首页 / 产品 / 抗体 / 一抗

Rabbit Monoclonal Phospho-MDM2(Ser166) Antibody

  • 中文名: Phospho-MDM2 (Ser166)抗体
  • 别    名: Double minute 2 protein; Hdm2; Oncoprotein Mdm2
货号: IPDX20091
Price: ¥1280
数量:
大包装询价

验证与应用

应用及物种
WB 咨询技术 Human,Mouse,Rat
IF 咨询技术 Human,Mouse,Rat
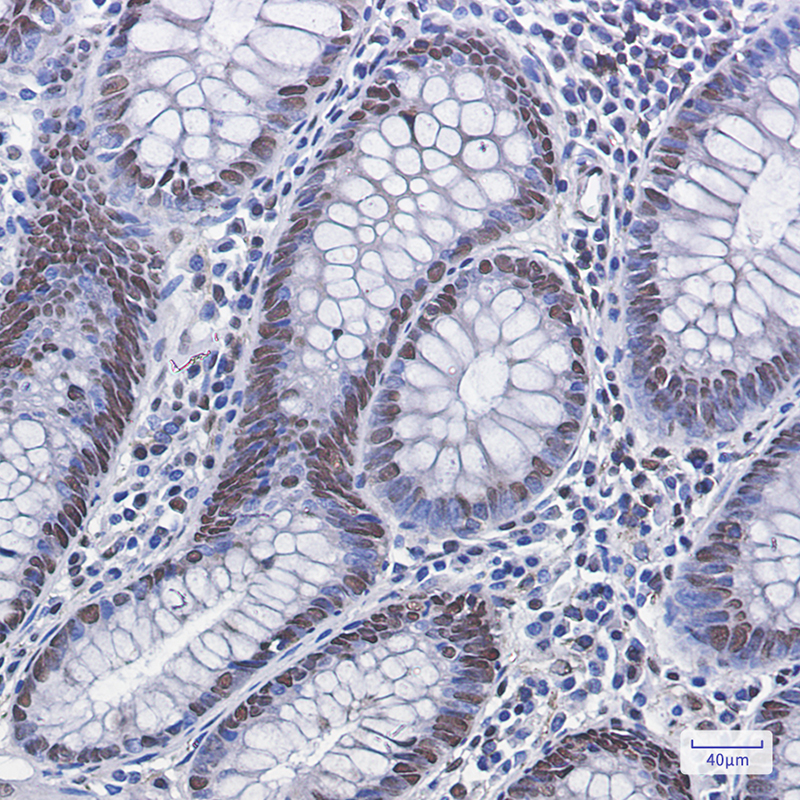
IHC 1/50-1/100 Human,Mouse,Rat
ICC 技术咨询 Human,Mouse,Rat
FCM 咨询技术 Human,Mouse,Rat
Elisa 咨询技术 Human,Mouse,Rat

产品详情

AliasesDouble minute 2 protein; Hdm2; Oncoprotein Mdm2
Entrez GeneID4193
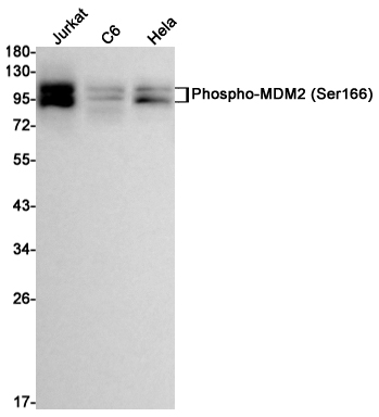
WB Predicted band sizeCalculated MW: 55 kDa; Observed MW: 90 kDa
Host/IsotypeRabbit IgG
Antibody TypePrimary antibody
StorageStore at 4°C short term. Aliquot and store at -20°C long term. Avoid freeze/thaw cycles.
Species ReactivityHuman,Rat
ImmunogenA synthetic phosphopeptide corresponding to residues surrounding Ser166 of human MDM2
FormulationPurified antibody in TBS with 0.05% sodium azide,0.05%BSA and 50% glycerol.

+ +

参考文献

以下是关于Phospho-MDM2 (Ser166)抗体的3篇参考文献,涵盖其功能、机制及应用:

1. **"AKT promotes cell survival by phosphorylating and inhibiting the Forkhead transcription factor FKHRL1"**

- **作者**: Brunet, A. et al.

- **摘要**:该研究揭示了AKT通过磷酸化MDM2(Ser166)增强其核转运能力,从而促进p53的泛素化降解,抑制细胞凋亡。文中使用Phospho-MDM2 (Ser166)抗体验证AKT信号对MDM2的调控作用。

2. **"Phosphorylation of MDM2 by Akt stabilizes MDM2 and promotes tumorigenesis"**

- **作者**: Zhou, B.P. et al.

- **摘要**:文章证明AKT介导的MDM2(Ser166)磷酸化可增强其稳定性,减少自身泛素化降解,进而加速p53的失活。研究通过该抗体在多种癌细胞中验证了磷酸化水平与肿瘤进展的相关性。

3. **"DNA damage-induced phosphorylation of MDM2 at Serine 395 promotes its nuclear export and p53 activation"**

- **作者**: Saito, S. et al.

- **摘要**:研究发现DNA损伤后,ATM/ATR激酶磷酸化MDM2(Ser395)并抑制其Ser166磷酸化,从而阻断MDM2的核定位,恢复p53活性。文中利用Phospho-MDM2 (Ser166)抗体分析不同应激条件下的磷酸化动态变化。

4. **"Targeting MDM2 phosphorylation as a therapeutic strategy in wild-type p53 cancers"**

- **作者**: Wade, M. et al.

- **摘要**:该研究探讨了抑制MDM2(Ser166)磷酸化的小分子化合物对p53活性的影响,使用该抗体评估化合物效果,并证明其可抑制肿瘤生长,为靶向治疗提供依据。

以上文献均通过Phospho-MDM2 (Ser166)抗体揭示了该位点磷酸化在肿瘤发生、DNA损伤应答及靶向治疗中的关键作用。

背景信息

The Phospho-MDM2 (Ser166) antibody detects MDM2 protein when phosphorylated at serine 166. a post-translational modification critical for regulating MDM2 activity. MDM2. an E3 ubiquitin ligase, primarily functions as a negative regulator of the tumor suppressor p53 by promoting its ubiquitination and proteasomal degradation. Phosphorylation at Ser166 enhances MDM2’s stability, nuclear localization, and ability to bind p53. thereby amplifying its oncogenic potential. This modification is mediated by kinases such as AKT, ATM/ATR, or ERK in response to cellular stress, DNA damage, or growth factor signaling. Aberrant MDM2 phosphorylation is linked to cancer progression, as hyperactivation disrupts p53-dependent apoptosis and cell cycle control.

Researchers use the Phospho-MDM2 (Ser166) antibody to study MDM2-p53 signaling dynamics in conditions like genotoxic stress, hypoxia, or oncogene activation. It is widely applied in Western blotting, immunofluorescence, and immunohistochemistry to assess phosphorylation status in cell lines, tissues, or preclinical models. The antibody helps evaluate therapeutic responses in cancers with MDM2 overexpression or p53 mutations, aiding drug development targeting this pathway. Validating its specificity is essential, as cross-reactivity with other phospho-epitopes or MDM2 homologs (e.g., MDMX) may occur. Proper controls, including phosphorylation inhibitors or site-directed mutagenesis, ensure accurate interpretation in experimental models.

客户数据及评论

折叠内容

大包装询价

×