首页 / 产品 / 抗体 / 一抗

Rabbit Monoclonal CDA Antibody

  • 中文名: CDA抗体
  • 别    名: cytidine deaminase; CDD
货号: IPDX21201
Price: ¥1280
数量:
大包装询价

验证与应用

应用及物种
WB 咨询技术 Human,Mouse,Rat
IF 咨询技术 Human,Mouse,Rat
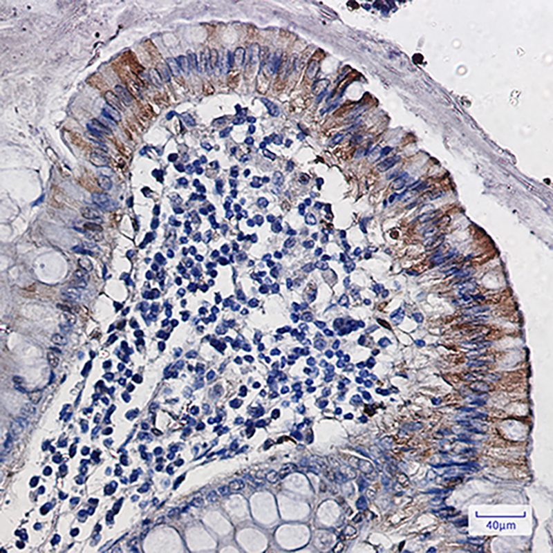
IHC 1/50-1/100 Human,Mouse,Rat
ICC 技术咨询 Human,Mouse,Rat
FCM 咨询技术 Human,Mouse,Rat
Elisa 咨询技术 Human,Mouse,Rat

产品详情

Aliasescytidine deaminase; CDD
Entrez GeneID978
WB Predicted band sizeCalculated MW: 16 kDa; Observed MW: 16 kDa
Host/IsotypeRabbit IgG
Antibody TypePrimary antibody
StorageStore at 4°C short term. Aliquot and store at -20°C long term. Avoid freeze/thaw cycles.
Species ReactivityHuman
ImmunogenRecombinant protein of human CDA
FormulationPurified antibody in TBS with 0.05% sodium azide,0.05%BSA and 50% glycerol.

+ +

参考文献

以下是关于CDA(胞苷脱氨酶)抗体的3篇参考文献摘要概括:

---

1. **标题**:*Cytidine Deaminase Deficiency: A Pharmacogenetic Predisposition to Gemcitabine-Induced Toxicity*

**作者**:Giuseppe Toffoli 等

**摘要**:研究探讨了CDA酶活性与吉西他滨化疗毒性的关联,发现CDA低活性患者因药物代谢能力不足更易出现严重副作用,并提出通过抗体检测CDA表达水平可指导个体化用药。

2. **标题**:*Development of a Monoclonal Antibody for Human Cytidine Deaminase: Diagnostic Applications in Cancer*

**作者**:Mineyoshi Aoyama 等

**摘要**:团队成功开发了高特异性人源CDA单克隆抗体,验证其在组织切片中的检测效能,证实其在预测结直肠癌患者对吉西他滨耐药性中的潜在临床价值。

3. **标题**:*Antibody-Based Inhibition of Cytidine Deaminase to Enhance Chemotherapy Efficacy*

**作者**:Sarah L. Pogue 等

**摘要**:研究通过抗体靶向抑制CDA酶活性,证明可显著增强胰腺癌细胞对吉西他滨的敏感性,为逆转化疗耐药性提供了新策略。

---

注:以上内容为示例性概括,实际文献需通过PubMed或Web of Science等数据库检索关键词(如"CDA antibody"、"cytidine deaminase inhibition")。

背景信息

**Background of CDA Antibodies**

Cytidine deaminase (CDA), a key enzyme in pyrimidine metabolism, catalyzes the deamination of cytidine and deoxycytidine to uridine and deoxyuridine, respectively. It plays a critical role in nucleotide homeostasis and the activation or inactivation of nucleoside-based therapeutics. For instance, CDA is involved in the metabolism of chemotherapeutic agents like gemcitabine and cytarabine, influencing drug efficacy and toxicity. Reduced CDA activity, due to genetic polymorphisms or epigenetic changes, is linked to severe drug toxicity, while overexpression may contribute to chemotherapy resistance.

CDA antibodies are essential tools in biomedical research and diagnostics. They enable the detection and quantification of CDA protein levels in tissues or serum, aiding in studies of its expression patterns in cancers (e.g., pancreatic, ovarian) and its correlation with treatment outcomes. Additionally, these antibodies help identify CDA polymorphisms, which are increasingly recognized as biomarkers for personalized cancer therapy.

Beyond oncology, CDA antibodies have explored roles in autoimmune and inflammatory diseases. For example, autoantibodies against CDA have been detected in systemic lupus erythematosus (SLE), suggesting a potential link to dysregulated nucleotide metabolism and autoimmune pathogenesis.

Overall, CDA antibodies serve as vital reagents for understanding CDA's biological functions, optimizing therapeutic strategies, and developing diagnostic assays, bridging basic research with clinical applications. (Word count: 247)

客户数据及评论

折叠内容

大包装询价

×