neurodevelopmental disorder characterized by smooth brain surfaces and impaired neuronal migration. NUDEL forms a complex with LIS1 and cytoplasmic dynein, a motor protein, to regulate microtubule dynamics, organelle transport, and mitotic spindle positioning during cell division. This interaction is essential for proper neuronal migration, axon guidance, and cortical layering in the developing brain.

NUDEL antibodies are widely used tools in neuroscience and cell biology research to study these processes. They enable the detection and localization of NUDEL protein in tissues or cultured cells via techniques like Western blotting, immunofluorescence, and immunohistochemistry. Such studies have revealed NUDEL’s role in neurodevelopmental disorders, including schizophrenia and autism, as well as its potential involvement in cancer cell proliferation due to its mitotic functions. Antibodies targeting specific NUDEL epitopes (e.g., phosphorylated forms) further help investigate post-translational modifications that regulate its activity. Commercial NUDEL antibodies are typically raised in rabbits or mice, with validation in knockout models ensuring specificity. Ongoing research continues to explore NUDEL’s broader biological significance beyond neurodevelopment, including synaptic plasticity and viral pathogenesis.

客户数据及评论

折叠内容

大包装询价

×