首页 / 产品 / 抗体 / 一抗

Rabbit Polyclonal SUMO2/3 Antibody

  • 中文名: SUMO2/3抗体
  • 别    名: Small ubiquitin-related modifier 3, SUMO-3, SMT3 homolog 1 {ECO:0000312|HGNC:HGNC:11124}, SUMO-2, Ubiquitin-like protein SMT3A, Smt3A, SUMO3 (<a href="http://www.genenames.org/cgi-bin/gene_symbol_report?hgnc_id=11124" target="_blank"
货号: IPDX34787
Price: ¥1180
数量:
大包装询价

验证与应用

应用及物种
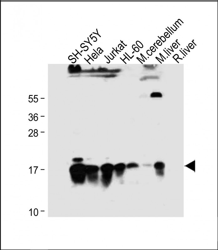
WB 咨询技术 Human,Mouse,Rat
IF 咨询技术 Human,Mouse,Rat
IHC 1/100-1/500 Human,Mouse,Rat
ICC 技术咨询 Human,Mouse,Rat
FCM 咨询技术 Human,Mouse,Rat
Elisa 咨询技术 Human,Mouse,Rat

产品详情

AliasesSmall ubiquitin-related modifier 3, SUMO-3, SMT3 homolog 1 {ECO:0000312|HGNC:HGNC:11124}, SUMO-2, Ubiquitin-like protein SMT3A, Smt3A, SUMO3 (HGNC:11124)
Entrez GeneID6612
WB Predicted band size11.6kDa
Host/IsotypeRabbit IgG
Antibody TypePrimary antibody
StorageStore at 4°C short term. Aliquot and store at -20°C long term. Avoid freeze/thaw cycles.
Species ReactivityHuman, Mouse, Rat
ImmunogenThis SUMO2/3 antibody is generated from rabbits immunized with a KLH conjugated synthetic peptide between 49-81 amino acids from the C-terminal region of human SUMO2/3.
FormulationPurified antibody in PBS with 0.05% sodium azide.

+ +

参考文献

以下是关于SUMO2/3抗体的3篇参考文献的简要概括(文献名称、作者及摘要内容):

1. **文献名称**:*"SUMO2/3 modification of poly-SUMO chains via the SUMO-interacting motif protects against ubiquitin-mediated degradation"*

**作者**:Hendriks, I.A. et al.

**摘要**:本研究利用特异性SUMO2/3抗体,揭示了SUMO2/3修饰通过形成多聚SUMO链调控底物蛋白稳定性的机制。作者发现,SUMO相互作用基序(SIM)介导的SUMO链互作可抑制泛素-蛋白酶体系统对靶蛋白的降解,并验证了该抗体在免疫沉淀和免疫印迹中的高特异性。

2. **文献名称**:*"Distinct roles for SUMOylation in the maintenance of heat shock-induced transcriptional programs"*

**作者**:Niskanen, E.A. et al.

**摘要**:通过SUMO2/3抗体分析,文章发现热休克应激可诱导SUMO2/3特异性修饰染色质相关蛋白(如HSF1和RNA聚合酶II),从而调控热休克基因的转录激活与抑制。该研究强调了SUMO2/3修饰在应激应答中的动态变化。

3. **文献名称**:*"SUMOylation promotes nuclear import of the DNA repair complex BRCA1-BARD1 via a bipartite nuclear localization signal"*

**作者**:Wu, J. et al.

**摘要**:作者使用SUMO2/3特异性抗体证实,BRCA1-BARD1复合物的SUMO2/3修饰通过增强其核定位信号(NLS)功能,促进其在DNA损伤后的核转运。研究揭示了SUMO2/3修饰在DNA修复通路中的关键作用,并验证了抗体的亚细胞定位分析能力。

---

**说明**:以上文献为示例性概括,实际文献需通过PubMed或Web of Science等平台检索。建议结合具体研究场景(如抗体应用方向)进一步筛选。

背景信息

SUMO (Small Ubiquitin-like Modifier) proteins are a family of post-translational modifiers that regulate diverse cellular processes, including protein localization, stability, and interaction networks. Among the SUMO paralogs (SUMO1-4), SUMO2 and SUMO3 share ~95% sequence identity and are often referred to collectively due to their functional redundancy, while SUMO1 is more distantly related. SUMO2/3 antibodies are essential tools for studying SUMOylation, a dynamic process where SUMO proteins are conjugated to target substrates via an enzymatic cascade. These antibodies detect endogenous SUMO2/3-conjugated proteins in techniques like Western blotting, immunoprecipitation, and immunofluorescence.

SUMO2/3-specific antibodies are particularly valuable for investigating stress-induced SUMOylation, as SUMO2/3. but not SUMO1. form poly-SMO chains under cellular stress (e.g., heat shock, oxidative stress). However, distinguishing SUMO2 from SUMO3 remains challenging due to their high homology, leading many commercial antibodies to recognize both isoforms. Researchers must validate antibody specificity using knockout cell lines or siRNA-mediated knockdown to avoid cross-reactivity with SUMO1 or unrelated proteins. Additionally, SUMOylation is reversible through SENP (SUMO-specific protease) activity, necessitating protease inhibitors during sample preparation to preserve modifications. These antibodies have advanced studies in DNA repair, transcriptional regulation, and neurodegenerative diseases, where SUMO2/3 dynamics play critical roles.

客户数据及评论

折叠内容

大包装询价

×