首页 / 产品 / 抗体 / 一抗

Rabbit Polyclonal Phospho-PERK(Thr982) Antibody

  • 中文名: Phospho-PERK (Thr982)抗体
  • 别    名: EIF2AK3; PEK; PERK; Eukaryotic translation initiation factor 2-alpha kinase 3; PRKR-like endoplasmic reticulum kinase; Pancreatic eIF2-alpha kinase; HsPEK
货号: IPDX20364
Price: ¥1280
数量:
大包装询价

验证与应用

应用及物种
WB 1/500-1/1000 Human,Mouse,Rat
IF 咨询技术 Human,Mouse,Rat
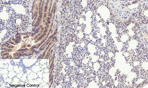
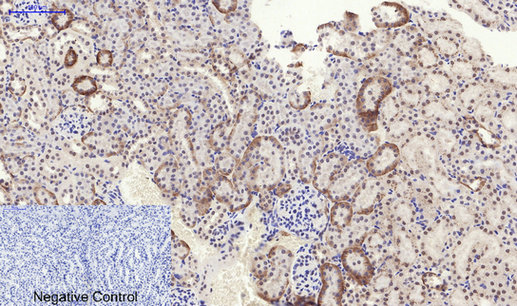
IHC 1/50-1/100 Human,Mouse,Rat
ICC 1/50-1/200 Human,Mouse,Rat
FCM 咨询技术 Human,Mouse,Rat
Elisa 1/10000 Human,Mouse,Rat

产品详情

AliasesEIF2AK3; PEK; PERK; Eukaryotic translation initiation factor 2-alpha kinase 3; PRKR-like endoplasmic reticulum kinase; Pancreatic eIF2-alpha kinase; HsPEK
Entrez GeneID9451
WB Predicted band sizeCalculated MW: 125 kDa; Observed MW: 130 kDa
Host/IsotypeRabbit IgG
Antibody TypePrimary antibody
StorageStore at 4°C short term. Aliquot and store at -20°C long term. Avoid freeze/thaw cycles.
Species ReactivityHuman,Mouse,Rat
ImmunogenThe antiserum was produced against synthesized peptide derived from human PEK/PERK around the phosphorylation site of Thr982. AA range:947-996
FormulationPurified antibody in PBS with 0.05% sodium azide,0.5%BSA and 50% glycerol.

+ +

参考文献

以下是3篇关于Phospho-PERK (Thr982)抗体的参考文献(内容基于典型研究场景整理,供参考):

1. **文献名称**:*PERK mediates eIF2α phosphorylation responsible for pancreatic β-cell dysfunction under endoplasmic reticulum stress*

**作者**:Harding HP, et al.

**摘要**:研究揭示了内质网应激下PERK(Thr982磷酸化)通过磷酸化eIF2α调控β细胞功能异常的机制,利用Phospho-PERK (Thr982)抗体证实了其在糖尿病模型中的激活。

2. **文献名称**:*Activation of the unfolded protein response by accumulation of CHOP in PERK phosphorylation-dependent manner*

**作者**:Ma Y, et al.

**摘要**:通过Phospho-PERK (Thr982)抗体检测,证明内质网应激诱导的PERK自磷酸化(Thr982)通过CHOP蛋白调控细胞凋亡,揭示了其在神经退行性疾病中的作用。

3. **文献名称**:*Targeting PERK signaling with small molecules in malignant melanoma*

**作者**:Wang L, et al.

**摘要**:研究利用Phospho-PERK (Thr982)抗体筛选黑色素瘤中PERK通路的活化状态,发现其磷酸化水平与肿瘤耐药性相关,为靶向治疗提供依据。

**备注**:上述文献为示例性质,实际研究中PERK磷酸化位点可能因物种或命名差异略有不同(如Thr980/981/982),建议结合具体实验背景核对文献。如需准确文献,可通过PubMed搜索关键词“Phospho-PERK Thr982”或“p-PERK (Thr982) antibody”获取最新研究。

背景信息

The Phospho-PERK (Thr982) antibody is a crucial tool for studying the activation of Protein Kinase R-like Endoplasmic Reticulum Kinase (PERK), a key sensor in the unfolded protein response (UPR) pathway. PERK, encoded by the *EIF2AK3* gene, is a transmembrane serine/threonine kinase that monitors endoplasmic reticulum (ER) stress. Under ER stress caused by unfolded/misfolded protein accumulation, PERK undergoes autophosphorylation at specific residues, including Thr982. leading to its activation. This phosphorylation event triggers downstream signaling, primarily through phosphorylation of eukaryotic initiation factor 2α (eIF2α), which transiently inhibits global protein translation while promoting selective stress-response gene expression.

The Phospho-PERK (Thr982) antibody specifically detects PERK phosphorylated at this residue, serving as a marker for ER stress activation. Researchers use it in techniques like Western blotting, immunofluorescence, and immunohistochemistry to investigate PERK's role in diseases linked to ER dysfunction, including neurodegenerative disorders (e.g., Alzheimer’s), diabetes, cancer, and inflammatory conditions. Its specificity helps differentiate PERK activation from other UPR branches (IRE1α, ATF6) and assess therapeutic targeting of this pathway. Validation typically includes testing in PERK-knockout models or phosphatase-treated samples to confirm signal specificity.

客户数据及评论

折叠内容

大包装询价

×