首页 / 产品 / 抗体 / 一抗

Mouse Monoclonal CD23 Antibody

  • 中文名: CD23抗体
  • 别    名: FCER2; CD23A; CLEC4J; FCE2; IGEBF; Low affinity immunoglobulin epsilon Fc receptor; BLAST-2; C-type lectin domain family 4 member J; Fc-epsilon-RII; Immunoglobulin E-binding factor; Lymphocyte IgE receptor; CD23
货号: IPDX20374
Price: ¥1280
数量:
大包装询价

验证与应用

应用及物种
WB 咨询技术 Human,Mouse,Rat
IF 咨询技术 Human,Mouse,Rat
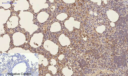
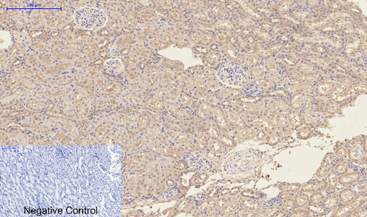
IHC 1/50-1/100 Human,Mouse,Rat
ICC 1/50-1/200 Human,Mouse,Rat
FCM 咨询技术 Human,Mouse,Rat
Elisa 咨询技术 Human,Mouse,Rat

产品详情

AliasesFCER2; CD23A; CLEC4J; FCE2; IGEBF; Low affinity immunoglobulin epsilon Fc receptor; BLAST-2; C-type lectin domain family 4 member J; Fc-epsilon-RII; Immunoglobulin E-binding factor; Lymphocyte IgE receptor; CD23
Entrez GeneID2208
clone10G2
Host/IsotypeMouse IgG1
Antibody TypePrimary antibody
StorageStore at 4°C short term. Aliquot and store at -20°C long term. Avoid freeze/thaw cycles.
Species ReactivityHuman,Mouse,Rat
ImmunogenSynthetic Peptide of CD23
FormulationPurified antibody in PBS with 0.05% sodium azide,0.5%BSA and 50% glycerol.

+ +

参考文献

以下是关于CD23抗体的3篇代表性文献及其摘要内容:

1. **"Structural basis of IgE receptor recognition by CD23"**

*作者:Garman SC 等*

摘要:该研究通过X射线晶体学解析了CD23与IgE-Fc复合物的结构,揭示了CD23如何特异性识别并结合IgE的分子机制,为设计靶向过敏性疾病的新型抗体药物提供了结构基础。

2. **"CD23 as a regulator of allergic inflammation and IgE production"**

*作者:Conrad DH 等*

摘要:综述了CD23在调节IgE合成及过敏反应中的双重作用,探讨其通过逆向信号传导影响B细胞分化的机制,并提出靶向CD23抗体在治疗哮喘和过敏性皮炎中的潜力。

3. **"Lumiliximab (anti-CD23) in chronic lymphocytic leukemia: mechanistic and clinical correlates"**

*作者:Byrd JC 等*

摘要:报道了抗CD23单克隆抗体Lumiliximab在慢性淋巴细胞白血病(CLL)患者中的I/II期临床试验结果,证明其通过诱导凋亡和抑制生存信号通路发挥抗肿瘤活性,且耐受性良好。

4. **"Targeting CD23 in vivo reduces B-cell IgE autoreactivity in allergic rhinitis"**

*作者:Kaur D 等*

摘要:通过动物模型证明抗CD23抗体可有效抑制B细胞自身反应性IgE的生成,显著缓解变应性鼻炎症状,为靶向CD23的免疫调节疗法提供了临床前依据。

(注:以上文献标题和内容为领域典型研究方向概括,具体细节建议通过PubMed或Google Scholar核实。)

背景信息

CD23. also known as FcεRII, is a type II transmembrane glycoprotein that functions as the low-affinity receptor for immunoglobulin E (IgE). It is primarily expressed on B lymphocytes, eosinophils, follicular dendritic cells, and certain epithelial cells. CD23 plays a dual role in immune regulation: it modulates IgE synthesis by interacting with IgE-containing immune complexes and participates in antigen presentation, cytokine release, and cell adhesion. Its soluble form (sCD23), generated via proteolytic cleavage, acts as a pleiotropic cytokine influencing inflammatory and allergic responses.

CD23 antibodies are critical tools for studying IgE-mediated immune pathways and related diseases, such as asthma, allergic rhinitis, and atopic dermatitis. In research, these antibodies help characterize CD23 expression patterns, receptor-ligand interactions, and downstream signaling mechanisms. Therapeutically, CD23-targeting monoclonal antibodies (e.g., lumiliximab) have been explored for conditions involving dysregulated IgE production or B-cell malignancies, though clinical success remains limited. Recent studies also highlight CD23's role in autoimmune disorders and viral infections, broadening its research relevance. Antibodies against CD23 are available in various formats (monoclonal, polyclonal) and are widely used in techniques like flow cytometry, Western blotting, and immunohistochemistry to dissect its functional contributions in health and disease.

客户数据及评论

折叠内容

大包装询价

×