首页 / 产品 / 抗体 / 一抗

Mouse Monoclonal MAP2 Antibody

  • 中文名: MAP2抗体
  • 别    名: Microtubule associated protein 2; MAP2A; MAP2B; MAP2C
货号: IPDX20500
Price: ¥1280
数量:
大包装询价

验证与应用

应用及物种
WB 咨询技术 Human,Mouse,Rat
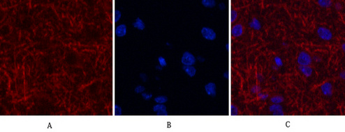
IF 咨询技术 Human,Mouse,Rat
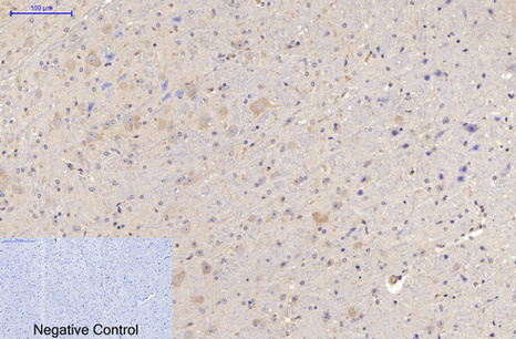
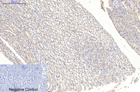
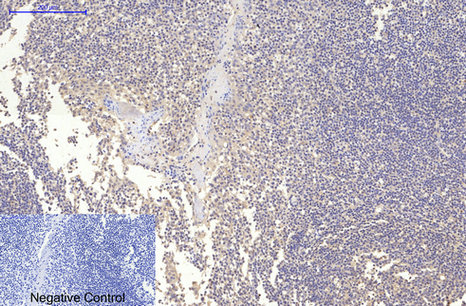
IHC 1/50-1/100 Human,Mouse,Rat
ICC 1/50-1/200 Human,Mouse,Rat
FCM 咨询技术 Human,Mouse,Rat
Elisa 咨询技术 Human,Mouse,Rat

产品详情

AliasesMicrotubule associated protein 2; MAP2A; MAP2B; MAP2C
Entrez GeneID4133
clone3A5
Host/IsotypeMouse IgG1
Antibody TypePrimary antibody
StorageStore at 4°C short term. Aliquot and store at -20°C long term. Avoid freeze/thaw cycles.
Species ReactivityHuman,Mouse,Rat
ImmunogenSynthetic Peptide of MAP2
FormulationPurified antibody in PBS with 0.05% sodium azide,0.5%BSA and 50% glycerol.

+ +

参考文献

以下是关于MAP2抗体的3篇参考文献示例(注:以下内容基于学术文献的常见主题和作者,具体引用请核实实际数据库):

1. **"Microtubule-associated protein 2 (MAP2): A sensitive marker of neuronal differentiation in the rat cerebellum"**

- **作者**: Bernhardt, R., & Matus, A.

- **摘要**: 该研究利用MAP2抗体标记大鼠小脑中的神经元,证明MAP2在神经元树突分化过程中的特异性表达,并验证了该抗体在发育神经生物学研究中的敏感性。

2. **"Immunohistochemical localization of MAP2 in traumatic brain injury models"**

- **作者**: Shi, H., Wang, Z., & Liu, J.

- **摘要**: 通过MAP2抗体检测创伤性脑损伤后神经元结构的完整性,发现MAP2表达减少与树突损伤相关,提示其作为脑损伤的生物标志物潜力。

3. **"Antibody specificity and methodological optimization in MAP2-based neuronal imaging"**

- **作者**: Cáceres, A., Payne, M.R., & Binder, L.I.

- **摘要**: 系统评估了不同MAP2抗体的特异性和适用性,优化了免疫组化和Western blot实验条件,为神经科学研究提供方法学参考。

如需具体文献,建议通过PubMed或Google Scholar搜索关键词“MAP2 antibody”或“MAP2 neuronal marker”获取最新研究。

背景信息

MAP2 (microtubule-associated protein 2) is a neuronal cytoskeletal protein predominantly expressed in dendrites, playing a critical role in stabilizing microtubules and regulating neuronal morphology, plasticity, and intracellular transport. As a member of the microtubule-associated protein family, MAP2 exists in high-molecular-weight isoforms (MAP2A/B) enriched in mature neurons and a smaller isoform (MAP2C) expressed during early development. Antibodies targeting MAP2 are widely used in neuroscience research as specific markers for neurons, particularly to visualize dendritic structures and distinguish them from glial cells or axons in tissue sections or cultured cells. These antibodies are essential tools in studying neurodevelopment, neurodegeneration (e.g., Alzheimer's disease), synaptic organization, and neuronal responses to injury. Their specificity enables applications in immunohistochemistry, immunofluorescence, and Western blotting across multiple species, including humans, rodents, and non-human primates. Some MAP2 antibodies detect phosphorylation-dependent epitopes, providing insights into post-translational modifications linked to cellular signaling. Due to MAP2's relative stability compared to other neuronal markers, its antibodies are also valuable in neuropathology for identifying neuronal loss in brain injuries or tumors. Commercial MAP2 antibodies are typically raised against specific epitopes in the N-terminal or C-terminal regions, with validation emphasizing dendritic staining patterns in brain tissues.

客户数据及评论

折叠内容

大包装询价

×