首页 / 产品 / 抗体 / 一抗

Rabbit Polyclonal Cytokeratin18 Antibody

  • 中文名: Cytokeratin 18抗体
  • 别    名: CK18; CYK18; KRT18
货号: IPDX23520
Price: ¥1180
数量:
大包装询价

验证与应用

应用及物种
WB 咨询技术 Human,Mouse,Rat
IF 咨询技术 Human,Mouse,Rat
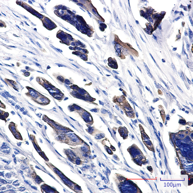
IHC 1/50-1/100 Human,Mouse,Rat
ICC 1/50-1/200 Human,Mouse,Rat
FCM 1/50-1/100 Human,Mouse,Rat
Elisa 咨询技术 Human,Mouse,Rat

产品详情

AliasesCK18; CYK18; KRT18
Entrez GeneID16668
WB Predicted band sizeCalculated MW: 48 kDa; Observed MW: 48 kDa
Host/IsotypeRabbit IgG
Antibody TypePrimary antibody
StorageStore at 4°C short term. Aliquot and store at -20°C long term. Avoid freeze/thaw cycles.
Species ReactivityHuman
ImmunogenRecombinant protein of mouse Cytokeratin 18
FormulationPurified antibody in TBS with 0.05% sodium azide,0.05%BSA and 50% glycerol.

+ +

参考文献

以下是关于Cytokeratin 18抗体的3篇代表性文献及其摘要概括:

1. **文献名称**:*"Detection of apoptotic cells in human colorectal cancer by two-parameter flow cytometry using cytokeratin 18 and Annexin V*"

**作者**:Schutte B, et al.

**摘要**:研究利用Cytokeratin 18抗体(M30)联合Annexin V通过流式细胞术检测结直肠癌细胞凋亡,验证了Cytokeratin 18裂解片段作为凋亡标志物的特异性,并证明其优于传统凋亡检测方法。

2. **文献名称**:*"Cytokeratin 18 expression in human tumors: a tissue microarray study on 11.000 tumors*"

**作者**:Leers MPG, et al.

**摘要**:通过组织芯片技术分析11.000例肿瘤样本中Cytokeratin 18的表达,发现其在上皮源性肿瘤(如乳腺癌、肺癌)中高表达,且与肿瘤分化程度和患者预后相关,支持其作为上皮细胞分化标志物的临床价值。

3. **文献名称**:*"Characterization of monoclonal antibodies to human cytokeratin 18: comparison of commercial clones for apoptosis studies*"

**作者**:Oshima RG, et al.

**摘要**:系统性评估了多种市售Cytokeratin 18抗体(如M30和M65克隆)的性能,发现不同抗体对全长或裂解型Cytokeratin 18的检测敏感性差异显著,强调了抗体选择对凋亡或坏死研究结果的影响。

4. **文献名称**:*"Single-cell RNA sequencing reveals cytokeratin 18 as a biomarker for circulating tumor cells in hepatocellular carcinoma*"

**作者**:Saviana M, et al.

**摘要**:结合单细胞测序和免疫荧光,证实Cytokeratin 18抗体可特异性识别肝癌患者外周血中的循环肿瘤细胞(CTCs),为液体活检提供了高灵敏度的检测靶点。

背景信息

Cytokeratin 18 (CK18) is a type I intermediate filament protein belonging to the cytokeratin family, which forms essential structural components of epithelial cell cytoskeletons. As an acidic keratin, it pairs with its basic counterpart, cytokeratin 8 (CK8), to assemble into heteropolymeric filaments that maintain cellular integrity and mechanical resilience. CK18 is predominantly expressed in simple and glandular epithelial tissues, including liver, pancreas, and gastrointestinal tract, making it a key marker for identifying epithelial-derived cells and tumors.

Antibodies targeting CK18 are widely utilized in diagnostic pathology and research. In cancer diagnostics, CK18 antibodies help detect epithelial malignancies (e.g., carcinomas) through immunohistochemistry, distinguishing them from non-epithelial tumors. Additionally, CK18 undergoes caspase-mediated cleavage during apoptosis, generating a neoepitope (M30 antigen) recognized by specific antibodies. This feature enables CK18-based assays to quantify apoptotic activity in conditions like liver injury, neurodegenerative diseases, or chemotherapy response monitoring. Elevated levels of cleaved CK18 in serum have also been explored as potential biomarkers for epithelial damage or tumor progression.

Recent studies further link CK18 mutations or altered expression to diseases such as cryptogenic cirrhosis and certain cancers, underscoring its biological and clinical relevance. Its tissue-specific expression and apoptosis-related modifications continue to drive interest in CK18-targeting antibodies for both mechanistic studies and translational applications.

客户数据及评论

折叠内容

大包装询价

×