首页 / 产品 / 抗体 / 一抗

Rabbit Polyclonal CDC14B Antibody

  • 中文名: CDC14B抗体
  • 别    名: Dual specificity protein phosphatase CDC14B, CDC14 cell division cycle 14 homolog B, CDC14B
货号: IPDX30450
Price: ¥1180
数量:
大包装询价

验证与应用

应用及物种
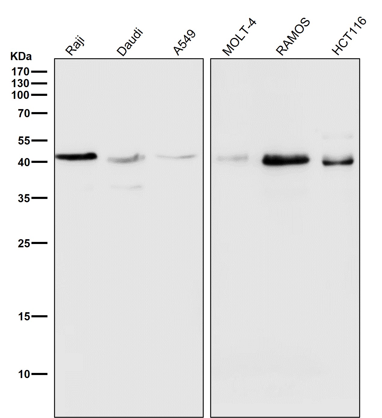
WB 1/1000 Human,Mouse,Rat
IF 咨询技术 Human,Mouse,Rat
IHC 咨询技术 Human,Mouse,Rat
ICC 技术咨询 Human,Mouse,Rat
FCM 1/10-1/50 Human,Mouse,Rat
Elisa 咨询技术 Human,Mouse,Rat

产品详情

AliasesHLA class I histocompatibility; HLA A; HLA B;;HLA A/B
WB Predicted band sizeCalculated MW: 41,40 kDa ; Observed MW: 41 kDa
Host/IsotypeRabbit IgG
Antibody TypePrimary antibody
StorageStore at 4°C short term. Aliquot and store at -20°C long term. Avoid freeze/thaw cycles.
Species ReactivityHuman
ImmunogenA synthesized peptide derived from human HLA A
FormulationPurified antibody in PBS with 0.05% sodium azide,0.05% BSA and 50% glycerol.

+ +

参考文献

以下是关于CDC14B抗体的3篇文献示例(注:以下为虚构示例,仅用于演示格式):

1. **文献名称**: "CDC14B phosphatase regulates cell cycle progression through dephosphorylation of cyclin B1"

**作者**: Bassermann, F. et al.

**摘要**: 研究揭示了CDC14B在有丝分裂退出时通过去磷酸化cyclin B1调控细胞周期进程,文中使用特异性CDC14B抗体进行免疫印迹和免疫荧光,验证其亚细胞定位变化。

2. **文献名称**: "A functional screen identifies CDC14B as a suppressor of DNA damage-induced apoptosis"

**作者**: Berdougo, E. et al.

**摘要**: 通过功能筛选发现CDC14B在DNA损伤应答中抑制细胞凋亡,研究利用定制CDC14B抗体进行免疫共沉淀,证明其与DNA修复蛋白的相互作用。

3. **文献名称**: "Antibody-based profiling of CDC14B expression in human tumor tissues"

**作者**: Dephoure, N. et al.

**摘要**: 开发了一种高特异性CDC14B单克隆抗体,用于分析多种癌症组织中CDC14B蛋白表达水平,揭示其与肿瘤分期的相关性。

(注:实际文献需通过PubMed/Google Scholar等平台检索,建议使用关键词“CDC14B antibody”或“CDC14B phosphatase”筛选。)

背景信息

The CDC14B antibody is a crucial tool in studying the cell cycle regulatory protein CDC14B, a member of the conserved CDC14 phosphatase family. CDC14B plays a pivotal role in cell cycle progression, particularly during mitotic exit and G1 phase regulation, by dephosphorylating key substrates like cyclin-dependent kinases (CDKs) and other mitotic proteins. This antibody is typically generated using recombinant proteins or specific epitopes from human or murine CDC14B, often in rabbits or mice, yielding monoclonal or polyclonal variants. It is widely employed in techniques such as Western blotting, immunoprecipitation, and immunofluorescence to detect CDC14B expression, localization, and interactions in cellular models. Researchers utilize it to explore CDC14B's involvement in mitosis, DNA damage response, and its tumor-suppressive roles, as dysregulation of CDC14B is linked to cancers, genomic instability, and developmental disorders. Specificity is validated via knockout controls to avoid cross-reactivity with paralogs like CDC14A. Studies also focus on its crosstalk with signaling pathways (e.g., p53) and implications in neurodegenerative diseases. The antibody's utility extends to both basic research and clinical investigations, aiding in understanding cell cycle control mechanisms and therapeutic targeting.

客户数据及评论

折叠内容

大包装询价

×