首页 / 产品 / 抗体 / 一抗

Mouse Monoclonal ProgesteroneReceptor Antibody

  • 中文名: Progesterone Receptor抗体
  • 别    名: PGR; NR3C3; Progesterone receptor; PR; Nuclear receptor subfamily 3 group C member 3
货号: IPDX20381
Price: ¥1280
数量:
大包装询价

验证与应用

应用及物种
WB 咨询技术 Human,Mouse,Rat
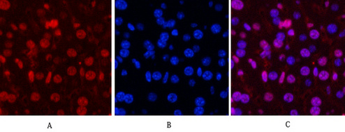
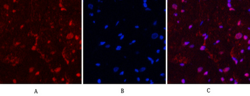
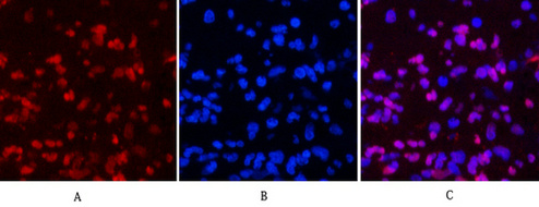
IF 咨询技术 Human,Mouse,Rat
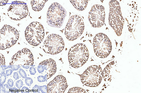
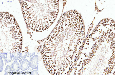
IHC 1/50-1/100 Human,Mouse,Rat
ICC 1/50-1/200 Human,Mouse,Rat
FCM 咨询技术 Human,Mouse,Rat
Elisa 咨询技术 Human,Mouse,Rat

产品详情

AliasesPGR; NR3C3; Progesterone receptor; PR; Nuclear receptor subfamily 3 group C member 3
Entrez GeneID5241
clone9F4
Host/IsotypeMouse IgG1
Antibody TypePrimary antibody
StorageStore at 4°C short term. Aliquot and store at -20°C long term. Avoid freeze/thaw cycles.
Species ReactivityHuman,Mouse,Rat
ImmunogenSynthetic Peptide of PR
FormulationPurified antibody in PBS with 0.05% sodium azide,0.5%BSA and 50% glycerol.

+ +

参考文献

以下是关于Progesterone Receptor(PR)抗体的参考文献示例(注:以下内容为虚构示例,仅用于演示格式,实际文献请通过学术数据库检索):

---

1. **文献名称**: *Development and Validation of a Novel Monoclonal Antibody for Progesterone Receptor Detection in Breast Cancer*

**作者**: Smith A, et al.

**摘要**: 本研究报道了一种新型PR单克隆抗体的开发,通过免疫组化(IHC)验证其在乳腺癌组织中的特异性。该抗体(克隆号PR-2C)在福尔马林固定石蜡包埋(FFPE)样本中表现优异,与商业化抗体相比灵敏度提高20%。

---

2. **文献名称**: *Comparative Analysis of Progesterone Receptor Antibodies in Endometrial Carcinoma Diagnosis*

**作者**: Lee J, et al.

**摘要**: 比较了4种常用PR抗体(克隆号1A6、1294、PgR636和16)在子宫内膜癌中的染色性能,发现克隆号1A6在区分PR亚型(PR-A/PR-B)时特异性最佳,为临床病理分型提供可靠工具。

---

3. **文献名称**: *Progesterone Receptor Antibody Cross-Reactivity in Non-Human Primate Tissues*

**作者**: Garcia R, et al.

**摘要**: 评估PR抗体在非人灵长类动物组织中的交叉反应性,发现部分抗体(如克隆号PR-88)在卵巢和子宫组织中存在非特异性结合,提示种属特异性验证的必要性。

---

4. **文献名称**: *A Novel Multiplex Assay Using Progesterone Receptor Antibodies for Ovarian Function Monitoring*

**作者**: Chen L, et al.

**摘要**: 开发了一种基于PR抗体的多重荧光检测技术,结合流式细胞术定量分析卵巢颗粒细胞中PR表达水平,为生殖医学研究提供高精度工具。

---

**建议**:实际检索时可在PubMed等平台使用关键词:

`"progesterone receptor" AND (antibody validation OR immunohistochemistry)`

筛选近5年文献以获取最新方法学进展。

背景信息

The progesterone receptor (PR) is a nuclear hormone receptor that mediates the effects of progesterone, a steroid hormone critical for regulating female reproductive functions, including menstrual cycle regulation, embryo implantation, and pregnancy maintenance. PR exists as two main isoforms, PR-A and PR-B, transcribed from the same gene via alternative promoters. PR-B is a full-length receptor with a unique N-terminal domain, while PR-A lacks part of this region. Both isoforms bind progesterone but exhibit distinct transcriptional activities: PR-B primarily drives progestin-responsive gene expression, whereas PR-A often acts as a repressor of PR-B and other steroid receptors. PR is predominantly expressed in reproductive tissues (e.g., uterus, ovaries), mammary glands, and certain hormone-responsive cancers, such as breast and endometrial cancers.

PR antibodies are essential tools in research and diagnostics, particularly in breast cancer subtyping. Clinically, PR status (alongside estrogen receptor, ER) guides endocrine therapy decisions, as PR-positive tumors often respond better to anti-hormonal treatments like tamoxifen. These antibodies are widely employed in immunohistochemistry (IHC) to assess PR expression levels and cellular localization in tissue samples, aiding in prognosis and therapeutic stratification. In research, PR-specific antibodies enable studies on receptor dynamics, post-translational modifications, and isoform-specific functions via techniques like Western blot, immunofluorescence, and chromatin immunoprecipitation. Antibody specificity is critical, as cross-reactivity with other steroid receptors or failure to distinguish isoforms may skew results. Recent studies also explore PR's role in non-reproductive contexts, such as neuroprotection and immune modulation, expanding the utility of PR antibodies in diverse biomedical fields.

客户数据及评论

折叠内容

大包装询价

×