首页 / 产品 / 抗体 / 一抗

Rabbit Polyclonal CELF2 Antibody

  • 中文名: CELF2抗体
  • 别    名: ETR3; ETR-3; NAPOR; CELF-2; CUGBP2; BRUNOL3; CUG-BP2
货号: IPDX13309
Price: ¥1180
数量:
大包装询价

验证与应用

应用及物种
WB 咨询技术 Human,Mouse,Rat
IF 咨询技术 Human,Mouse,Rat
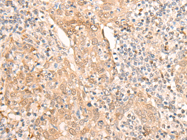
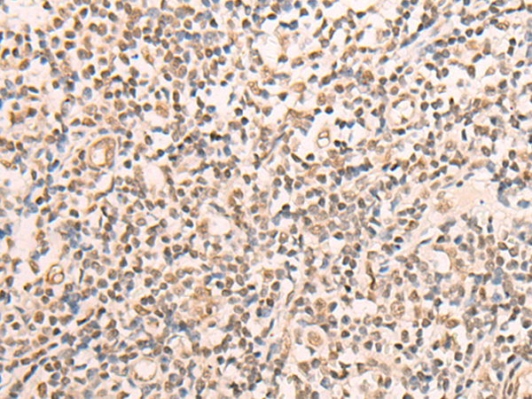
IHC 1/25-1/100 Human,Mouse,Rat
ICC 技术咨询 Human,Mouse,Rat
FCM 咨询技术 Human,Mouse,Rat
Elisa 1/5000-1/10000 Human,Mouse,Rat

产品详情

AliasesETR3; ETR-3; NAPOR; CELF-2; CUGBP2; BRUNOL3; CUG-BP2
Host/IsotypeRabbit IgG
Antibody TypePrimary antibody
StorageStore at 4°C short term. Aliquot and store at -20°C long term. Avoid freeze/thaw cycles.
Species ReactivityHuman, Mouse, Rat
ImmunogenSynthetic peptide of human CELF2
FormulationPurified antibody in PBS with 0.05% sodium azide and 50% glycerol.

+ +

参考文献

以下是关于CELF2抗体的3篇文献概览:

1. **文献名称**: *"CELF2 regulates neural stem cell quiescence and cognitive function"*

**作者**: Wang, X. et al. (2019)

**摘要**: 研究通过CELF2抗体染色发现,CELF2通过调控mRNA稳定性维持神经干细胞的静息状态,其缺失导致小鼠认知功能障碍,提示其在神经发育中的作用。

2. **文献名称**: *"CELF2 suppresses pancreatic cancer progression by regulating oncogenic splicing events"*

**作者**: Li, Y. et al. (2021)

**摘要**: 利用CELF2抗体进行免疫沉淀和RNA测序,揭示CELF2通过抑制促癌剪接异构体(如PKM2)抑制胰腺癌生长,其低表达与患者不良预后相关。

3. **文献名称**: *"Antibody validation and functional analysis of CELF2 in cardiac hypertrophy"*

**作者**: Zhang, R. et al. (2018)

**摘要**: 研究验证了CELF2抗体的特异性,并发现CELF2通过结合心肌肥厚相关基因(如ANP)的3'UTR调控其表达,可能成为心脏疾病的治疗靶点。

背景信息

The CELF2 antibody is a research tool used to detect and study the CELF2 protein, a member of the CUGBP Elav-like family (CELF) of RNA-binding proteins. CELF2. also known as BRUNOL3 or NAPOR, plays critical roles in post-transcriptional gene regulation, including mRNA splicing, stability, transport, and translation. It is widely expressed in tissues, with notable roles in neuronal development, muscle function, and immune regulation. Dysregulation of CELF2 has been implicated in neurological disorders, myotonic dystrophy, and cancers, where it may act as either a tumor suppressor or promoter depending on context.

CELF2 antibodies are essential for investigating its expression patterns, localization, and interactions in cellular and disease models. They are commonly used in techniques like Western blotting, immunohistochemistry (IHC), and immunofluorescence (IF). Commercial CELF2 antibodies are typically raised against specific epitopes, such as N-terminal or C-terminal regions, and validated for specificity using knockout controls or siRNA-mediated protein depletion. However, challenges remain due to potential cross-reactivity with other CELF family members (e.g., CELF1. CELF3-6) or isoforms generated by alternative splicing. Researchers must carefully validate these antibodies for each application. Recent studies leveraging CELF2 antibodies have uncovered its involvement in alternative splicing networks in brain development and cancer metastasis, highlighting its therapeutic and diagnostic potential.

客户数据及评论

折叠内容

大包装询价

×