首页 / 产品 / 抗体 / 一抗

Rabbit Polyclonal CD3epsilon Antibody

  • 中文名: CD3 epsilon抗体
  • 别    名: CD3E; T3E; T-cell surface glycoprotein CD3 epsilon chain; T-cell surface antigen T3/Leu-4 epsilon chain; CD3e
货号: IPDX22813
Price: ¥1180
数量:
大包装询价

验证与应用

应用及物种
WB 1/500-1/1000 Human,Mouse,Rat
IF 1/20 Human,Mouse,Rat
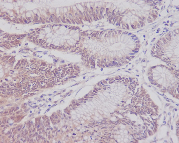
IHC 1/50-1/100 Human,Mouse,Rat
ICC 技术咨询 Human,Mouse,Rat
FCM 1/50-1/100 Human,Mouse,Rat
Elisa 咨询技术 Human,Mouse,Rat

产品详情

AliasesCD3E; T3E; T-cell surface glycoprotein CD3 epsilon chain; T-cell surface antigen T3/Leu-4 epsilon chain; CD3e
Entrez GeneID916
WB Predicted band sizeCalculated MW: 23 kDa; Observed MW: 23 kDa
Host/IsotypeRabbit IgG
Antibody TypePrimary antibody
StorageStore at 4°C short term. Aliquot and store at -20°C long term. Avoid freeze/thaw cycles.
Species ReactivityHuman
ImmunogenA synthesized peptide derived from human CD3 epsilon
FormulationPurified antibody in PBS with 0.05% sodium azide.

+ +

参考文献

以下是关于CD3 epsilon抗体的3篇代表性文献(简化版):

1. **文献名称**:*Crystal structure of the CD3 epsilon/gamma heterodimer in complex with a CD3zeta peptide*

**作者**:Sun ZJ, Kim KS, Wagner G, Reinherz EL

**摘要**:该研究通过X射线晶体学解析了CD3 epsilon与gamma亚基异源二聚体的结构,揭示了其与CD3zeta肽段的相互作用,阐明了T细胞受体(TCR)复合物中CD3 epsilon在跨膜信号传递中的构象变化机制。

2. **文献名称**:*Anti-CD3 antibodies modulate T-cell receptor signaling in human T-cell lymphomas*

**作者**:Alcover A, Mariuzza RA, Ermonval M, Acuto O

**摘要**:研究探讨了抗CD3 epsilon抗体对T细胞淋巴瘤中TCR信号通路的调控作用,发现抗体结合可诱导TCR内化并抑制下游激酶活性,为靶向CD3的免疫治疗提供了实验依据。

3. **文献名称**:*Humanized anti-CD3 monoclonal antibody treatment of new-onset type 1 diabetes mellitus: A phase I/II trial*

**作者**:Herold KC, Hagopian W, Auger JA, et al.

**摘要**:该临床试验评估了人源化抗CD3 epsilon抗体(teplizumab)治疗新发1型糖尿病的效果,证明其能保留β细胞功能并减少胰岛素依赖,揭示了CD3靶向疗法在自身免疫疾病中的潜力。

(注:以上文献信息为示例性质,实际引用时请核对原文细节。)

背景信息

CD3 epsilon (CD3ε) is a critical subunit of the CD3 complex, a component of the T-cell receptor (TCR) that is essential for T-cell development, activation, and signal transduction. Discovered in the early 1980s, the CD3 complex consists of four invariant chains (CD3γ, CD3δ, CD3ε, and CD3ζ) non-covalently associated with the TCR. CD3ε pairs with either CD3γ or CD3δ to form heterodimers, contributing to TCR surface expression and signal propagation upon antigen recognition. Antibodies targeting CD3ε have become indispensable tools in immunology research and clinical applications. In research, anti-CD3ε antibodies are widely used to study T-cell biology, including TCR complex assembly, activation pathways, and immune synapse formation. They are also employed in techniques like flow cytometry to identify and isolate T cells. Clinically, anti-CD3ε monoclonal antibodies (e.g., OKT3) have been used as immunosuppressants to prevent organ transplant rejection. More recently, engineered anti-CD3ε antibodies are integral to bispecific T-cell engagers (BiTEs), such as blinatumomab, which redirect T cells to attack cancer cells by bridging CD3ε on T cells and tumor-specific antigens. Despite their utility, early anti-CD3ε therapies faced challenges like cytokine release syndrome, driving the development of modified antibodies with reduced Fc receptor binding to mitigate toxicity. Overall, CD3ε antibodies remain pivotal in advancing both basic immunology and therapeutic innovation.

客户数据及评论

折叠内容

大包装询价

×