首页 / 产品 / 抗体 / 一抗

Rabbit Monoclonal CarbonicAnhydrase1 Antibody

  • 中文名: Carbonic Anhydrase 1抗体
  • 别    名: CA1; Carbonic anhydrase 1; Carbonate dehydratase I; Carbonic anhydrase B; CAB; Carbonic anhydrase I; CA-I
货号: IPDX21156
Price: ¥1280
数量:
大包装询价

验证与应用

应用及物种
WB 咨询技术 Human,Mouse,Rat
IF 咨询技术 Human,Mouse,Rat
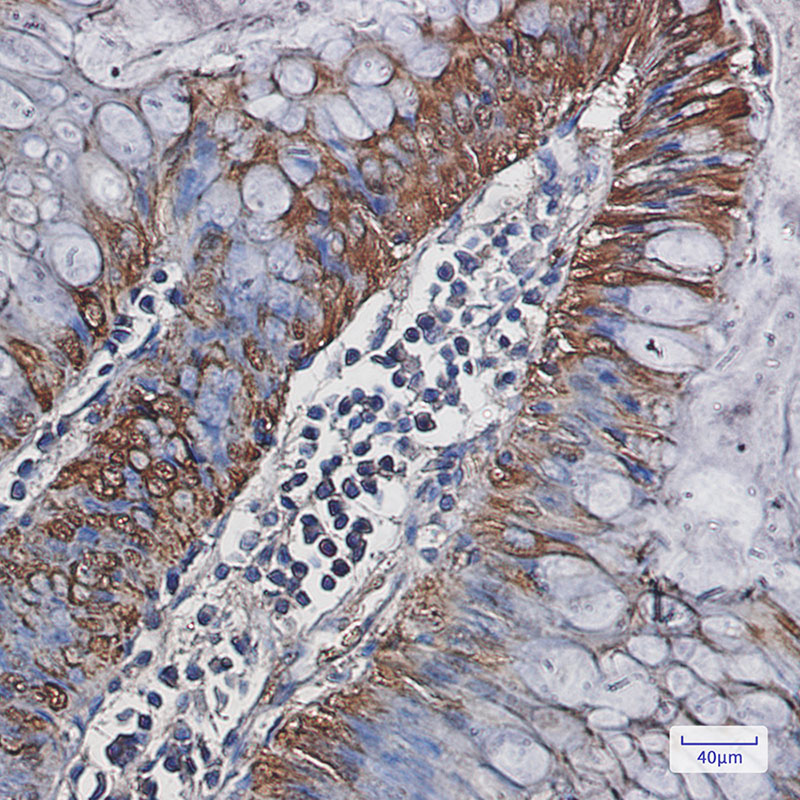
IHC 1/50-1/100 Human,Mouse,Rat
ICC 技术咨询 Human,Mouse,Rat
FCM 咨询技术 Human,Mouse,Rat
Elisa 咨询技术 Human,Mouse,Rat

产品详情

AliasesCA1; Carbonic anhydrase 1; Carbonate dehydratase I; Carbonic anhydrase B; CAB; Carbonic anhydrase I; CA-I
Entrez GeneID759
WB Predicted band sizeCalculated MW: 29 kDa; Observed MW: 29 kDa
Host/IsotypeRabbit IgG
Antibody TypePrimary antibody
StorageStore at 4°C short term. Aliquot and store at -20°C long term. Avoid freeze/thaw cycles.
Species ReactivityHuman,Mouse,Rat
ImmunogenA synthetic peptide of human Carbonic Anhydrase I
FormulationPurified antibody in TBS with 0.05% sodium azide,0.05%BSA and 50% glycerol.

+ +

参考文献

 IPDX21144

背景信息

Carbonic anhydrase 1 (CA1) is a zinc metalloenzyme belonging to the carbonic anhydrase family, which catalyzes the reversible hydration of carbon dioxide to bicarbonate and protons, playing a critical role in pH regulation, ion transport, and metabolic homeostasis. Primarily expressed in erythrocytes, gastrointestinal tissues, and the kidney, CA1 is involved in diverse physiological processes, including respiration, acid-base balance, and fluid secretion.

Antibodies targeting CA1 are valuable tools in biomedical research and diagnostics. They are widely used to study CA1's expression patterns, cellular localization, and functional roles in both normal and pathological conditions. For instance, CA1 antibodies have been employed in Western blotting, immunohistochemistry, and ELISA to investigate its dysregulation in cancers (e.g., colorectal, pancreatic), where altered CA1 levels may correlate with tumor progression or metabolic reprogramming. Additionally, CA1 autoantibodies have been detected in autoimmune disorders, such as rheumatoid arthritis and ulcerative colitis, suggesting a potential link to disease mechanisms.

In neuroscience, CA1 antibodies aid in exploring the enzyme’s role in cerebral pH regulation and its implications for neurodegenerative diseases. The development of specific and high-affinity CA1 antibodies continues to advance research into its physiological significance and therapeutic targeting, particularly in conditions involving acid-base imbalances or abnormal cellular metabolism.

客户数据及评论

折叠内容

大包装询价

×