首页 / 产品 / 抗体 / 一抗

Mouse Monoclonal CyclophilinB Antibody

  • 中文名: Cyclophilin B抗体
  • 别    名: PPIB; CYPB; Peptidyl-prolyl cis-trans isomerase B; PPIase B; CYP-S1; Cyclophilin B; Rotamase B; S-cyclophilin; SCYLP
货号: IPDX20703
Price: ¥1280
数量:
大包装询价

验证与应用

应用及物种
WB 咨询技术 Human,Mouse,Rat
IF 咨询技术 Human,Mouse,Rat
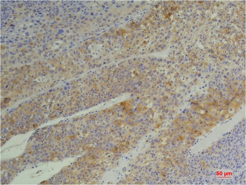
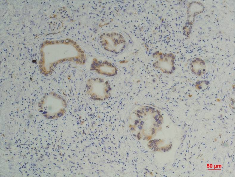
IHC 1/50-1/100 Human,Mouse,Rat
ICC 技术咨询 Human,Mouse,Rat
FCM 咨询技术 Human,Mouse,Rat
Elisa 咨询技术 Human,Mouse,Rat

产品详情

AliasesPPIB; CYPB; Peptidyl-prolyl cis-trans isomerase B; PPIase B; CYP-S1; Cyclophilin B; Rotamase B; S-cyclophilin; SCYLP
Entrez GeneID5479
clone5H5
WB Predicted band sizeCalculated MW: 24 kDa; Observed MW: 24 kDa
Host/IsotypeMouse IgG1
Antibody TypePrimary antibody
StorageStore at 4°C short term. Aliquot and store at -20°C long term. Avoid freeze/thaw cycles.
Species ReactivityHuman,Mouse,Rat
ImmunogenSynthetic peptide conjugated to KLH.
FormulationPurified antibody in PBS with 0.05% sodium azide,0.5%BSA and 50% glycerol.

+ +

参考文献

以下是3篇与Cyclophilin B抗体相关的文献及其摘要信息:

---

1. **文献名称**:*Cyclophilin B enhances the extracellular matrix production of human chondrocytes under inflammatory stress*

**作者**:Lee, H. et al.

**摘要**:研究使用Cyclophilin B特异性抗体分析其在炎症条件下对软骨细胞外基质生成的影响,发现Cyclophilin B通过调节ERK信号通路促进胶原蛋白合成。

2. **文献名称**:*Cyclophilin B as a novel biomarker for hepatitis C virus replication*

**作者**:Nakagawa, M. et al.

**摘要**:通过开发高特异性抗Cyclophilin B单克隆抗体,证实其在丙肝病毒(HCV)感染患者肝组织中的表达水平与病毒复制呈正相关,提示其作为潜在治疗靶点。

3. **文献名称**:*Cyclophilin B interacts with collagen and regulates its folding in the endoplasmic reticulum*

**作者**:Smith, A. D. et al.

**摘要**:利用免疫共沉淀(Co-IP)和Cyclophilin B抗体,揭示了其在胶原蛋白折叠中的作用机制,证明其缺陷导致内质网应激相关骨发育异常。

---

以上文献覆盖了Cyclophilin B在炎症、病毒感染及胶原代谢中的功能研究,均通过特异性抗体阐明其分子机制或应用潜力。如需具体期刊或年份信息,可进一步补充关键词检索。

背景信息

Cyclophilin B (CyPB), a member of the immunophilin family, is a ubiquitously expressed protein with peptidyl-prolyl *cis-trans* isomerase (PPIase) activity, facilitating protein folding and conformational regulation. It localizes primarily to the endoplasmic reticulum (ER) and secretory pathway, where it interacts with proteins like heat shock protein 90 (HSP90) and acts as a chaperone. CyPB also binds cyclosporine A (CsA), forming complexes that inhibit calcineurin, a key mechanism in immunosuppression.

Antibodies targeting Cyclophilin B are essential tools for studying its roles in cellular processes, including collagen biosynthesis, inflammation, and viral replication (e.g., HIV-1). These antibodies enable detection of endogenous CyPB via techniques like Western blotting, immunofluorescence, and immunoprecipitation. Researchers utilize them to explore CyPB's involvement in diseases such as cancer, fibrosis, and autoimmune disorders, where dysregulated expression or activity has been observed.

Notably, CyPB antibodies help distinguish it from other cyclophilin isoforms (e.g., Cyclophilin A) due to its unique N-terminal ER-targeting signal and glycosylation. Validation using knockout cell lines or siRNA-mediated knockdown ensures specificity. Recent studies also focus on CyPB's extracellular roles in modulating immune responses and cell signaling, highlighting its dual intra- and extracellular functions. Overall, Cyclophilin B antibodies are critical for elucidating its contributions to both physiological and pathological pathways.

客户数据及评论

折叠内容

大包装询价

×