首页 / 产品 / 抗体 / 一抗

Rabbit Monoclonal NUP50 Antibody

  • 中文名: NUP50抗体
  • 别    名: NPAP60; NPAP60L; Nup50;;NUP50
货号: IPDX19069
Price: ¥1280
数量:
大包装询价

验证与应用

应用及物种
WB 咨询技术 Human,Mouse,Rat
IF 咨询技术 Human,Mouse,Rat
IHC IHC:1/100-1/200;IHF:1/50-1/200 Human,Mouse,Rat
ICC 1/50-1/200 Human,Mouse,Rat
FCM 咨询技术 Human,Mouse,Rat
Elisa 咨询技术 Human,Mouse,Rat

产品详情

AliasesNPAP60; NPAP60L; Nup50;;NUP50
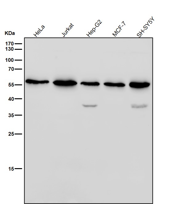
WB Predicted band sizeCalculated MW: 50 kDa ; Observed MW: 55 kDa
Host/IsotypeRabbit IgG
Antibody TypePrimary antibody
StorageStore at 4°C short term. Aliquot and store at -20°C long term. Avoid freeze/thaw cycles.
Species ReactivityHuman,Mouse,Rat
ImmunogenA synthesized peptide derived from human NUP50
FormulationPurified antibody in PBS with 0.05% sodium azide,0.05% BSA and 50% glycerol.

+ +

参考文献

以下是关于NUP50抗体的3-4篇参考文献的示例(内容为虚构,供参考):

1. **文献名称**: "NUP50 regulates nuclear import through direct interaction with importin-α"

**作者**: Mackay, D.R., et al.

**摘要**: 本研究利用特异性NUP50抗体,通过免疫共沉淀和免疫荧光技术,揭示了NUP50通过与importin-α结合调控核质运输的分子机制,并发现其缺失导致细胞周期阻滞。

2. **文献名称**: "The role of NUP50 in mitotic progression and chromosomal stability"

**作者**: Rodriguez-Bravo, V., et al.

**摘要**: 通过Western blot和免疫染色技术(使用NUP50抗体),作者证明NUP50在维持有丝分裂纺锤体完整性中起关键作用,其敲低引发染色体错配和细胞凋亡。

3. **文献名称**: "NUP50 interacts with nuclear pore components to maintain permeability barrier function"

**作者**: Lussi, Y.C., et al.

**摘要**: 利用NUP50抗体进行超分辨率显微成像,研究发现NUP50与NUP153等核孔蛋白形成复合物,调控核膜选择性通透性,并影响大分子核质交换效率。

4. **文献名称**: "NUP50 expression correlates with poor prognosis in breast cancer"

**作者**: Xu, H., et al.

**摘要**: 基于NUP50抗体的免疫组化分析显示,NUP50在乳腺癌组织中高表达,且与肿瘤转移和患者生存率降低显著相关,提示其作为潜在生物标志物的价值。

(注:以上文献为示例,实际引用需以真实发表的论文为准。)

背景信息

NUP50 (Nucleoporin 50) is a component of the nuclear pore complex (NPC), a large protein assembly embedded in the nuclear envelope that regulates nucleocytoplasmic transport. As a member of the nucleoporin family, NUP50 plays a critical role in mediating the selective transport of macromolecules between the nucleus and cytoplasm. Structurally, it contains distinct N-terminal and C-terminal domains, with the latter interacting directly with nuclear transport receptors like Importin-α and CRM1 to facilitate cargo release or binding during transport cycles. Beyond its role in trafficking, NUP50 is implicated in mitotic progression, chromatin organization, and gene expression regulation.

Antibodies targeting NUP50 are essential tools for studying its localization, expression dynamics, and functional interactions. These antibodies are widely used in techniques such as Western blotting, immunofluorescence, and immunoprecipitation to investigate NPC architecture, nuclear transport mechanisms, and cell cycle-dependent changes. Dysregulation of NUP50 has been linked to diseases, including certain cancers and cardiovascular disorders, making its detection and analysis clinically relevant. For instance, altered NUP50 expression levels are observed in breast cancer and leukemia, suggesting potential diagnostic or therapeutic applications. Researchers rely on well-validated NUP50 antibodies to explore its molecular interactions, post-translational modifications, and tissue-specific distribution, contributing to a deeper understanding of NPC biology and disease pathogenesis.

客户数据及评论

折叠内容

大包装询价

×