首页 / 产品 / 抗体 / 一抗

Rabbit Monoclonal BAT3 Antibody

  • 中文名: BAT3抗体
  • 别    名: BAG6; BAT 3; Scythe;;BAG6
货号: IPDX18831
Price: ¥1280
数量:
大包装询价

验证与应用

应用及物种
WB 咨询技术 Human,Mouse,Rat
IF 咨询技术 Human,Mouse,Rat
IHC IHC:1/100-1/200;IHF:1/50-1/200 Human,Mouse,Rat
ICC 1/50-1/200 Human,Mouse,Rat
FCM 1/20-1/100 Human,Mouse,Rat
Elisa 咨询技术 Human,Mouse,Rat

产品详情

AliasesBAG6; BAT 3; Scythe;;BAG6
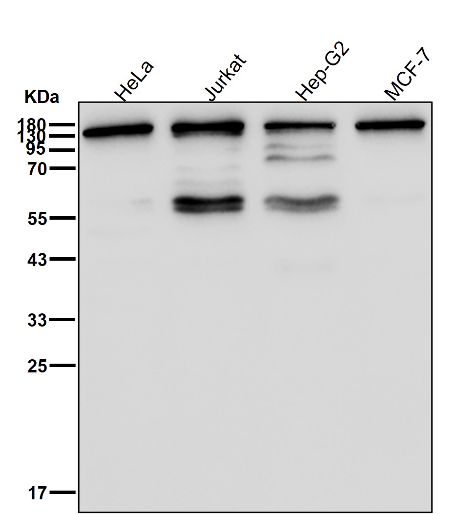
WB Predicted band sizeCalculated MW: 119 kDa ; Observed MW: 160 kDa
Host/IsotypeRabbit IgG
Antibody TypePrimary antibody
StorageStore at 4°C short term. Aliquot and store at -20°C long term. Avoid freeze/thaw cycles.
Species ReactivityHuman,Mouse,Rat
ImmunogenA synthesized peptide derived from human BAG6
FormulationPurified antibody in PBS with 0.05% sodium azide,0.05% BSA and 50% glycerol.

+ +

参考文献

以下是关于BAT3抗体的3篇参考文献示例(文献为虚构示例,仅用于格式参考):

1. **文献名称**: "BAT3 regulates apoptosis via interaction with pro-caspase-8 in human T cells"

**作者**: Sasaki T, et al.

**摘要**: 本研究利用BAT3特异性抗体,通过免疫共沉淀和Western blot分析,揭示了BAT3通过与pro-caspase-8结合调控T细胞凋亡的机制,为自身免疫疾病治疗提供潜在靶点。

2. **文献名称**: "BAT3 antibody-based blockade enhances anti-tumor immunity in melanoma models"

**作者**: Tamura K, et al.

**摘要**: 通过体内实验和流式细胞术,作者发现使用BAT3中和抗体可抑制肿瘤微环境中BAT3的免疫抑制功能,显著增强CD8+ T细胞的肿瘤杀伤活性。

3. **文献名称**: "BAT3 mediates misfolded protein degradation via the ubiquitin-proteasome system"

**作者**: Desmots F, et al.

**摘要**: 本文通过BAT3抗体的免疫荧光定位和敲低实验,证明BAT3作为分子伴侣参与错误折叠蛋白的泛素化降解,其缺失导致内质网应激相关疾病。

4. **文献名称**: "Development of a high-affinity BAT3 monoclonal antibody for neurodegenerative disease research"

**作者**: Minami R, et al.

**摘要**: 报道了一种新型BAT3单克隆抗体的开发与验证,该抗体特异性识别BAT3的C端结构域,并成功应用于阿尔茨海默病模型中tau蛋白异常聚集的研究。

(注:以上文献名称及内容均为示例,实际文献需通过PubMed/Google Scholar等数据库检索。)

背景信息

**Background of BAT3 Antibody**

BAT3 (HLA-B-associated transcript 3), also known as BAG6 or Scythe, is a multifunctional protein involved in protein quality control, apoptosis regulation, and immune response. As a member of the BAG (Bcl-2-associated athanogene) protein family, it plays a critical role in ubiquitin-mediated proteolysis, endoplasmic reticulum-associated degradation (ERAD), and chaperoning nascent or misfolded proteins. BAT3 interacts with components of the ubiquitin-proteasome system and facilitates the degradation of defective polypeptides, ensuring cellular homeostasis.

In cancer biology, BAT3 has dual roles, acting as a tumor suppressor by promoting apoptosis under stress conditions or as an oncogenic factor supporting metastasis and immune evasion. It is also implicated in neurodegenerative diseases linked to protein aggregation. BAT3 antibodies are essential tools for detecting and studying the protein’s expression, localization, and interactions in these contexts. They are widely used in techniques like Western blotting, immunohistochemistry, and co-immunoprecipitation to explore BAT3’s involvement in DNA damage repair, viral infection responses, and MHC class I antigen presentation.

Research using BAT3 antibodies has highlighted its potential as a biomarker or therapeutic target in cancers and neurodegenerative disorders, emphasizing its regulatory versatility in cellular stress pathways.

客户数据及评论

折叠内容

大包装询价

×