| 经过测试的应用 | |
| WB | WB-1/5000-1/50000 |
| IP | IP-0.5-4.0 ug for 1.0-3.0 mg of total protein lysate |
| IHC | IHC-1-200-1-800 |
| IF-FRO | IF-FRO-1/50-1/500 |
| 反应物种 | human, mouse, rat |
| 偶联类型 | Unconjugated |
| 抗体类型 | Polyclonal |
| 宿主 | Rabbit / IgG |
| 基因名 | GAD67 |
| 分子量 | 67kDa |
| 形式 | Liquid |
| 存储缓冲液 | Purified antibody in PBS with 0.05% sodium azide and 50% glycerol. |
| 储存 | Store at 4°C short term. Aliquot and store at -20°C long term. Avoid freeze/thaw cycles. |

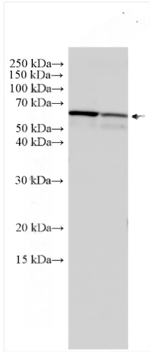
Various lysates were subjected to SDS PAGE followed by western blot with 10408-1-AP (GAD67 antibody) at dilution of 1:10000 incubated at room temperature for 1.5 hours.

IP result of anti-GAD67 (IP:10408-1-AP, 4ug; Detection:AP 1:500) with mouse brain tissue lysate 1920 ug.

Immunohistochemical analysis of paraffin-embedded mouse brain tissue slide using (GAD67 antibody) at dilution of 1:400 (under 10x lens). Heat mediated antigen retrieval with Tris-EDTA buffer (pH 9.0)

Immunohistochemical analysis of paraffin-embedded mouse brain tissue slide using (GAD67 antibody) at dilution of 1:400 (under 40x lens). Heat mediated antigen retrieval with Tris-EDTA buffer (pH 9.0)

Immunofluorescent analysis of (4% PFA) fixed frozen OCT-embedded mouse brain tissue using GAD67 antibody at dilution of 1:200 and CoraLite®488-Conjugated Goat Anti-Rabbit IgG(H+L)
×