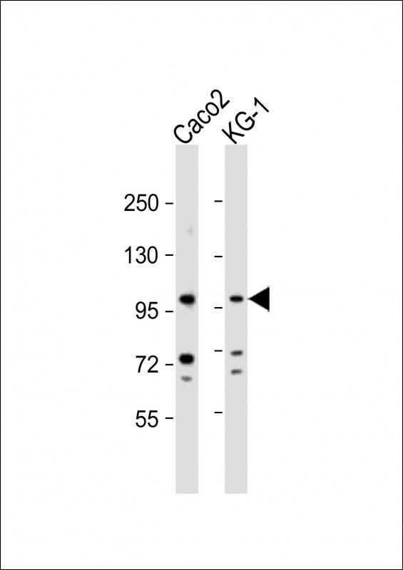
| WB | 1/1000 | Human,Mouse,Rat |
| IF | 咨询技术 | Human,Mouse,Rat |
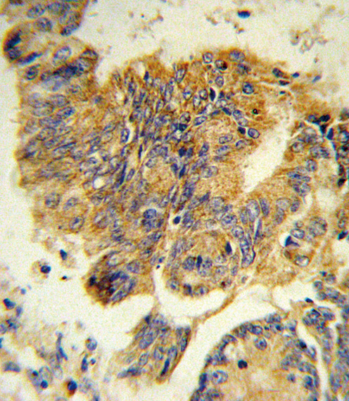
| IHC | 1/100-1/500 | Human,Mouse,Rat |
| ICC | 技术咨询 | Human,Mouse,Rat |
| FCM | 1/10-1/50 | Human,Mouse,Rat |
| Elisa | 咨询技术 | Human,Mouse,Rat |
| Aliases | Granulocyte colony-stimulating factor receptor, G-CSF receptor, G-CSF-R, CD114, CSF3R, GCSFR |
| Entrez GeneID | 1441 |
| WB Predicted band size | 92.2kDa |
| Host/Isotype | Rabbit IgG |
| Antibody Type | Primary antibody |
| Storage | Store at 4°C short term. Aliquot and store at -20°C long term. Avoid freeze/thaw cycles. |
| Species Reactivity | Human |
| Immunogen | This CSF3R antibody is generated from rabbits immunized with a KLH conjugated synthetic peptide between 252-280 amino acids from the Central region of human CSF3R. |
| Formulation | Purified antibody in PBS with 0.05% sodium azide. |
+ +
1. **《CSF3R autoantibodies in chronic neutrophilic leukemia》**
- 作者:Maxson JE 等
- 摘要:该研究首次报道了在部分慢性中性粒细胞白血病(CNL)患者血清中检测到针对CSF3R的自身抗体,提示自身免疫机制可能参与CSF3R信号通路异常激活,为CNL的分子分型及靶向治疗提供新方向。
2. **《Antibody-based detection of CSF3R mutations in myeloid malignancies》**
- 作者:Fleischman AG 等
- 摘要:开发了一种高灵敏度单克隆抗体检测方法,用于识别CSF3R受体胞外段的体细胞突变(如T618I),证实其在骨髓增殖性肿瘤中的诊断价值,并关联突变与JAK-STAT通路异常激活。
3. **《Therapeutic targeting of CSF3R in acute myeloid leukemia》**
- 作者:Dong F 等
- 摘要:通过构建人源化抗CSF3R抗体药物偶联物(ADC),在AML小鼠模型中验证其选择性杀伤CSF3R高表达白血病细胞的能力,为复发/难治性AML提供潜在治疗策略。
4. **《CSF3R extracellular domain-specific antibodies impair neutrophil differentiation》**
- 作者:Skokowa J 等
- 摘要:研究发现针对CSF3R胞外结构域的中和抗体可通过阻断配体结合抑制下游信号,导致中性粒细胞分化停滞,提示其在先天性中性粒细胞减少症中的病理作用及治疗干预可能性。
The CSF3R antibody targets the colony-stimulating factor 3 receptor (CSF3R), a cell-surface protein critical for granulopoiesis and neutrophil function. CSF3R, also known as the granulocyte colony-stimulating factor (G-CSF) receptor, belongs to the cytokine receptor superfamily. It activates downstream signaling pathways, including JAK/STAT and MAPK, upon binding to G-CSF, regulating neutrophil production, differentiation, and survival.
CSF3R mutations are implicated in hematologic malignancies, particularly chronic neutrophilic leukemia (CNL) and atypical chronic myeloid leukemia (aCML). Gain-of-function mutations (e.g., truncations at residue 618) lead to constitutive receptor activation, driving uncontrolled myeloid cell proliferation. Antibodies against CSF3R are thus valuable in research and diagnostics to detect receptor expression, mutation status, or aberrant signaling.
In clinical contexts, CSF3R antibodies may aid in identifying patients with CSF3R-mutated cancers, guiding targeted therapies like JAK inhibitors. Additionally, therapeutic monoclonal antibodies or antibody-drug conjugates targeting CSF3R are under exploration to block oncogenic signaling or deliver cytotoxic agents selectively.
Overall, CSF3R antibodies serve as essential tools for understanding myeloid disorders and developing precision therapies, bridging molecular pathology with translational applications in hematology.
×