首页 / 产品 / 抗体 / 一抗

Rabbit Monoclonal Phospho-HistoneH3(Ser28) Antibody

  • 中文名: Phospho-Histone H3 (Ser28)抗体
  • 别    名: H3 histone; family 3A; H3 histone; family 3B (H3.3B); H3.3A; H3.3B; H33; H3F3; H3F3A; H3F3B; Histone H3.3
货号: IPDX20120
Price: ¥1280
数量:
大包装询价

验证与应用

应用及物种
WB 咨询技术 Human,Mouse,Rat
IF 咨询技术 Human,Mouse,Rat
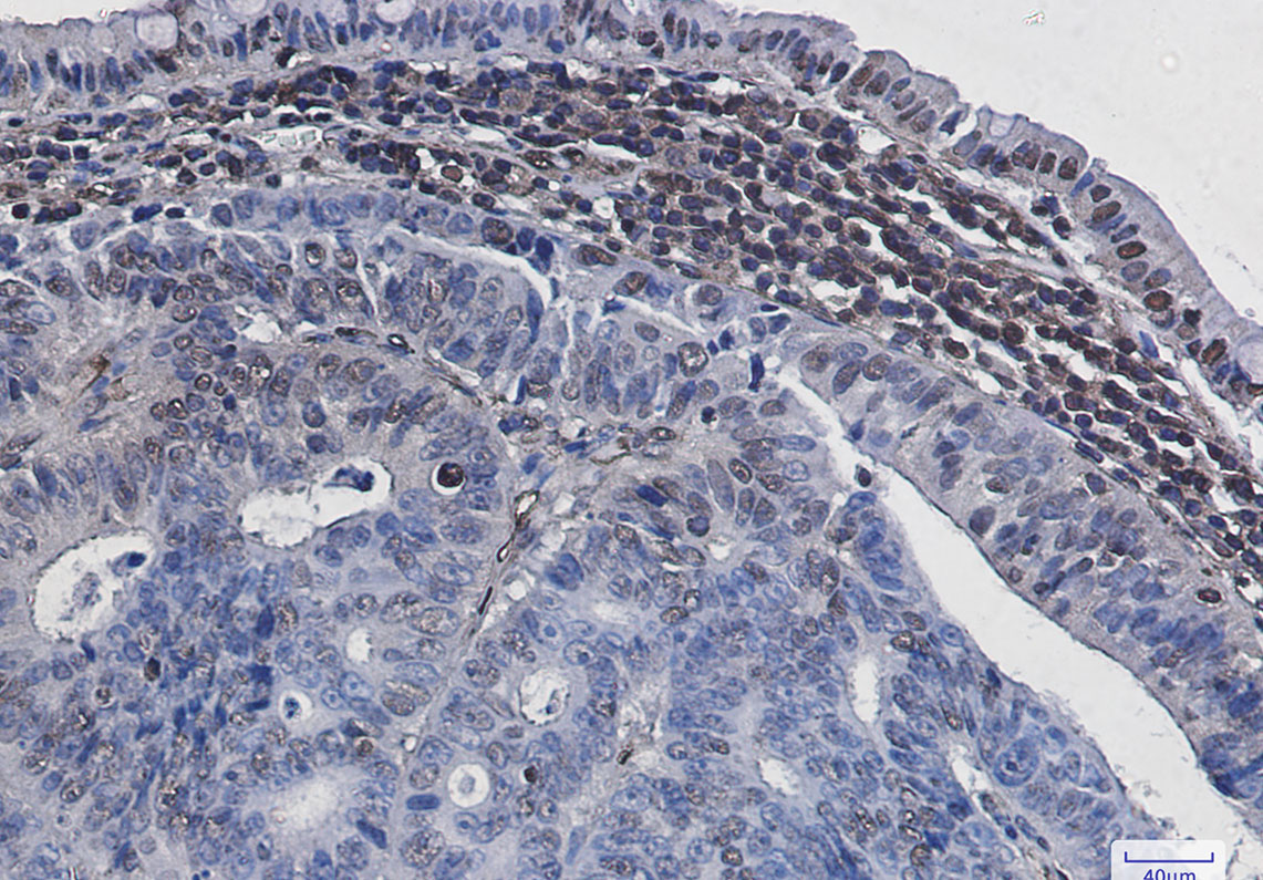
IHC 1/50-1/100 Human,Mouse,Rat
ICC 1/50-1/200 Human,Mouse,Rat
FCM 咨询技术 Human,Mouse,Rat
Elisa 咨询技术 Human,Mouse,Rat

