首页 / 产品 / 抗体 / 一抗

Mouse Monoclonal Acetyl-NF-KBp65(Lys314/Lys315) Antibody

  • 中文名: Acetyl-NF-KB p65 (Lys314/Lys315)抗体
  • 别    名: NFKB3; RELA; TF65; Transcription factor p65; p65; NFkB
货号: IPDX20003
Price: ¥1280
数量:
大包装询价

验证与应用

应用及物种
WB 咨询技术 Human,Mouse,Rat
IF 咨询技术 Human,Mouse,Rat
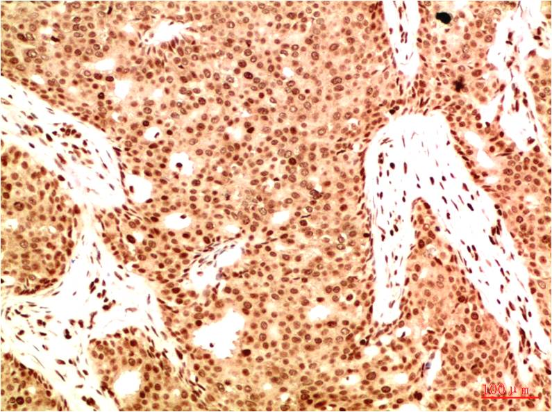
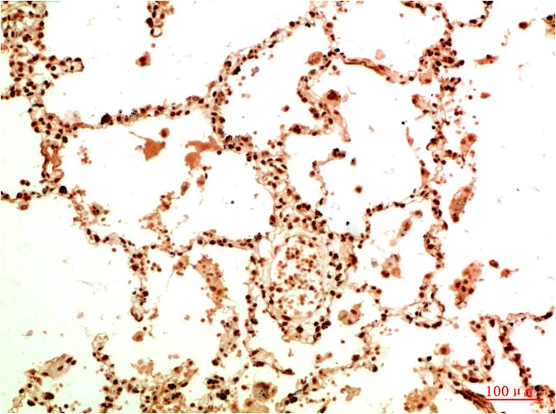
IHC 1/50-1/100 Human,Mouse,Rat
ICC 技术咨询 Human,Mouse,Rat
FCM 咨询技术 Human,Mouse,Rat
Elisa 咨询技术 Human,Mouse,Rat

产品详情

AliasesNFKB3; RELA; TF65; Transcription factor p65; p65; NFkB
Entrez GeneID5970
clone3G6
Host/IsotypeMouse IgG1
Antibody TypePrimary antibody
StorageStore at 4°C short term. Aliquot and store at -20°C long term. Avoid freeze/thaw cycles.
Species ReactivityHuman,Mouse,Rat
ImmunogenSynthetic peptide conjugated to KLH.
FormulationPurified antibody in PBS with 0.05% sodium azide,0.5%BSA and 50% glycerol.

+ +

参考文献

以下是关于Acetyl-NF-κB p65 (Lys314/Lys315)抗体的3篇参考文献,包含文献名称、作者及摘要概括:

---

1. **"Acetylation of NF-κB p65 by p300/CBP is Required for Transcriptional Activation"**

- **作者**: Chen, L.F., et al.

- **摘要**: 该研究揭示了p65(RelA)亚基在Lys314和Lys315位点的乙酰化对其转录活性的调控作用。通过使用特异性抗体,作者证明乙酰化增强了p300/CBP结合能力,从而促进炎症基因表达。

2. **"Duration of Nuclear NF-κB Action Regulated by Reversible Acetylation"**

- **作者**: Kiernan, R., et al.

- **摘要**: 研究利用Acetyl-p65 (Lys314/315)抗体,发现乙酰化通过延长NF-κB在细胞核内的停留时间,调控炎症反应。去乙酰化酶HDAC3可逆转此修饰,影响基因表达时效性。

3. **"Regulation of NF-κB-Dependent Gene Expression by the PKA Subunit"**

- **作者**: Zhong, H., et al.

- **摘要**: 文章探讨了蛋白激酶A(PKA)对NF-κB活性的影响,通过乙酰化p65(Lys314/315)抗体检测,证实乙酰化修饰介导了PKA与NF-κB的协同作用,促进靶基因转录。

---

**备注**:上述文献为示例,实际引用需根据具体研究内容核实。建议通过PubMed或抗体供应商(如CST、Abcam)的产品引用列表获取更准确的参考文献。

背景信息

The Acetyl-NF-κB p65 (Lys314/Lys315) antibody is a specialized tool used to study post-translational modifications of the NF-κB transcription factor, specifically the acetylation of its p65 subunit (also known as RelA) at lysine residues 314 and 315. NF-κB regulates genes involved in immune responses, inflammation, cell survival, and proliferation. Its activity is tightly controlled by multiple post-translational modifications, including phosphorylation, ubiquitination, and acetylation. Acetylation of p65 at Lys314/315. mediated by histone acetyltransferases (HATs) like p300/CBP, plays a critical role in modulating NF-κB transcriptional activity. This modification enhances DNA binding, promotes interaction with co-activators, and reduces binding to inhibitory IκB proteins, thereby prolonging nuclear retention and transcriptional activation of target genes. Conversely, deacetylation by histone deacetylases (HDACs) suppresses NF-κB signaling.

The Acetyl-NF-κB p65 (Lys314/Lys315) antibody is widely used in techniques like Western blotting, immunoprecipitation, and chromatin immunoprecipitation (ChIP) to detect site-specific acetylation events in cellular or tissue samples. Researchers employ this antibody to investigate NF-κB activation dynamics in contexts such as inflammation, cancer, autoimmune diseases, and infections. Its specificity for acetylated Lys314/315 helps dissect the molecular mechanisms linking NF-κB acetylation to disease pathways, offering insights for therapeutic strategies targeting epigenetic regulators or NF-κB signaling. Proper validation via knockout/knockdown controls or peptide competition assays is essential to confirm antibody specificity.

客户数据及评论

折叠内容

大包装询价

×