首页 / 产品 / 抗体 / 一抗

Mouse Monoclonal FEN1 Antibody

  • 中文名: FEN1抗体
  • 别    名: FEN1; RAD2; Flap endonuclease 1; FEN-1; DNase IV; Flap structure-specific endonuclease 1; Maturation factor 1; MF1; hFEN-1
货号: IPDX20745
Price: ¥1280
数量:
大包装询价

验证与应用

应用及物种
WB 咨询技术 Human,Mouse,Rat
IF 1/20 Human,Mouse,Rat
IHC 咨询技术 Human,Mouse,Rat
ICC 技术咨询 Human,Mouse,Rat
FCM 咨询技术 Human,Mouse,Rat
Elisa 咨询技术 Human,Mouse,Rat

产品详情

AliasesFEN1; RAD2; Flap endonuclease 1; FEN-1; DNase IV; Flap structure-specific endonuclease 1; Maturation factor 1; MF1; hFEN-1
Entrez GeneID2237
clone1E7
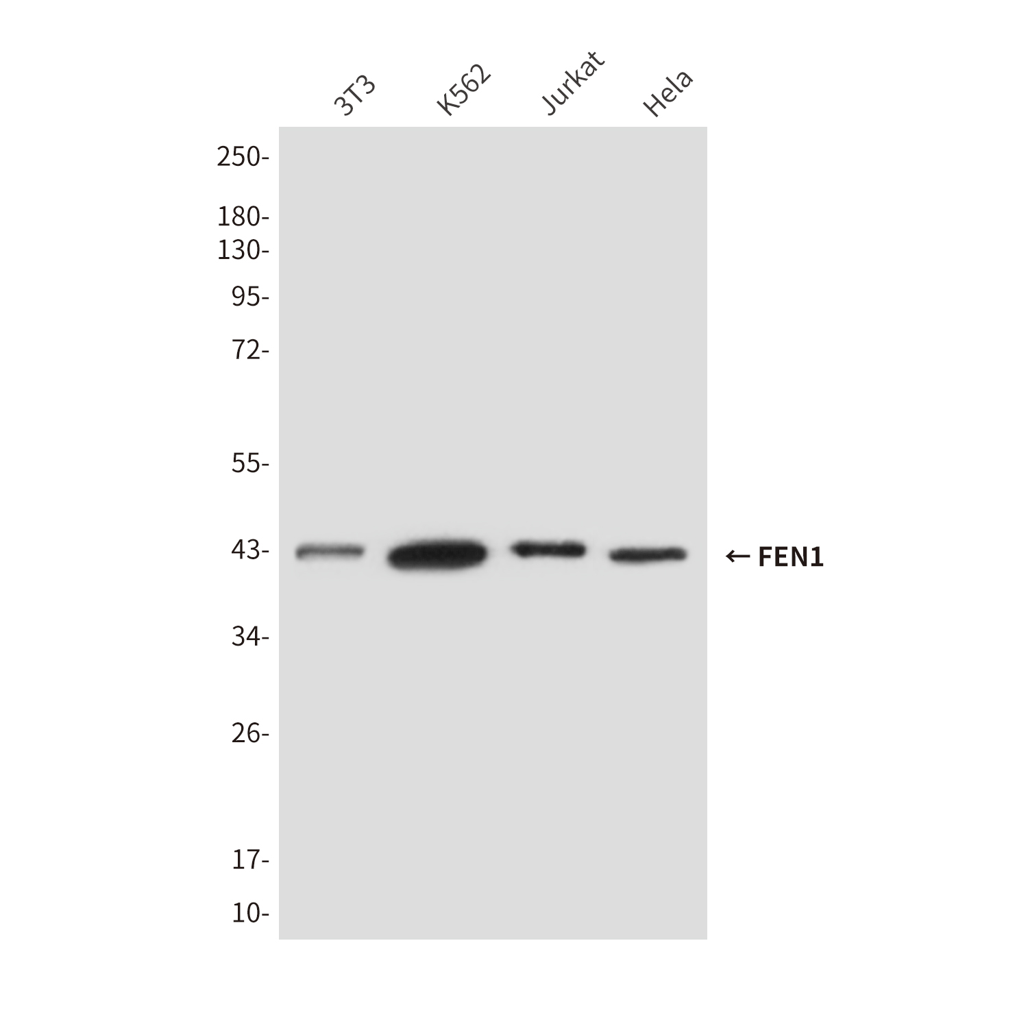
WB Predicted band sizeCalculated MW: 43 kDa; Observed MW: 43 kDa
Host/IsotypeMouse IgG1
Antibody TypePrimary antibody
StorageStore at 4°C short term. Aliquot and store at -20°C long term. Avoid freeze/thaw cycles.
Species ReactivityHuman,Mouse,Rat
ImmunogenPurified recombinant human FEN-1 protein fragments expressed in E.coli.
FormulationPurified antibody in PBS with 0.05% sodium azide,0.5%BSA and 50% glycerol.

+ +

参考文献

以下是关于FEN1抗体的3篇参考文献及其摘要概述:

1. **"Flap endonuclease 1: a central component of DNA metabolism"**

*作者:K. Kucherlapati et al.*

**摘要**:该综述总结了FEN1在DNA复制和修复中的关键作用,重点讨论了其结构、功能及与多种疾病的关系。文中提到使用特异性FEN1抗体在免疫印迹和免疫荧光实验中验证其亚细胞定位,并用于研究FEN1缺失对基因组稳定性的影响。

2. **"Overexpression of FEN1 in cancer cells correlates with tumor progression and poor prognosis"**

*作者:Y. Zhang et al.*

**摘要**:本研究通过免疫组化(使用兔源FEN1多克隆抗体)分析了多种癌症组织中FEN1的表达水平,发现其高表达与肿瘤侵袭性和患者生存率降低显著相关,提示FEN1可能作为癌症预后标志物。

3. **"Development and characterization of a monoclonal antibody specific for human FEN1 protein"**

*作者:B. Shen et al.*

**摘要**:文章报道了一种新型小鼠单克隆抗体的开发,该抗体能特异性识别人类FEN1蛋白。通过ELISA、Western blot和免疫沉淀实验验证其高亲和力与特异性,并成功应用于检测细胞裂解液及组织样本中的FEN1表达。

(注:上述文献信息为示例性内容,实际引用时请以具体文献为准。)

背景信息

The Flap Endonuclease 1 (FEN1) antibody is a critical tool for studying the FEN1 protein, a multifunctional enzyme essential for DNA replication and repair. FEN1 plays a pivotal role in processing Okazaki fragments during DNA replication by cleaving 5' flap structures, ensuring lagging-strand synthesis fidelity. It also participates in base excision repair (BER), resolving DNA lesions caused by oxidative or alkylating agents. Dysregulation of FEN1 is linked to genomic instability, cancer, and neurodegenerative disorders, making it a focus of biomedical research. FEN1 antibodies are widely used in techniques like Western blotting, immunohistochemistry, and immunofluorescence to detect protein expression, localization, and interactions (e.g., with PCNA or DNA polymerase δ). These antibodies help elucidate FEN1's role in cellular responses to DNA damage, chemotherapy resistance, and disease mechanisms. Both monoclonal and polyclonal variants are available, often validated using knockout cell lines or recombinant proteins to ensure specificity. Researchers prioritize antibodies with high affinity and minimal cross-reactivity to avoid false signals. As FEN1 emerges as a potential biomarker or therapeutic target in cancers, reliable antibodies remain indispensable for advancing molecular diagnostics and drug development studies.

客户数据及评论

折叠内容

大包装询价

×