首页 / 产品 / 抗体 / 一抗

Rabbit Monoclonal HistoneH3(acetylK27) Antibody

  • 中文名: HistoneH3(acetylK27)抗体
  • 别    名: Histone H3.1, Histone H3, HIST1H3A;;Acetyl-Histone H3 (K28)
货号: IPDX18735
Price: ¥1280
数量:
大包装询价

验证与应用

应用及物种
WB 咨询技术 Human,Mouse,Rat
IF ChIP:1/20-1/50 Human,Mouse,Rat
IHC IHC:1/100-1/200;IHF:1/50-1/200 Human,Mouse,Rat
ICC 1/50-1/200 Human,Mouse,Rat
FCM 咨询技术 Human,Mouse,Rat
Elisa 咨询技术 Human,Mouse,Rat

产品详情

AliasesHistone H3.1, Histone H3, HIST1H3A;;Acetyl-Histone H3 (K28)
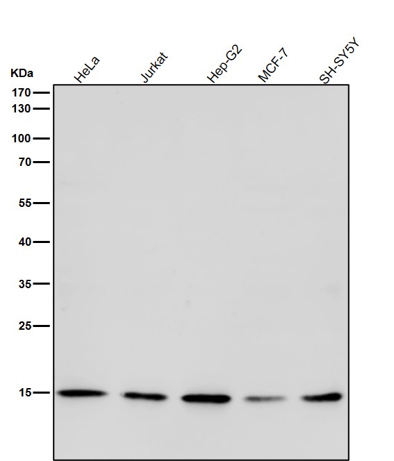
WB Predicted band sizeCalculated MW: 15 kDa ; Observed MW: 17 kDa
Host/IsotypeRabbit IgG
Antibody TypePrimary antibody
StorageStore at 4°C short term. Aliquot and store at -20°C long term. Avoid freeze/thaw cycles.
Species ReactivityHuman,Mouse,Rat
ImmunogenA synthesized peptide derived from human Histone H3.1 around the acetylation site of K28
FormulationPurified antibody in PBS with 0.05% sodium azide,0.05% BSA and 50% glycerol.

+ +

参考文献

以下是关于Histone H3(acetylK27)抗体的3篇参考文献的简要总结:

1. **文献名称**:*Selective Inhibition of Tumor Oncogenes by Disruption of Super-Enhancers*

**作者**:Lovén, J. et al.

**摘要**:研究利用H3K27ac抗体通过ChIP-seq鉴定癌细胞中的超级增强子区域,发现靶向这些区域可特异性抑制致癌基因表达,为癌症治疗提供新策略。

2. **文献名称**:*Master Transcription Factors and Mediator Establish Super-Enhancers at Key Cell Identity Genes*

**作者**:Whyte, W.A. et al.

**摘要**:通过H3K27ac抗体标记,揭示了超级增强子在维持胚胎干细胞多能性中的核心作用,证明其富集于调控细胞身份的关键基因区域。

3. **文献名称**:*Histone Acetyltransferase p300 Promotes Gene Activation by H3K27ac*

**作者**:Jin, Q. et al.

**摘要**:该研究使用H3K27ac抗体验证p300蛋白在增强子区域的乙酰化修饰功能,阐明其通过H3K27ac促进染色质开放及靶基因转录激活的机制。

以上文献均以H3K27ac抗体为核心工具,聚焦于基因调控、表观遗传修饰及疾病模型的研究。

背景信息

Histone H3 acetylated at lysine 27 (H3K27ac) is a post-translational modification associated with active gene regulatory elements, particularly enhancers and promoters. Acetylation of histone H3 at K27 neutralizes the positive charge of lysine residues, reducing their interaction with negatively charged DNA and promoting a more open chromatin structure. This epigenetic mark is strongly linked to transcriptional activation, as it facilitates the recruitment of chromatin-remodeling complexes and transcriptional machinery. H3K27ac is often used as a biomarker to distinguish active enhancers from poised or repressed regulatory regions in genomic studies.

Antibodies targeting H3K27ac are essential tools in chromatin immunoprecipitation (ChIP) assays, including ChIP-seq, to map regulatory elements and study gene expression dynamics. They are also employed in techniques like immunofluorescence, Western blotting, and flow cytometry to assess epigenetic states in various biological contexts. Dysregulation of H3K27ac has been implicated in diseases such as cancer, neurodegenerative disorders, and developmental abnormalities, making these antibodies valuable for both basic research and clinical investigations. Their specificity is critical, as cross-reactivity with other acetylated histone residues (e.g., H3K9ac or H3K14ac) could compromise data interpretation. Validation using knockout models or peptide competition assays is recommended to ensure antibody reliability.

客户数据及评论

折叠内容

大包装询价

×