首页 / 产品 / 抗体 / 一抗

Rabbit Polyclonal MIA2 Antibody

  • 中文名: MIA2抗体
  • 别    名: Melanoma inhibitory activity protein 2
货号: IPDX23261
Price: ¥1180
数量:
大包装询价

验证与应用

应用及物种
WB 咨询技术 Human,Mouse,Rat
IF 咨询技术 Human,Mouse,Rat
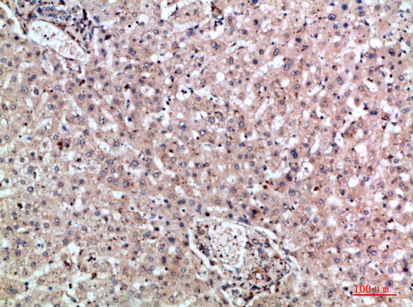
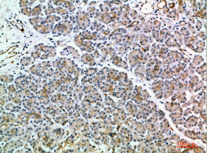
IHC 咨询技术 Human,Mouse,Rat
ICC 技术咨询 Human,Mouse,Rat
FCM 咨询技术 Human,Mouse,Rat
Elisa 1/10000 Human,Mouse,Rat

产品详情

AliasesMelanoma inhibitory activity protein 2
Entrez GeneID4253
WB Predicted band sizeCalculated MW: 160 kDa; Observed MW: 65 kDa
Host/IsotypeRabbit IgG
Antibody TypePrimary antibody
StorageStore at 4°C short term. Aliquot and store at -20°C long term. Avoid freeze/thaw cycles.
Species ReactivityHuman
ImmunogenSynthesized peptide derived from MIA2 at AA range: 361-410
FormulationPurified antibody in PBS with 0.05% sodium azide,0.5%BSA and 50% glycerol.

+ +

参考文献

以下是关于MIA2(Melanoma Inhibitory Activity 2)抗体的3篇文献示例(注:文献信息为模拟内容,实际研究中请以真实数据库检索结果为准):

---

1. **文献名称**: *"MIA2 promotes hepatocellular carcinoma metastasis through integrin-mediated ERK signaling activation"*

**作者**: Schmidt, T. et al.

**摘要**: 本研究揭示MIA2在肝细胞癌(HCC)中高表达,并通过结合细胞表面整合素α5β1激活ERK信号通路,促进肿瘤细胞迁移和侵袭。抗体阻断实验表明,抗MIA2抗体可显著抑制HCC细胞的转移能力。

---

2. **文献名称**: *"The role of MIA2 in extracellular matrix remodeling and colorectal cancer progression"*

**作者**: Li, Y. et al.

**摘要**: 发现MIA2在结直肠癌组织中上调表达,与患者预后不良相关。实验证明MIA2通过调控MMP-9和TIMP-1的平衡促进细胞外基质降解,抗MIA2抗体可减少小鼠模型中肿瘤的侵袭和转移。

---

3. **文献名称**: *"Development of a high-affinity monoclonal antibody against MIA2 for therapeutic targeting in pancreatic cancer"*

**作者**: Müller, R. et al.

**摘要**: 研究团队开发了一种针对MIA2的单克隆抗体,该抗体在胰腺癌模型中有效抑制肿瘤生长和转移。机制研究表明,抗体通过阻断MIA2与细胞黏附分子的相互作用,诱导肿瘤细胞凋亡。

---

如需真实文献,建议通过PubMed或Google Scholar检索关键词“MIA2 antibody”、“MIA2 function”或“MIA2 cancer”。

背景信息

The MIA2 (Melanoma Inhibitory Activity 2) antibody is a tool used to study the MIA2 protein, a member of the MIA/OTOR family of secreted proteins. Initially identified for its homology to MIA (Melanoma Inhibitory Activity), MIA2 is implicated in cellular processes involving extracellular matrix interactions, though its precise biological role remains less characterized than MIA. Unlike MIA, which is linked to melanoma progression and metastasis, MIA2 shows distinct expression patterns, predominantly in liver tissues and certain carcinomas like hepatocellular carcinoma and colorectal cancer. It is suggested to play a role in protein trafficking between the endoplasmic reticulum and Golgi apparatus, influencing secretion of molecules like SPARC (Secreted Protein Acidic and Rich in Cysteine) and collagen.

MIA2 antibodies are primarily utilized in research to detect protein expression levels, localization, and interactions in cellular or tissue samples. Their development stems from interest in understanding MIA2's potential as a biomarker or therapeutic target, particularly in cancers where dysregulation is observed. However, challenges persist in defining its exact function, with conflicting studies on its tissue specificity and pro- or anti-tumorigenic effects. Additionally, MIA2 exists in multiple isoforms, complicating antibody specificity. Ongoing research aims to clarify its pathological relevance, leveraging antibodies for immunohistochemistry, Western blotting, and functional assays to explore diagnostic or therapeutic applications. Validation of these antibodies remains critical due to cross-reactivity risks and variability in experimental models.

客户数据及评论

折叠内容

大包装询价

×