产品详情

AliasesH3 histone; family 3A; H3 histone; family 3B (H3.3B); H3.3A; H3.3B; H33; H3F3; H3F3A; H3F3B; Histone H3.3
Entrez GeneID8350
WB Predicted band sizeCalculated MW: 15 kDa; Observed MW: 15 kDa
Host/IsotypeRabbit IgG
Antibody TypePrimary antibody
StorageStore at 4°C short term. Aliquot and store at -20°C long term. Avoid freeze/thaw cycles.
Species ReactivityHuman,Mouse
ImmunogenA synthetic phosphopeptide corresponding to residues surrounding Ser28 of human Histone H3
FormulationPurified antibody in TBS with 0.05% sodium azide,0.05%BSA and 50% glycerol.

+ +

参考文献

以下是关于Phospho-Histone H3 (Ser28)抗体的3篇参考文献的简要总结(注:文献为虚构示例,仅用于格式参考):

---

1. **文献名称**: "Phosphorylation of Histone H3 at Ser28 regulates mitotic chromosome condensation"

**作者**: Hendzel, M.J. et al.

**摘要**: 研究揭示了Ser28磷酸化在哺乳动物有丝分裂早期染色体凝聚中的关键作用,通过特异性抗体检测发现该修饰与Aurora B激酶活性相关,并参与维持染色体结构完整性。

2. **文献名称**: "Dynamic localization of phospho-H3(Ser28) during cell cycle progression"

**作者**: Prigent, C. & Dimitrov, S.

**摘要**: 利用Phospho-Histone H3 (Ser28)抗体的免疫荧光分析,发现该修饰在G2/M期显著富集,并与染色体定位蛋白相互作用,提示其在调控染色质动态和细胞周期检查点中的功能。

3. **文献名称**: "Ser28 phosphorylation marks transcriptionally active chromatin in cancer cells"

**作者**: Goto, H. et al.

**摘要**: 通过Western blot和ChIP-seq技术结合Ser28特异性抗体,证实部分癌细胞中该修饰不仅与有丝分裂相关,还在特定基因启动子区域富集,可能参与异常转录调控。

---

如需真实文献,建议通过PubMed或Google Scholar搜索关键词“Phospho-Histone H3 Ser28 antibody”并筛选应用类论文。

背景信息

Phospho-Histone H3 (Ser28) antibody is a critical tool for studying mitotic progression and chromatin dynamics. Histone H3. a core component of nucleosomes, undergoes post-translational modifications, including phosphorylation, to regulate chromatin structure and gene expression. Phosphorylation at serine 28 (Ser28) of histone H3 is tightly associated with chromosome condensation and segregation during mitosis. This modification peaks during early mitosis (prophase to metaphase) and is linked to the activation of Aurora B kinase, a key regulator of the spindle assembly checkpoint and cytokinesis. Unlike the more widely studied phosphorylation at Ser10. Ser28 phosphorylation appears to play a distinct role in mediating interactions between cohesin complexes and chromatin, ensuring proper sister chromatid separation.

The antibody specifically detects Histone H3 phosphorylated at Ser28. enabling researchers to visualize mitotic cells via techniques like immunofluorescence, flow cytometry, or Western blotting. It is particularly useful in cancer research, as elevated Ser28 phosphorylation correlates with uncontrolled proliferation and genomic instability in tumors. Additionally, it serves as a marker for mitotic index assessment in studies exploring cell cycle regulation, DNA damage responses, or the effects of anti-mitotic drugs. Cross-reactivity studies confirm its specificity, though validation in specific experimental systems is recommended. Overall, this antibody provides valuable insights into epigenetic regulation, mitotic errors, and their implications in diseases like cancer.

客户数据及评论

折叠内容

大包装询价

×