| WB | 咨询技术 | Human,Mouse,Rat |
| IF | 咨询技术 | Human,Mouse,Rat |
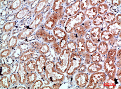
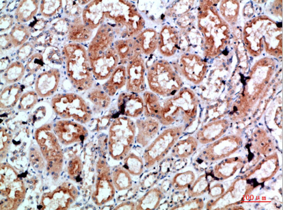
| IHC | 1/50-1/100 | Human,Mouse,Rat |
| ICC | 技术咨询 | Human,Mouse,Rat |
| FCM | 咨询技术 | Human,Mouse,Rat |
| Elisa | 1/10000 | Human,Mouse,Rat |
| Aliases | Perforin-1; P1; Cytolysin; Lymphocyte pore-forming protein; PFP |
| Entrez GeneID | 5551 |
| WB Predicted band size | Calculated MW: 61 kDa; Observed MW: 61 kDa |
| Host/Isotype | Rabbit IgG |
| Antibody Type | Primary antibody |
| Storage | Store at 4°C short term. Aliquot and store at -20°C long term. Avoid freeze/thaw cycles. |
| Species Reactivity | Human |
| Immunogen | The antiserum was produced against synthesized peptide derived from the C-terminal region of human PRF1. AA range:451-500 |
| Formulation | Purified antibody in PBS with 0.05% sodium azide,0.5%BSA and 50% glycerol. |
+ +
以下是关于Perforin抗体的3篇代表性文献及其摘要概括:
1. **文献名称**:*"Isolation of a lytic, pore-forming protein (perforin) from cytolytic T-lymphocytes"*
**作者**:Podack E.R., Dennert G.
**摘要**:该研究首次从细胞毒性T淋巴细胞(CTL)中分离出穿孔素(perforin),证实其能在靶细胞膜上形成孔道,介导细胞毒性作用,为理解CTL/NK细胞杀伤机制奠定了基础。
2. **文献名称**:*"Perforin gene defects in familial hemophagocytic lymphohistiocytosis"*
**作者**:Stepp S.E., et al.
**摘要**:本文揭示了PRF1基因突变导致穿孔素功能缺陷,是家族性噬血细胞性淋巴组织细胞增多症(FHL)的主要病因,强调了穿孔素抗体在诊断该遗传性疾病中的临床价值。
3. **文献名称**:*"Mechanisms of perforin-dependent cell-mediated cytotoxicity"*
**作者**:Voskoboinik I., et al.
**摘要**:通过特异性抗体阻断实验,阐明了穿孔素与颗粒酶协同作用的分子机制,证明其在肿瘤免疫监视和自身免疫疾病中的双重调控作用。
**注**:上述文献为领域内经典研究,实际引用时建议通过PubMed或学术数据库核对详细信息。
Perforin, a pore-forming protein encoded by the *PRF1* gene, plays a critical role in immune-mediated cytotoxicity. Produced primarily by cytotoxic T lymphocytes (CTLs) and natural killer (NK) cells, perforin facilitates the delivery of pro-apoptotic granzymes into target cells during immune responses against infected or malignant cells. Upon release, perforin oligomerizes on the target cell membrane, forming pores that disrupt membrane integrity and allow granzymes to enter, triggering caspase-dependent apoptosis. Dysregulation of perforin function is linked to immune disorders, including familial hemophagocytic lymphohistiocytosis (FHL type 2) and susceptibility to certain infections or cancers.
Anti-perforin antibodies are essential tools in research and diagnostics. They enable the detection and quantification of perforin expression in immune cells, aiding studies on cytotoxic activity, immune cell function, and disease mechanisms. In clinical settings, these antibodies help diagnose perforin deficiency syndromes, often via flow cytometry or immunohistochemistry. Additionally, they contribute to understanding autoimmune conditions and graft rejection, where aberrant perforin activity may drive tissue damage. Recent advancements in monoclonal antibody technology have improved specificity, supporting targeted therapies and biomarker discovery. However, challenges remain in standardizing assays and interpreting perforin expression variability across cell types and pathological contexts.
×