首页 / 产品 / 抗体 / 一抗

Rabbit Polyclonal Laminingamma2 Antibody

  • 中文名: Laminin gamma 2抗体
  • 别    名: LAMC2; LAMB2T; LAMNB2; Laminin subunit gamma-2; Cell-scattering factor 140 kDa subunit; CSF 140 kDa subunit; Epiligrin subunit gamma; Kalinin subunit gamma; Kalinin/nicein/epiligrin 100 kDa subunitLadsin 140 kDa subunit; Laminin B2t chain; Laminin-5 subun
货号: IPDX23249
Price: ¥1180
数量:
大包装询价

验证与应用

应用及物种
WB 咨询技术 Human,Mouse,Rat
IF 咨询技术 Human,Mouse,Rat
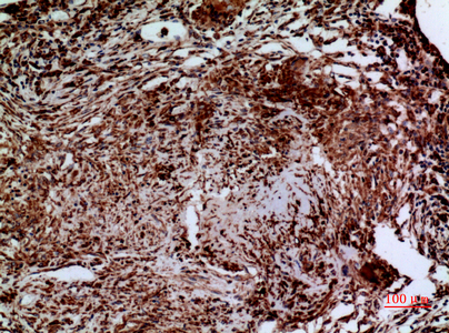
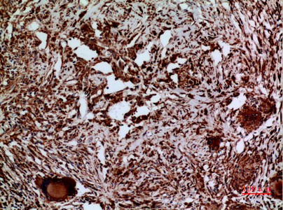
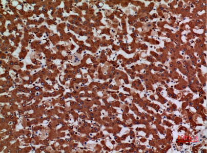
IHC 1/50-1/100 Human,Mouse,Rat
ICC 技术咨询 Human,Mouse,Rat
FCM 咨询技术 Human,Mouse,Rat
Elisa 1/10000 Human,Mouse,Rat

产品详情

AliasesLAMC2; LAMB2T; LAMNB2; Laminin subunit gamma-2; Cell-scattering factor 140 kDa subunit; CSF 140 kDa subunit; Epiligrin subunit gamma; Kalinin subunit gamma; Kalinin/nicein/epiligrin 100 kDa subunitLadsin 140 kDa subunit; Laminin B2t chain; Laminin-5 subunit gamma; Large adhesive scatter factor 140 kDa subunit; Nicein subunit gamma
Entrez GeneID3918
WB Predicted band sizeCalculated MW: 131 kDa; Observed MW: 135 kDa
Host/IsotypeRabbit IgG
Antibody TypePrimary antibody
StorageStore at 4°C short term. Aliquot and store at -20°C long term. Avoid freeze/thaw cycles.
Species ReactivityHuman,Rat
ImmunogenThe antiserum was produced against synthesized peptide derived from the C-terminal region of human LAMC2. AA range:1021-1070
FormulationPurified antibody in PBS with 0.05% sodium azide,0.5%BSA and 50% glycerol.

+ +

参考文献

以下是关于Laminin gamma 2(LAMC2)抗体的3篇代表性文献,按研究领域分类简要概括:

---

1. **文献名称**:*Laminin-5 gamma 2 chain expression correlates with invasiveness in squamous cell carcinomas of the head and neck*

**作者**:K. Sugiyama et al.

**摘要**:研究利用Laminin gamma 2抗体通过免疫组化分析头颈部鳞癌组织,发现其高表达与肿瘤侵袭性和不良预后相关,提示其可作为癌症转移的潜在标志物。

---

2. **文献名称**:*Monoclonal antibodies against laminin gamma 2 chain inhibit cell adhesion and migration*

**作者**:M. Aumailley et al.

**摘要**:开发了特异性靶向Laminin gamma 2的单克隆抗体,证明其可阻断肿瘤细胞与基底膜的黏附,抑制细胞迁移,为抗肿瘤治疗提供实验依据。

---

3. **文献名称**:*Laminin gamma 2 mediates Wnt5a-induced epithelial cell invasion*

**作者**:S. Yamamoto et al.

**摘要**:通过抗体阻断实验揭示Laminin gamma 2在Wnt5a信号通路中的作用,发现其促进上皮细胞间质转化(EMT)并增强肿瘤微环境中的侵袭能力。

---

**扩展方向**:

- 临床应用:LAMC2抗体在癌症诊断(如胃癌、胰腺癌)中的免疫荧光/ELISA应用。

- 机制研究:与整合素互作调控肿瘤转移的分子机制。

若需具体实验方案或最新研究(如单细胞测序中LAMC2+细胞群分析),可进一步补充。

背景信息

Laminin gamma 2 (LAMC2) is a critical subunit of laminins, a family of extracellular matrix glycoproteins essential for tissue structure, cell adhesion, and signaling. It forms heterotrimers with alpha (e.g., α3. α5) and beta (e.g., β3) chains to create distinct laminin isoforms, notably laminin-332 (formerly laminin-5) and laminin-521. Laminin-332. containing the gamma 2 subunit, is a key component of epithelial basement membranes, playing pivotal roles in cell migration, wound healing, and tissue repair. Dysregulation of LAMC2 is linked to pathological conditions, including cancer progression, where its overexpression in tumor cells promotes invasion, metastasis, and resistance to therapy by enhancing extracellular matrix remodeling and cell motility.

Antibodies targeting LAMC2 are vital tools for studying its expression, localization, and function in both normal and diseased tissues. These antibodies enable detection via techniques like immunohistochemistry (IHC), immunofluorescence (IF), and Western blotting (WB), aiding research on epithelial integrity, tumor microenvironment interactions, and metastatic mechanisms. They are also explored as diagnostic or prognostic biomarkers in cancers (e.g., squamous cell carcinoma, breast cancer) and for evaluating therapeutic targets. Validation of LAMC2 antibodies requires specificity checks due to structural similarities among laminin subunits. Their applications span basic research, clinical diagnostics, and drug development, underscoring their importance in understanding extracellular matrix biology and disease pathogenesis.

客户数据及评论

折叠内容

大包装询价

×