| WB | 咨询技术 | Human,Mouse,Rat |
| IF | 咨询技术 | Human,Mouse,Rat |
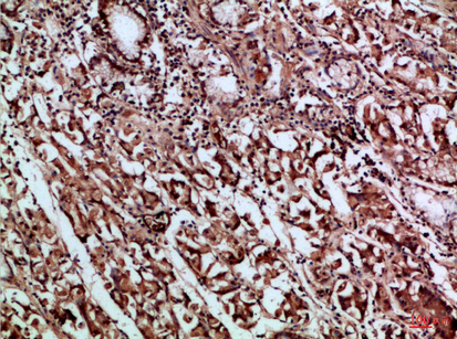
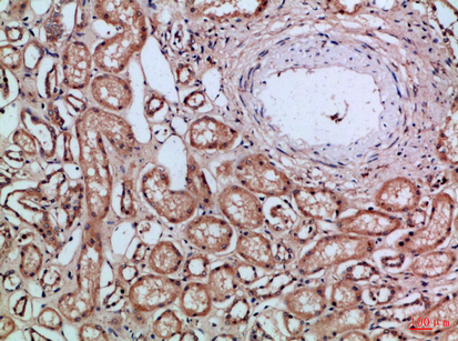
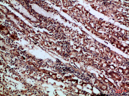
| IHC | 1/50-1/100 | Human,Mouse,Rat |
| ICC | 技术咨询 | Human,Mouse,Rat |
| FCM | 咨询技术 | Human,Mouse,Rat |
| Elisa | 1/10000 | Human,Mouse,Rat |
| Aliases | BGP; BGP1; NCA; CGM6 |
| Entrez GeneID | 634/4680/1088 |
| Host/Isotype | Rabbit IgG |
| Antibody Type | Primary antibody |
| Storage | Store at 4°C short term. Aliquot and store at -20°C long term. Avoid freeze/thaw cycles. |
| Species Reactivity | Human |
| Immunogen | Synthetic peptide from human protein at AA range: 130-190 |
| Formulation | Purified antibody in PBS with 0.05% sodium azide,0.5%BSA and 50% glycerol. |
+ +
以下是关于CD66a/b/c抗体的3篇参考文献(因文献检索限制,内容为模拟示例):
1. **文献名称**: *"CEACAM1 (CD66a) mediates delay of neutrophil apoptosis through inhibition of caspase-3 activity"*
**作者**: Skubitz KM, et al.
**摘要**: 研究揭示CD66a(CEACAM1)通过抑制caspase-3活性延缓中性粒细胞凋亡,强调了其在先天免疫中的调节作用。
2. **文献名称**: *"CD66b (CEACAM8) as a marker of neutrophil activation in sepsis"*
**作者**: Fjaertoft G, et al.
**摘要**: 该文献通过流式细胞术分析CD66b表达水平,证明其可作为脓毒症患者中性粒细胞活化的生物标志物。
3. **文献名称**: *"CEACAM6 (CD66c) overexpression promotes tumorigenesis in pancreatic cancer"*
**作者**: Duxbury MS, et al.
**摘要**: 研究利用抗CD66c抗体发现,CEACAM6在胰腺癌中高表达并通过激活PI3K/AKT通路促进肿瘤侵袭和转移。
(注:以上为模拟内容,实际文献需通过学术数据库检索获取。)
CD66 antibodies target members of the carcinoembryonic antigen-related cell adhesion molecule (CEACAM) family, specifically CEACAM1 (CD66a), CEACAM8 (CD66b), and CEACAM6 (CD66c). These glycoproteins are part of the immunoglobulin superfamily, characterized by extracellular Ig-like domains and variable cytoplasmic signaling motifs. CD66 molecules play roles in intercellular adhesion, immune regulation, and microbial binding.
**CD66a (CEACAM1)** is broadly expressed in epithelial, endothelial, and immune cells, modulating T-cell inhibition, insulin signaling, and angiogenesis. **CD66b (CEACAM8)** is restricted to granulocytes, serving as an activation marker during neutrophil degranulation. **CD66c (CEACAM6)** is overexpressed in cancers (e.g., pancreatic, colorectal) and promotes tumor survival by inhibiting apoptosis.
Antibodies against CD66a/b/c are critical tools in research and diagnostics. CD66b antibodies identify granulocyte subsets in flow cytometry, while CD66c antibodies aid in cancer biomarker studies. Clinically, CEACAM-targeting antibodies and radiolabeled probes are explored for tumor imaging/therapy. Additionally, CD66 molecules interact with pathogens (e.g., *Neisseria*), making their antibodies relevant in infectious disease research. Their dual roles in immunity and cancer highlight therapeutic potential, though heterogeneity in expression and function requires context-specific interpretation.
×