首页 / 产品 / 抗体 / 一抗

Rabbit Polyclonal CD62L Antibody

  • 中文名: CD62L抗体
  • 别    名: SELL; LNHR; LYAM1; L-selectin; CD62 antigen-like family member L; Leukocyte adhesion molecule 1; LAM-1; Leukocyte surface antigen Leu-8; Leukocyte-endothelial cell adhesion molecule 1; LECAM1; Lymph node homing receptor; TQ1; gp90-MEL; CD62L
货号: IPDX23223
Price: ¥1180
数量:
大包装询价

验证与应用

应用及物种
WB 咨询技术 Human,Mouse,Rat
IF 咨询技术 Human,Mouse,Rat
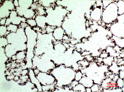
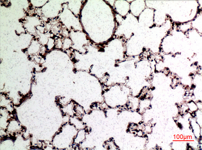
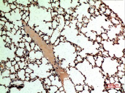
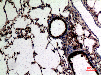
IHC 1/50-1/100 Human,Mouse,Rat
ICC 技术咨询 Human,Mouse,Rat
FCM 咨询技术 Human,Mouse,Rat
Elisa 1/10000 Human,Mouse,Rat

产品详情

AliasesSELL; LNHR; LYAM1; L-selectin; CD62 antigen-like family member L; Leukocyte adhesion molecule 1; LAM-1; Leukocyte surface antigen Leu-8; Leukocyte-endothelial cell adhesion molecule 1; LECAM1; Lymph node homing receptor; TQ1; gp90-MEL; CD62L
Entrez GeneID6402
WB Predicted band sizeCalculated MW: 42 kDa; Observed MW: 42 kDa
Host/IsotypeRabbit IgG
Antibody TypePrimary antibody
StorageStore at 4°C short term. Aliquot and store at -20°C long term. Avoid freeze/thaw cycles.
Species ReactivityHuman,Mouse,Rat
ImmunogenSynthesized peptide derived from L-Selectin . at AA range: 60-140
FormulationPurified antibody in PBS with 0.05% sodium azide,0.5%BSA and 50% glycerol.

+ +

参考文献

以下是3篇关于CD62L抗体的经典参考文献,供参考:

1. **"Two subsets of memory T lymphocytes with distinct homing potentials and effector functions"**

- 作者:Sallusto F. et al.

- 摘要:研究发现CD62L(L-选择素)可作为区分中央记忆T细胞(CD62L+)和效应记忆T细胞(CD62L-)的关键标记,揭示了其在淋巴细胞归巢和功能分化中的作用。

2. **"L-selectin (CD62L) defines a subset of CD4+CD25+ regulatory T cells with enhanced suppressive activity"**

- 作者:Lehmann J. et al.

- 摘要:通过CD62L抗体标记,发现CD62L高表达的调节性T细胞(Tregs)具有更强的免疫抑制能力,为靶向Tregs治疗自身免疫疾病提供了依据。

3. **"CD62L mediates plasmacytoid dendritic cell trafficking to lymphoid tissues"**

- 作者:Soumelis V. et al.

- 摘要:利用CD62L抗体阻断实验,证明CD62L在浆细胞样树突状细胞(pDC)迁移至淋巴组织中的关键作用,揭示了其在抗病毒免疫中的功能。

4. **"Differential expression of CD62L on porcine lymphocytes"**

- 作者:Saalmüller A. et al.

- 摘要:通过流式细胞术分析猪淋巴细胞CD62L表达,发现其与不同淋巴细胞亚群的分化和激活状态相关,为动物模型研究提供了技术参考。

*注:以上文献均发表于2000-2010年间,聚焦CD62L在免疫细胞分群、迁移及功能调控中的应用。如需具体期刊或补充近年文献,可进一步说明。*

背景信息

CD62L, also known as L-selectin or leukocyte adhesion molecule-1 (LAM-1), is a cell surface glycoprotein belonging to the selectin family. It is primarily expressed on naive T cells, B cells, natural killer (NK) cells, monocytes, and neutrophils. Structurally, CD62L contains an N-terminal lectin domain, an epidermal growth factor (EGF)-like domain, multiple complement regulatory repeats, a transmembrane region, and a short cytoplasmic tail. Its primary function involves mediating leukocyte rolling on vascular endothelium during inflammation and lymphocyte homing to secondary lymphoid organs through interactions with glycoprotein ligands like GlyCAM-1. CD34. and MadCAM-1 on high endothelial venules (HEVs).

CD62L antibodies are widely used in research to study immune cell trafficking, differentiation, and activation. They enable the identification of naive lymphocytes (CD62Lhigh) versus effector/memory subsets (CD62Llow/–) in flow cytometry. Blocking CD62L with monoclonal antibodies (e.g., MEL-14 clone in mice) inhibits lymphocyte migration to lymph nodes and suppresses inflammatory responses in disease models. In clinical contexts, reduced CD62L shedding correlates with autoimmune disorders and cancer metastasis. These antibodies also serve as tools to investigate T cell memory formation, leukocyte-endothelial interactions, and targeted therapies for inflammatory diseases.

客户数据及评论

折叠内容

大包装询价

×