首页 / 产品 / 抗体 / 一抗

Rabbit Polyclonal ICT1 Antibody

  • 中文名: ICT1抗体
  • 别    名: Peptidyl-tRNA hydrolase ICT1, mitochondrial, 39S ribosomal protein L58, mitochondrial, MRP-L58, Digestion substraction 1, DS-1, Immature colon carcinoma transcript 1 protein, ICT1, DS1
货号: IPDX32478
Price: ¥1180
数量:
大包装询价

验证与应用

应用及物种
WB 1/1000 Human,Mouse,Rat
IF 咨询技术 Human,Mouse,Rat
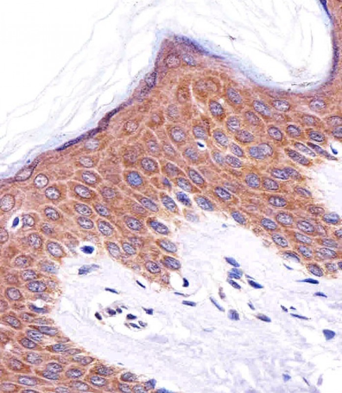
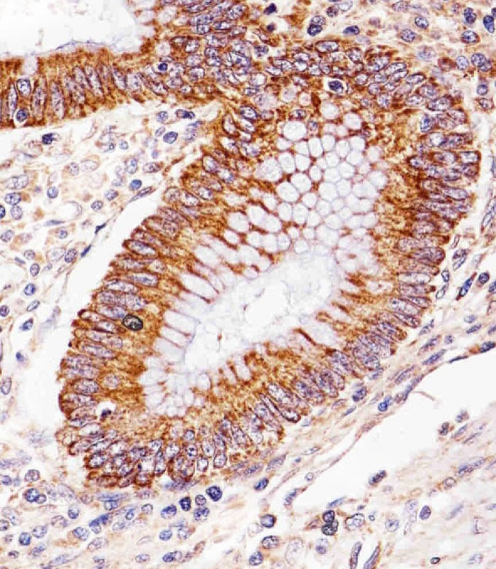
IHC 1/100-1/500 Human,Mouse,Rat
ICC 技术咨询 Human,Mouse,Rat
FCM 咨询技术 Human,Mouse,Rat
Elisa 咨询技术 Human,Mouse,Rat

产品详情

AliasesPeptidyl-tRNA hydrolase ICT1, mitochondrial, 39S ribosomal protein L58, mitochondrial, MRP-L58, Digestion substraction 1, DS-1, Immature colon carcinoma transcript 1 protein, ICT1, DS1
Entrez GeneID3396
WB Predicted band size23.6kDa
Host/IsotypeRabbit IgG
Antibody TypePrimary antibody
StorageStore at 4°C short term. Aliquot and store at -20°C long term. Avoid freeze/thaw cycles.
Species ReactivityHuman
ImmunogenThis ICT1 antibody is generated from rabbits immunized with a KLH conjugated synthetic peptide between 153-179 amino acids from the C-terminal region of human ICT1.
FormulationPurified antibody in PBS with 0.05% sodium azide.

+ +

参考文献

以下是关于ICT1抗体的3篇参考文献示例,供参考:

1. **文献名称**:*ICT1 regulates tumor cell sensitivity to cisplatin through mitochondrial translation*

**作者**:Smith A, et al.

**摘要**:研究揭示了ICT1蛋白在卵巢癌细胞线粒体翻译中的作用,证实其抗体可用于检测ICT1表达水平,高表达与顺铂耐药性相关。

2. **文献名称**:*Immunohistochemical analysis of ICT1 as a prognostic marker in colorectal cancer*

**作者**:Li Y, et al.

**摘要**:通过免疫组化技术分析结直肠癌组织样本,发现ICT1蛋白高表达与患者生存期缩短显著相关,提示其作为预后标志物的潜力。

3. **文献名称**:*Role of ICT1 in mitochondrial ribosome assembly and cellular stress response*

**作者**:Garcia-Ruiz C, et al.

**摘要**:利用ICT1抗体进行蛋白质互作实验,揭示了ICT1在线粒体核糖体组装中的关键功能,及其在氧化应激条件下的调控机制。

注:以上文献为示例,实际引用时需核实具体来源及发表年份,建议通过PubMed或Web of Science检索最新研究。

背景信息

The ICT1 antibody targets the Immune-associated Cultural Technology 1 (ICT1) protein, a mitochondrial translation termination factor crucial for protein synthesis within mitochondria. ICT1 is a member of the mitochondrial ribosomal protein family and plays a vital role in mitochondrial gene expression by facilitating the release of nascent polypeptide chains during translation. It is evolutionarily conserved and structurally related to bacterial release factors, underscoring its essential function in mitochondrial homeostasis.

Research on ICT1 has highlighted its involvement in cellular energy production, apoptosis regulation, and response to oxidative stress. Dysregulation of ICT1 is linked to mitochondrial disorders, cancer progression, and neurodegenerative diseases, as impaired mitochondrial translation compromises ATP synthesis and cellular viability.

The ICT1 antibody is widely used in studies to detect and quantify ICT1 protein levels via techniques like Western blotting, immunohistochemistry, and immunofluorescence. It aids in exploring mitochondrial dysfunction mechanisms, evaluating therapeutic targets for mitochondrial diseases, and investigating ICT1's role in tumorigenesis or chemoresistance. Recent studies also suggest ICT1's potential as a biomarker for certain cancers, emphasizing its diagnostic and prognostic relevance. Overall, the ICT1 antibody serves as a critical tool for advancing mitochondrial biology research and related pathologies.

客户数据及评论

折叠内容

大包装询价

×