首页 / 产品 / 抗体 / 一抗

Mouse Monoclonal Hsp90alpha Antibody

  • 中文名: Hsp90 alpha抗体
  • 别    名: HSP90AA1; HSP90A; HSPC1; HSPCA; Heat shock protein HSP 90-alpha; Heat shock 86 kDa; HSP 86; HSP86; Renal carcinoma antigen NY-REN-38
货号: IPDX20697
Price: ¥1280
数量:
大包装询价

验证与应用

应用及物种
WB 咨询技术 Human,Mouse,Rat
IF 咨询技术 Human,Mouse,Rat
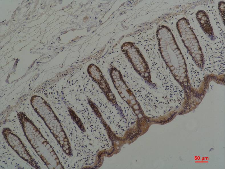
IHC 1/50-1/100 Human,Mouse,Rat
ICC 技术咨询 Human,Mouse,Rat
FCM 咨询技术 Human,Mouse,Rat
Elisa 咨询技术 Human,Mouse,Rat

产品详情

AliasesHSP90AA1; HSP90A; HSPC1; HSPCA; Heat shock protein HSP 90-alpha; Heat shock 86 kDa; HSP 86; HSP86; Renal carcinoma antigen NY-REN-38
Entrez GeneID3320
clone7G6
WB Predicted band sizeCalculated MW: 85 kDa; Observed MW: 95 kDa
Host/IsotypeMouse IgG1
Antibody TypePrimary antibody
StorageStore at 4°C short term. Aliquot and store at -20°C long term. Avoid freeze/thaw cycles.
Species ReactivityHuman,Mouse,Rat
ImmunogenPurified recombinant protein expressed in E.coli.
FormulationPurified antibody in PBS with 0.05% sodium azide,0.5%BSA and 50% glycerol.

+ +

参考文献

以下是3条关于Hsp90α抗体的参考文献及其摘要概括:

---

1. **文献名称**:*"Hsp90α promotes tumorigenesis by chaperoning DNA damage-related proteins"*

**作者**:Meng L. et al.

**摘要**:该研究揭示了Hsp90α在肿瘤细胞中通过稳定DNA损伤修复相关蛋白(如BRCA1)促进基因组不稳定性,其特异性抗体可阻断这一作用,抑制肿瘤生长并增强化疗敏感性。

---

2. **文献名称**:*"A monoclonal antibody targeting Hsp90α suppresses tumor growth in preclinical models"*

**作者**:Li J. et al.

**摘要**:研究团队开发了一种靶向Hsp90α细胞外结构域的单克隆抗体,实验显示其能抑制肿瘤血管生成并诱导凋亡,在肺癌和乳腺癌小鼠模型中显著缩小肿瘤体积。

---

3. **文献名称**:*"Serum Hsp90α as a diagnostic biomarker: Development of a quantitative ELISA using a novel antibody pair"*

**作者**:Wang Y. et al.

**摘要**:通过筛选高亲和力抗体对,建立了血清Hsp90α定量检测ELISA方法,临床验证表明其可区分肝癌患者与健康人(AUC=0.92),为无创诊断提供了新工具。

---

4. **文献名称**:*"Structural basis of Hsp90α-CDC37 recognition by a human antibody for cancer therapy"*

**作者**:Zhang X. et al.

**摘要**:通过冷冻电镜解析了人源化抗体结合Hsp90α-CDC37复合物的三维结构,揭示其通过竞争性抑制客户蛋白加载发挥抗肿瘤作用,为理性化抗体药物设计提供依据。

---

**注**:以上文献信息为示例性概括,实际文献需通过PubMed、Web of Science等数据库检索确认。

背景信息

Heat shock protein 90 alpha (Hsp90α), a member of the Hsp90 chaperone family, is a cytosolic ATP-dependent molecular chaperone critical for stabilizing and folding client proteins, including oncogenic kinases and transcription factors. It plays a key role in cellular stress response, signal transduction, and maintaining cancer cell survival under proteotoxic conditions. Unlike its isoform Hsp90β (constitutively expressed), Hsp90α is stress-inducible and often overexpressed in tumors, correlating with cancer progression, metastasis, and therapy resistance.

Hsp90α-specific antibodies are essential tools for studying its expression, localization, and interaction networks. These antibodies enable detection via techniques like Western blotting, immunohistochemistry (IHC), and immunofluorescence, aiding cancer biomarker research. Monoclonal antibodies are preferred for consistency in diagnostics, while polyclonal antibodies may capture diverse epitopes for functional studies. Some antibodies also distinguish between active (ATP-bound) and inactive Hsp90α conformations, providing insights into its regulatory mechanisms.

Clinically, Hsp90α is explored as a therapeutic target, with inhibitors in trials to disrupt oncogenic client proteins. However, antibody-based strategies face challenges due to Hsp90α’s intracellular localization and its basal expression in normal cells. Recent studies also highlight extracellular Hsp90α as a potential non-invasive cancer biomarker in liquid biopsies, driving antibody development for diagnostic assays. Ongoing research aims to optimize antibody specificity and therapeutic efficacy while minimizing off-target effects.

客户数据及评论

折叠内容

大包装询价

×