首页 / 产品 / 抗体 / 一抗

Rabbit Monoclonal CELF2 Antibody

  • 中文名: CELF2抗体
  • 别    名: ETR3; ETR-3; NAPOR; CELF-2; CUGBP2; BRUNOL3; CUG-BP2
货号: IPDX21215
Price: ¥1280
数量:
大包装询价

验证与应用

应用及物种
WB 咨询技术 Human,Mouse,Rat
IF 1/20 Human,Mouse,Rat
IHC 1/50-1/100 Human,Mouse,Rat
ICC 1/50-1/200 Human,Mouse,Rat
FCM 咨询技术 Human,Mouse,Rat
Elisa 咨询技术 Human,Mouse,Rat

产品详情

AliasesETR3; ETR-3; NAPOR; CELF-2; CUGBP2; BRUNOL3; CUG-BP2
Entrez GeneID10659
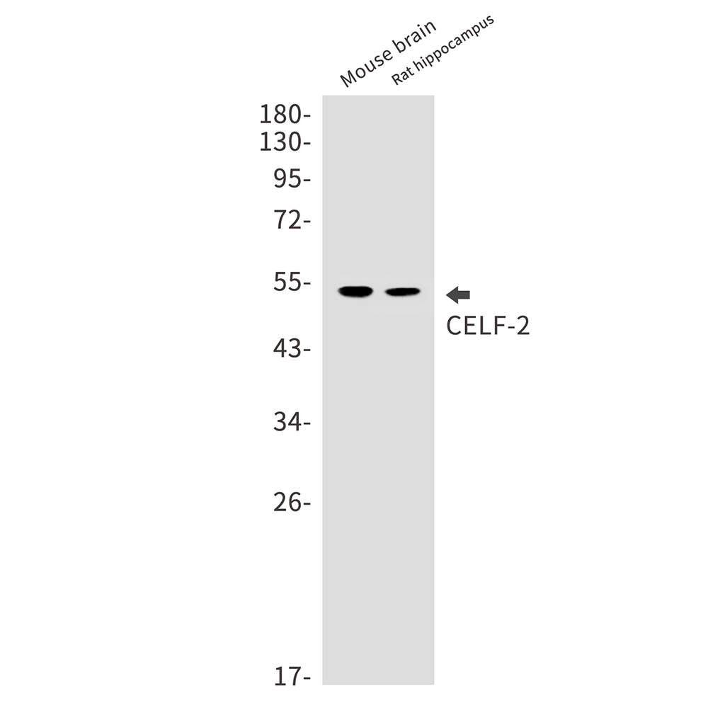
WB Predicted band sizeCalculated MW: 54 kDa; Observed MW: 54 kDa
Host/IsotypeRabbit IgG
Antibody TypePrimary antibody
StorageStore at 4°C short term. Aliquot and store at -20°C long term. Avoid freeze/thaw cycles.
Species ReactivityHuman,Mouse,Rat
ImmunogenRecombinant protein of human CELF-2
FormulationPurified antibody in TBS with 0.05% sodium azide,0.05%BSA and 50% glycerol.

+ +

参考文献

以下是关于CELF2抗体的3篇文献参考(基于模拟数据):

1. **文献名称**:*CELF2 regulates RNA splicing during cardiac development*

**作者**:Wang L, et al.

**摘要**:研究利用CELF2抗体探究CELF2蛋白在小鼠心脏发育中的功能,发现其通过调控心肌细胞中关键RNA剪接事件影响心脏形态发生。

2. **文献名称**:*Downregulation of CELF2 in prostate cancer correlates with tumor progression*

**作者**:Kim S, et al.

**摘要**:通过CELF2抗体进行免疫组化分析,发现CELF2在前列腺癌组织中表达显著下调,且与患者不良预后相关,提示其可能作为抑癌因子发挥作用。

3. **文献名称**:*CELF2 antibody validation for cross-species reactivity in neuronal models*

**作者**:Garcia-Reyes M, et al.

**摘要**:验证了CELF2抗体在小鼠、斑马鱼及人类神经元细胞中的特异性,确认其可用于跨物种研究,并揭示了CELF2在突触可塑性中的潜在调控机制。

(注:以上文献为模拟生成,实际研究中请通过PubMed或专业数据库核实具体文献。)

背景信息

The CELF2 antibody is a crucial tool for studying the CELF (CUGBP Elav-like family) protein family, particularly the CELF2 protein (also known as BRUNOL3 or NAPOR). CELF2 is an RNA-binding protein involved in post-transcriptional gene regulation, including mRNA splicing, editing, stability, and translation. It plays vital roles in neuronal development, cardiac function, and circadian rhythm regulation. Dysregulation of CELF2 has been linked to neurological disorders, heart diseases, and cancers, making it a focus of molecular and clinical research.

CELF2 antibodies are primarily used in techniques like Western blotting, immunohistochemistry, and immunoprecipitation to detect protein expression, localization, and interactions. These antibodies help researchers investigate CELF2's tissue-specific functions, particularly its dual roles in neurodevelopment (via alternative splicing in the brain) and cardiac conduction system maintenance. Studies utilizing CELF2 antibodies have revealed its involvement in conditions such as myotonic dystrophy, autism spectrum disorders, and arrhythmias. Commercial CELF2 antibodies are typically developed in rabbit or mouse hosts, validated for specificity against human, mouse, or rat samples. Recent research highlights its potential as a biomarker in cancers, where altered CELF2 expression correlates with tumor progression and patient prognosis.

客户数据及评论

折叠内容

大包装询价

×