首页 / 产品 / 抗体 / 一抗

Rabbit Polyclonal ABCG2 Antibody

  • 中文名: ABCG2抗体
  • 别    名: ABCG2; ABCP; BCRP; BCRP1; MXR; ATP-binding cassette sub-family G member 2; Breast cancer resistance protein; CDw338; Mitoxantrone resistance-associated protein; Placenta-specific ATP-binding cassette transporter; CD338
货号: IPDX23128
Price: ¥1180
数量:
大包装询价

验证与应用

应用及物种
WB 1/500-1/1000 Human,Mouse,Rat
IF 咨询技术 Human,Mouse,Rat
IHC 1/50-1/100 Human,Mouse,Rat
ICC 技术咨询 Human,Mouse,Rat
FCM 咨询技术 Human,Mouse,Rat
Elisa 1/10000 Human,Mouse,Rat

产品详情

AliasesABCG2; ABCP; BCRP; BCRP1; MXR; ATP-binding cassette sub-family G member 2; Breast cancer resistance protein; CDw338; Mitoxantrone resistance-associated protein; Placenta-specific ATP-binding cassette transporter; CD338
Entrez GeneID9429
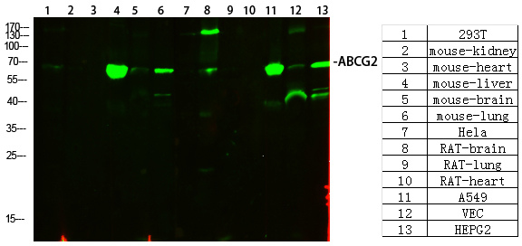
WB Predicted band sizeCalculated MW: 72 kDa; Observed MW: 72 kDa
Host/IsotypeRabbit IgG
Antibody TypePrimary antibody
StorageStore at 4°C short term. Aliquot and store at -20°C long term. Avoid freeze/thaw cycles.
Species ReactivityHuman
ImmunogenThe antiserum was produced against synthesized peptide derived from human ABCG2. AA range:289-338
FormulationPurified antibody in PBS with 0.05% sodium azide,0.5%BSA and 50% glycerol.

+ +

参考文献

以下是3条关于ABCG2抗体的参考文献及其摘要概括:

1. **文献名称**:*"A multidrug resistance transporter from human MCF-7 breast cancer cells"*

**作者**:Doyle LA, Ross DD

**摘要**:该研究首次克隆并鉴定了ABCG2(BCRP)基因,证明其在乳腺癌细胞中通过药物外排介导多药耐药性,并开发了特异性抗体用于检测其表达。

2. **文献名称**:*"Subcellular localization and distribution of the breast cancer resistance protein transporter in normal human tissues"*

**作者**:Maliepaard M et al.

**摘要**:利用ABCG2特异性抗体进行免疫组化分析,揭示了ABCG2在正常组织(如胎盘、肠道和肝脏)中的定位,提示其在生理屏障和药物代谢中的关键作用。

3. **文献名称**:*"Characterization of monoclonal antibodies recognizing the ABCG2 transporter's extracellular domains"*

**作者**:Mohrmann K et al.

**摘要**:研究报道了多个靶向ABCG2胞外结构域的单克隆抗体,验证了其在流式细胞术和免疫荧光中的应用,并证明这些抗体可区分ABCG2的不同构象状态。

4. **文献名称**:*"ABCG2 expression and clinical significance in hematological malignancies"*

**作者**:Nakanishi T, Ross DD

**摘要**:通过ABCG2抗体检测血液肿瘤患者的样本,发现高表达ABCG2与化疗耐药性及预后不良相关,提示其作为治疗靶点的潜力。

这些文献覆盖了ABCG2的功能研究、抗体开发及临床关联,可作为该领域的核心参考。

背景信息

ABCG2. also known as Breast Cancer Resistance Protein (BCRP), is a member of the ATP-binding cassette (ABC) transporter superfamily. It functions as a transmembrane efflux pump, utilizing ATP hydrolysis to transport a wide range of endogenous and exogenous substrates, including chemotherapeutic agents, toxins, and metabolic byproducts. ABCG2 is expressed in barrier and excretory tissues (e.g., placenta, blood-brain barrier, liver, intestine) where it plays a role in xenobiotic protection and drug disposition. Its overexpression in cancer cells is associated with multidrug resistance (MDR), limiting therapeutic efficacy.

ABCG2 antibodies are essential tools for detecting and quantifying ABCG2 expression in research and diagnostics. They are widely used in techniques like Western blotting, immunohistochemistry (IHC), and flow cytometry to study ABCG2 localization, regulation, and function in normal tissues and malignancies. Specific monoclonal antibodies, such as clone 5D3 or BXP-53. target distinct extracellular epitopes, enabling precise detection across experimental models. These antibodies also aid in identifying ABCG2-positive cancer stem cells (CSCs), which are linked to tumor recurrence and therapy resistance.

Recent studies utilize ABCG2 antibodies to explore its roles beyond oncology, including stem cell differentiation, urate excretion in gout, and nanoparticle drug delivery. Validation of antibody specificity remains critical due to homology among ABC transporters and potential cross-reactivity. Overall, ABCG2 antibodies are pivotal in advancing research on drug resistance mechanisms and developing targeted therapies to inhibit ABCG2-mediated efflux activity.

客户数据及评论

折叠内容

大包装询价

×