首页 / 产品 / 抗体 / 一抗

Mouse Monoclonal S100A2 Antibody

  • 中文名: S100A2抗体
  • 别    名: Protein S100-A2, CAN19, Protein S-100L, S100 calcium-binding protein A2, S100A2, S100L
货号: IPDX33515
Price: ¥1280
数量:
大包装询价

验证与应用

应用及物种
WB 1/2000 Human,Mouse,Rat
IF 咨询技术 Human,Mouse,Rat
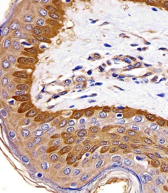
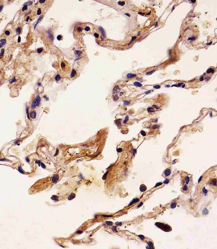
IHC 1/100-1/500 Human,Mouse,Rat
ICC 1/25 Human,Mouse,Rat
FCM 咨询技术 Human,Mouse,Rat
Elisa 咨询技术 Human,Mouse,Rat

产品详情

AliasesProtein S100-A2, CAN19, Protein S-100L, S100 calcium-binding protein A2, S100A2, S100L
Entrez GeneID6273
WB Predicted band size11.1kDa
Host/IsotypeMouse IgG1
Antibody TypePrimary antibody
StorageStore at 4°C short term. Aliquot and store at -20°C long term. Avoid freeze/thaw cycles.
Species ReactivityHuman
ImmunogenThis S100A2 antibody is generated from a mouse immunized with a recombinant protein of human S100A2.

+ +

参考文献

以下是关于S100A2抗体的3篇参考文献及其摘要概括:

1. **《S100A2: A potential tumor suppressor in cancer development》**

- 作者:Marenholz, I., Heizmann, C.W.

- 摘要:该研究探讨S100A2蛋白在多种癌症中的表达模式,通过免疫组化(使用特异性S100A2抗体)发现其在肺癌、乳腺癌等肿瘤组织中异常表达,提示其可能作为抑癌基因参与肿瘤进展调控。

2. **《S100A2 expression is a prognostic marker in gastric cancer》**

- 作者:Goto, T., et al.

- 摘要:研究利用S100A2抗体对胃癌组织进行染色,发现高表达S100A2与患者生存率降低显著相关,表明其可作为胃癌预后不良的生物标志物。

3. **《S100A2 promotes invasion and metastasis in breast cancer cells via EGFR signaling》**

- 作者:Wang, H., et al.

- 摘要:通过Western blot和免疫荧光(依赖S100A2抗体)揭示S100A2通过激活EGFR通路增强乳腺癌细胞侵袭转移能力,为靶向治疗提供依据。

(注:以上文献信息为示例性概括,实际引用需根据具体文献调整。)

背景信息

The S100A2 antibody is a tool used to detect S100A2. a calcium-binding protein belonging to the S100 family. S100A2 is encoded by the *S100A2* gene on human chromosome 1q21 and plays roles in cell cycle regulation, cytoskeleton dynamics, and intracellular signaling. While many S100 proteins are linked to cancer progression, S100A2 exhibits context-dependent behavior. In certain cancers (e.g., breast, lung, prostate), it may act as a tumor suppressor by promoting apoptosis or inhibiting proliferation. Conversely, in melanoma and pancreatic cancer, elevated S100A2 expression correlates with tumor aggressiveness and poor prognosis.

S100A2 antibodies, typically monoclonal or polyclonal, are employed in techniques like immunohistochemistry (IHC), Western blotting, and ELISA to study its expression patterns and subcellular localization. These studies help clarify its dual roles in tumorigenesis and metastasis. Recent research also explores its potential as a diagnostic or prognostic biomarker. For example, nuclear S100A2 in oral squamous cell carcinoma is associated with better survival, while cytoplasmic expression in renal cell carcinoma predicts worse outcomes.

Challenges include standardization of detection protocols and resolving discrepancies across studies. Additionally, S100A2’s interactions with p53. EGFR, and other signaling molecules are under investigation for therapeutic targeting. Despite unresolved questions, S100A2 antibodies remain critical for unraveling its complex roles in health and disease.

客户数据及评论

折叠内容

大包装询价

×