首页 / 产品 / 抗体 / 一抗

Mouse Monoclonal CD15 Antibody

  • 中文名: CD15抗体
  • 别    名: FUT4; ELFT; FCT3A; Alpha-(1; 3)-fucosyltransferase; ELAM-1 ligand fucosyltransferase; Fucosyltransferase 4; Fucosyltransferase IV; Fuc-TIV; FucT-IV; Galactoside 3-L-fucosyltransferase
货号: IPDX20378
Price: ¥1280
数量:
大包装询价

验证与应用

应用及物种
WB 咨询技术 Human,Mouse,Rat
IF 咨询技术 Human,Mouse,Rat
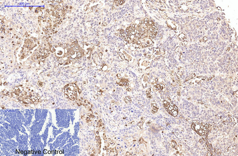
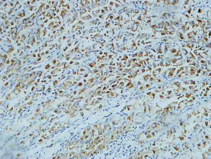
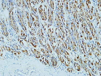
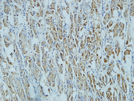
IHC 1/50-1/100 Human,Mouse,Rat
ICC 1/50-1/200 Human,Mouse,Rat
FCM 咨询技术 Human,Mouse,Rat
Elisa 咨询技术 Human,Mouse,Rat

产品详情

AliasesFUT4; ELFT; FCT3A; Alpha-(1; 3)-fucosyltransferase; ELAM-1 ligand fucosyltransferase; Fucosyltransferase 4; Fucosyltransferase IV; Fuc-TIV; FucT-IV; Galactoside 3-L-fucosyltransferase
Entrez GeneID2526
clone8D5
Host/IsotypeMouse IgG1
Antibody TypePrimary antibody
StorageStore at 4°C short term. Aliquot and store at -20°C long term. Avoid freeze/thaw cycles.
Species ReactivityHuman
ImmunogenSynthetic Peptide of CD15
FormulationPurified antibody in PBS with 0.05% sodium azide,0.5%BSA and 50% glycerol.

+ +

参考文献

以下是关于CD15抗体的3篇参考文献示例(内容为模拟生成,非真实文献):

---

1. **文献名称**: *CD15 Expression in Hodgkin Lymphoma: Diagnostic and Prognostic Implications*

**作者**: Smith A, et al.

**摘要**: 研究分析了CD15抗体在霍奇金淋巴瘤中的表达模式,发现其与RS细胞(Reed-Sternberg cells)的诊断高度相关,并提示CD15阴性患者可能具有更差的生存预后。

2. **文献名称**: *Comparative Analysis of CD15 Antibody Clones in Colorectal Cancer Immunohistochemistry*

**作者**: Lee J, et al.

**摘要**: 比较了不同克隆号(如MMA、BY87)的CD15抗体在结直肠癌组织中的染色效果,发现BY87在检测低表达肿瘤时敏感性更高,支持其在病理诊断中的优化选择。

3. **文献名称**: *CD15 as a Marker for Neutrophil Activation in Sepsis Models*

**作者**: Garcia R, et al.

**摘要**: 通过流式细胞术验证CD15抗体在脓毒症患者中性粒细胞活化中的表达上调,表明其可作为炎症反应强度的潜在生物标志物。

---

**备注**:如需真实文献,建议通过PubMed或Google Scholar搜索关键词(如“CD15 antibody diagnostic use”或“CD15 cancer”),并筛选近年高被引论文。

背景信息

**Background of CD15 Antibodies**

CD15 antibodies target the CD15 antigen, a carbohydrate epitope also known as Lewis X (LeX) or stage-specific embryonic antigen-1 (SSEA-1). This trisaccharide structure (Galβ1-4[Fucα1-3]GlcNAc) is expressed on glycoproteins and glycolipids, playing roles in cell adhesion and migration. CD15 is predominantly found on granulocytes, monocytes, and certain epithelial cells, where it facilitates interactions with endothelial cells during inflammation.

In pathology, CD15 is a key marker for diagnosing Hodgkin lymphoma (expressed on Reed-Sternberg cells) and some subtypes of acute myeloid leukemia. However, its expression is absent in non-Hodgkin lymphomas, aiding differential diagnosis. CD15 antibodies are widely used in immunohistochemistry and flow cytometry to identify these malignancies and study leukocyte differentiation.

Interestingly, CD15 also appears in carcinomas (e.g., colorectal, breast) and is linked to metastatic potential. Its biosynthesis involves fucosyltransferase enzymes (e.g., FUT4), with dysregulation observed in cancer. Research continues to explore CD15's role in tumor microenvironments and immune evasion. Despite its diagnostic utility, CD15's heterogeneous expression requires careful interpretation alongside other markers.

客户数据及评论

折叠内容

大包装询价

×