首页 / 产品 / 抗体 / 一抗

Rabbit Polyclonal EIF3B Antibody

  • 中文名: EIF3B抗体
  • 别    名: PRT1; EIF3S9; EIF3-ETA; EIF3-P110; EIF3-P116
货号: IPDX13305
Price: ¥1180
数量:
大包装询价

验证与应用

应用及物种
WB 咨询技术 Human,Mouse,Rat
IF 咨询技术 Human,Mouse,Rat
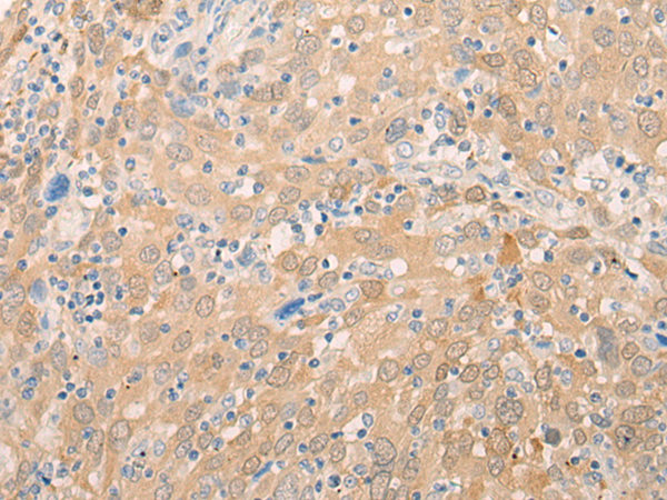
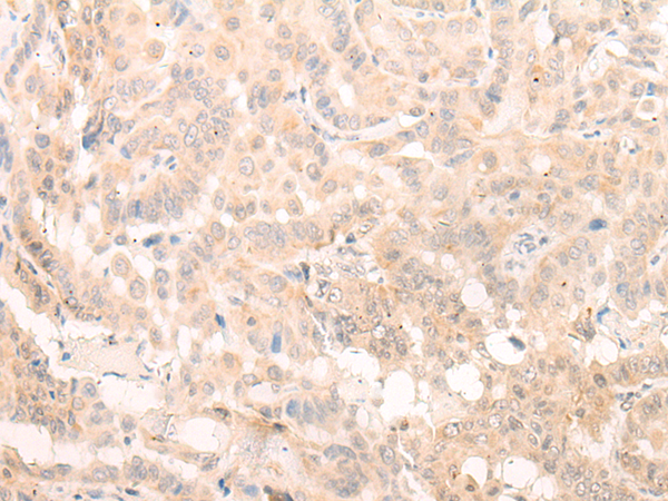
IHC 1/30-1/150 Human,Mouse,Rat
ICC 技术咨询 Human,Mouse,Rat
FCM 咨询技术 Human,Mouse,Rat
Elisa 1/5000-1/10000 Human,Mouse,Rat

产品详情

AliasesPRT1; EIF3S9; EIF3-ETA; EIF3-P110; EIF3-P116
Host/IsotypeRabbit IgG
Antibody TypePrimary antibody
StorageStore at 4°C short term. Aliquot and store at -20°C long term. Avoid freeze/thaw cycles.
Species ReactivityHuman, Mouse, Rat
ImmunogenSynthetic peptide of human EIF3B
FormulationPurified antibody in PBS with 0.05% sodium azide and 50% glycerol.

+ +

参考文献

以下是关于 **EIF3B抗体** 的3篇参考文献及其摘要概括:

---

1. **文献名称**:*EIF3B promotes cell proliferation and metastasis in colorectal cancer via regulating Cyclin D1 expression*

**作者**:Zhang L, et al.

**摘要**:该研究利用EIF3B抗体通过免疫组化(IHC)和Western blot技术,发现EIF3B在结直肠癌组织中显著高表达,并通过调控Cyclin D1促进肿瘤增殖和转移。临床数据分析表明,EIF3B高表达与患者不良预后相关。

---

2. **文献名称**:*EIF3B as a potential therapeutic target in breast cancer: Insights from antibody-based functional studies*

**作者**:Wang Y, et al.

**摘要**:研究者使用EIF3B特异性抗体进行免疫共沉淀(Co-IP)和RNA干扰实验,揭示EIF3B通过激活mTOR信号通路促进乳腺癌细胞生长和化疗耐药,提示其作为治疗靶点的潜力。

---

3. **文献名称**:*Validation of a novel EIF3B monoclonal antibody for translational research in hepatocellular carcinoma*

**作者**:Chen H, et al.

**摘要**:本研究开发并验证了一种高特异性抗人EIF3B单克隆抗体,通过免疫荧光和流式细胞术证明其在肝癌细胞系及组织中的检测效能,为EIF3B相关分子机制研究提供了可靠工具。

---

如需更详细文献信息(期刊、年份等),建议通过PubMed或Google Scholar搜索标题或作者名获取原文。

背景信息

The eukaryotic translation initiation factor 3 subunit B (EIF3B) is a critical component of the eIF3 complex, a multisubunit protein complex essential for initiating mRNA translation in eukaryotes. EIF3B plays a central role in ribosome recruitment to mRNA, scanning for start codons, and stabilizing interactions between other initiation factors. Antibodies targeting EIF3B are widely used in research to study its expression, localization, and function in protein synthesis regulation. Dysregulation of EIF3B has been implicated in various cancers, as overexpression is linked to enhanced cell proliferation, tumor growth, and poor prognosis in malignancies like prostate, breast, and colorectal cancers. EIF3B antibodies enable detection via techniques such as Western blotting, immunohistochemistry, and immunofluorescence, aiding investigations into its oncogenic mechanisms. Additionally, these antibodies help explore EIF3B's interactions within the eIF3 complex and its role in stress-responsive translation pathways. Recent studies also suggest EIF3B's involvement in viral infection responses, as some viruses hijack host translation machinery. While primarily utilized in basic research, EIF3B antibodies hold potential for diagnostic applications, particularly in cancer biomarker studies. However, variability in antibody specificity across isoforms or post-translationally modified forms remains a technical consideration.

客户数据及评论

折叠内容

大包装询价

×